Найдено 14 результатов

admin
30 окт 2015, 18:16
Форум: Абдоминальные исследования
Тема: УЗИ, камень в пузырном протоке
Ответы: 8
Просмотры: 3393

Re: Желчного пузыря УЗИ

KsV писал(а):Камень?
Камень в цистикусе.

Мириззи 1 - камень в пузыре/цистикусе + компрессия желчевыводящих протоков.
Мириззи 2 - пролежень и соустье между пузырем/цистикусом и общим желчным протоком.
admin
18 июн 2015, 15:29
Форум: Абдоминальные исследования
Тема: Газ в портальной системе?
Ответы: 17
Просмотры: 13551

Re: Газ в портальной системе?

Покопаюсь в литературе.
admin
17 июн 2015, 21:20
Форум: Абдоминальные исследования
Тема: Газ в портальной системе?
Ответы: 17
Просмотры: 13551

Re: Газ в портальной системе?

Мезентериальный тромбоз?
admin
22 май 2015, 19:26
Форум: Абдоминальные исследования
Тема: УЗИ, камень в пузырном протоке
Ответы: 8
Просмотры: 3393

Re: Желчного пузыря УЗИ

Брехт писал(а):Мирицци :?:
нет, смотрите в цистикус
admin
17 май 2015, 14:03
Форум: Абдоминальные исследования
Тема: УЗИ, камень в пузырном протоке
Ответы: 8
Просмотры: 3393

Re: Желчного пузыря УЗИ

Serg писал(а):вроде у дна ж.п. анэхогенное просранство? :?:
Жидкости там нет. Ищите.
admin
29 окт 2014, 14:53
Форум: Уронефрологические исследования
Тема: Камень почки и твинклинг-артефакт УЗИ
Ответы: 0
Просмотры: 1001

Камень почки и твинклинг-артефакт УЗИ

oct202014090925_0.jpg
phpBB [video]
admin
29 окт 2014, 14:49
Форум: Абдоминальные исследования
Тема: Пупочной грыжи УЗИ
Ответы: 2
Просмотры: 1215

Пупочной грыжи УЗИ

Пожилая женщина с болями в животе и расширением петель тонкой кишки.

Пупочна грыжа, содержимое на УЗИ
phpBB [video]
admin
29 окт 2014, 14:44
Форум: Абдоминальные исследования
Тема: УЗИ, камень в пузырном протоке
Ответы: 8
Просмотры: 3393

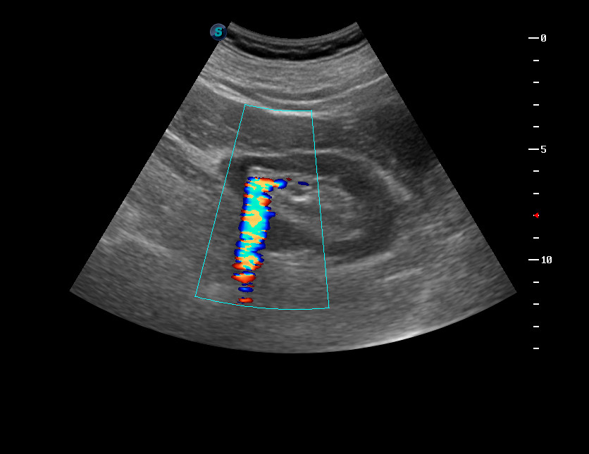
УЗИ, камень в пузырном протоке

Женщина средних лет с жалобами на боли в эпигастральной области. От болей не спала всю ночь.

phpBB [video]


Что такое может б\ыть?
admin
29 окт 2014, 14:39
Форум: Cосуды
Тема: Стеноз tr caliacus: доплер
Ответы: 4
Просмотры: 4524

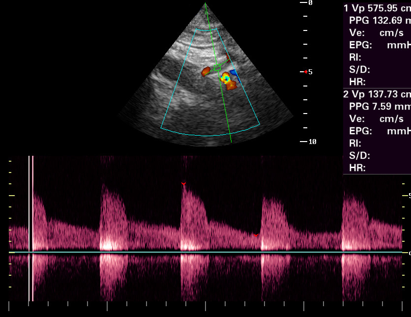
Стеноз tr caliacus: доплер

Женщина 66 лет.
Жалобы на постоянные боли в эпигастральной области.
УЗИ ОБП - атеросклеротические изменения аорты.
Заказ хирурга - исключить стеноз tr caliacus.

Доплерограмма - ниже
oct292014105125_8.jpg
Есть или нет?
admin
29 окт 2014, 14:17
Форум: Абдоминальные исследования
Тема: Хронический калькулезный панкреатит
Ответы: 0
Просмотры: 829

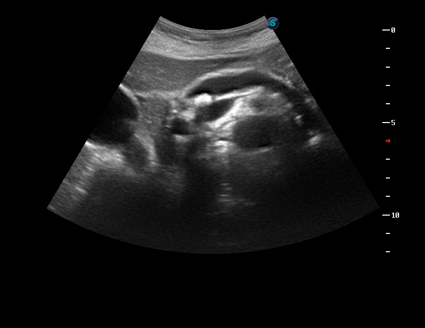
Хронический калькулезный панкреатит

Женщина, 63 года, давно страдает ХП.
oct282014104836_0.jpg
phpBB [video]

phpBB [video]

Перейти к расширенному поиску