КТ брюшной и тазовых полостей
КТ брюшной и тазовых полостей
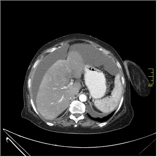
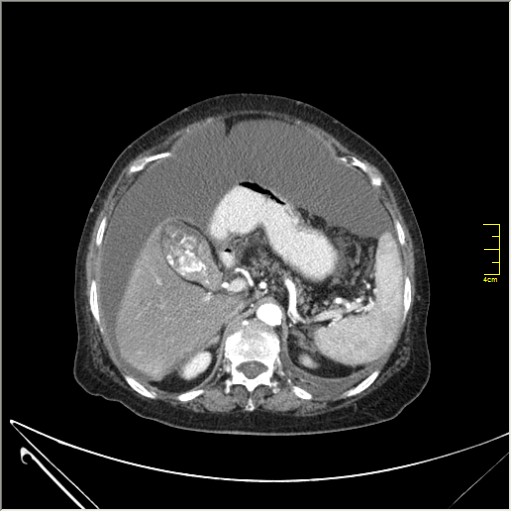
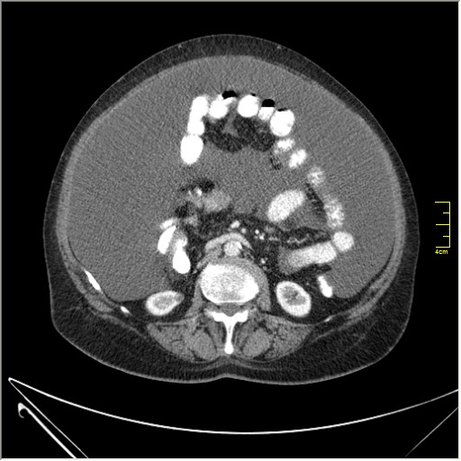
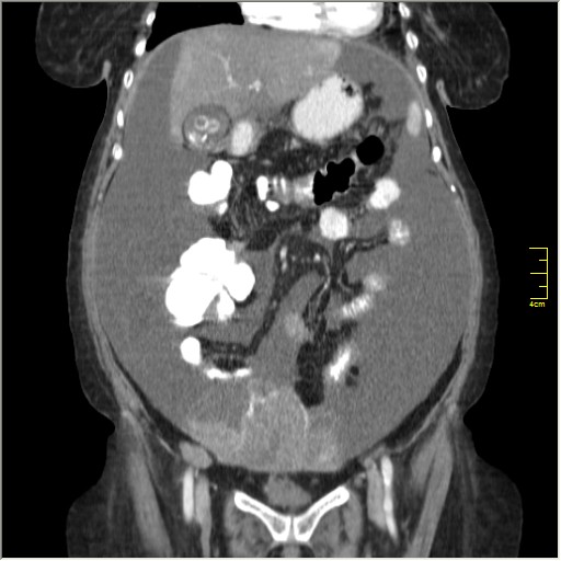
Женщина 72 года. Поступила с жалобами на вздутие живота. После осмотра хирургом, была сразу направлена на КТ брюшной полости.
-
doctor PopovVV
- Сообщения: 13
- Зарегистрирован: 11 мар 2009, 01:24
- Контактная информация:
Re: КТ брюшной и тазовых полостей
Я так понимаю хирурги с помощью КТ хотят выяснить причину асцита. Почему бы не начать с УЗИ (брюшной полости, малого таза)?
Re: КТ брюшной и тазовых полостей
Давайте так; учитывая пол и возраст пациентки, какой диагноз наиболее вероятен? Допустим мы сначала выполнили УЗИ в данном конкретном случае, что мы будем рекоммендовать далее?
-
doctor PopovVV
- Сообщения: 13
- Зарегистрирован: 11 мар 2009, 01:24
- Контактная информация:
Re: КТ брюшной и тазовых полостей
Re: КТ брюшной и тазовых полостей
Допустим, в жидкости нашли эритроциты. Далее? 
-
doctor PopovVV
- Сообщения: 13
- Зарегистрирован: 11 мар 2009, 01:24
- Контактная информация:
Re: КТ брюшной и тазовых полостей
Как мнение начинающего в КТ: на мой взгляд на серии томограмм определяется обьёмное образование органов малого таза, если так то - лапароскопия.
Re: КТ брюшной и тазовых полостей
Итак, асцит с объёмным образованием таза. В данном случае можно быть более конкретным, у пациентки неоплазия правого яичника с региональной лимфаденопатией (увидели?) и выраженным асцитом, характерным именно для злокачественных опухолей яичников. Пациентка оперирована ( операция Вертгейма); диагноз верифицирован: аденокарцинома правого яичника (серозная). Направлена к онкологу для дальнейшего лечения.
Кто сейчас на конференции
Сейчас этот форум просматривают: нет зарегистрированных пользователей и 0 гостей