Прошу помочь правильно интерпретировать представленные изображения трех случаев с примерно одинаковой картиной.
Нами они расценены как фиброзирующий альвеолит.
Клиника во всех случаях скудная, незначительная дыхательная недостаточность, субфибрильная температура.
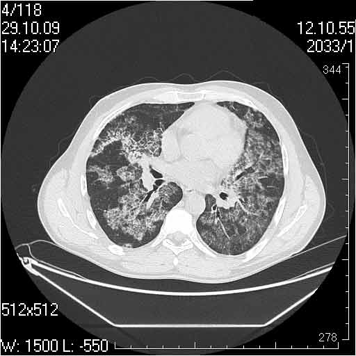
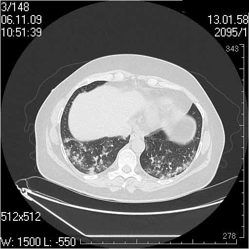
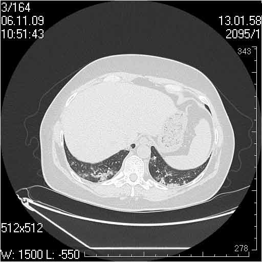
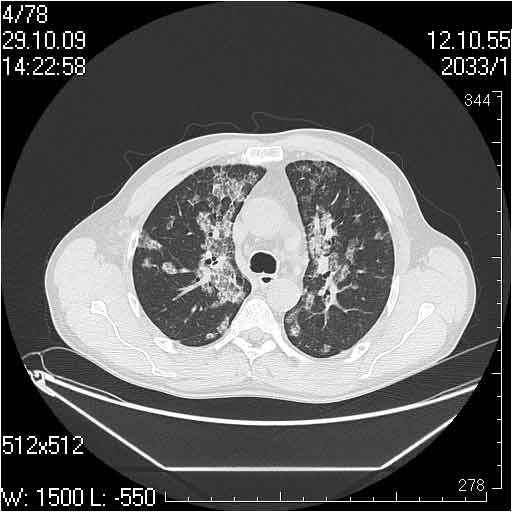
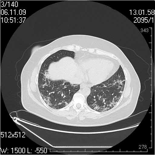
Случай №1
Женщина 50 лет.
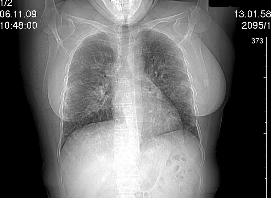
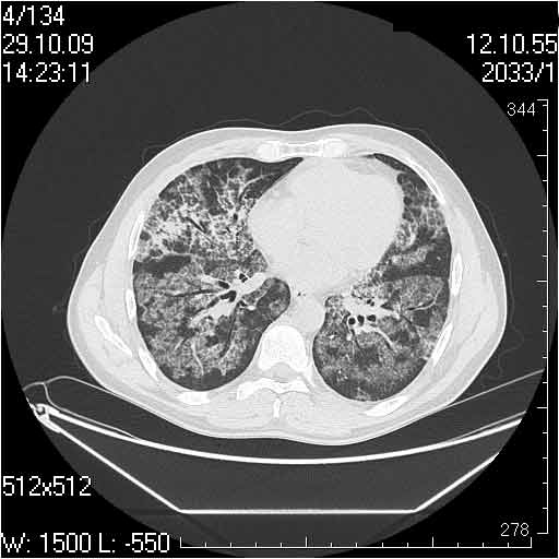
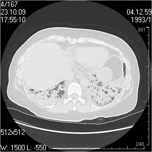
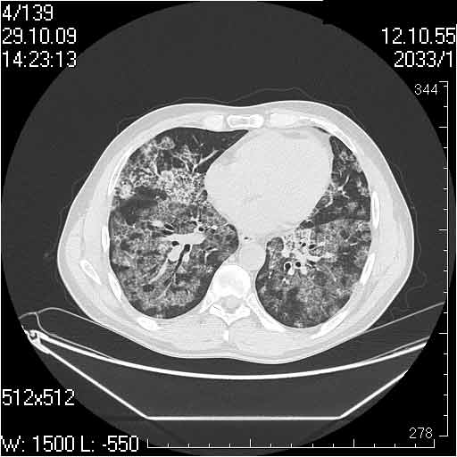
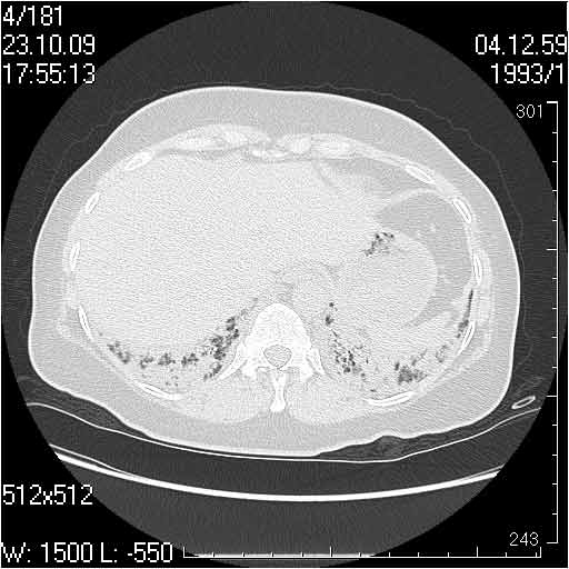
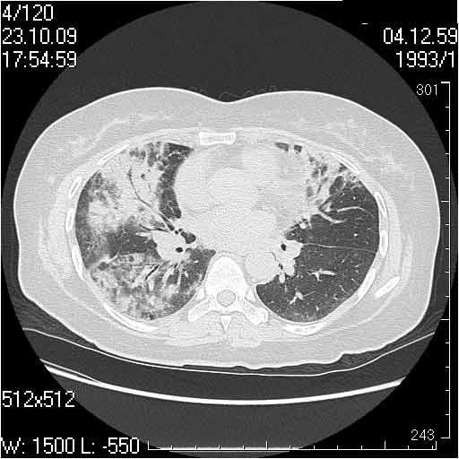
Случай №2
Мужчина 54 лет
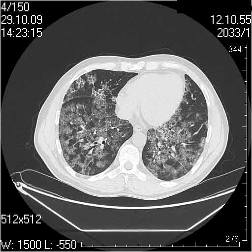
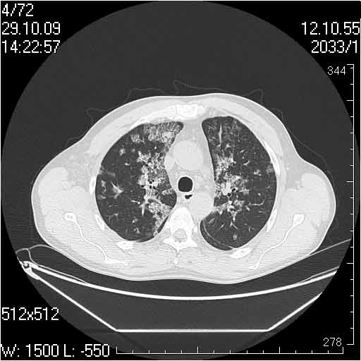
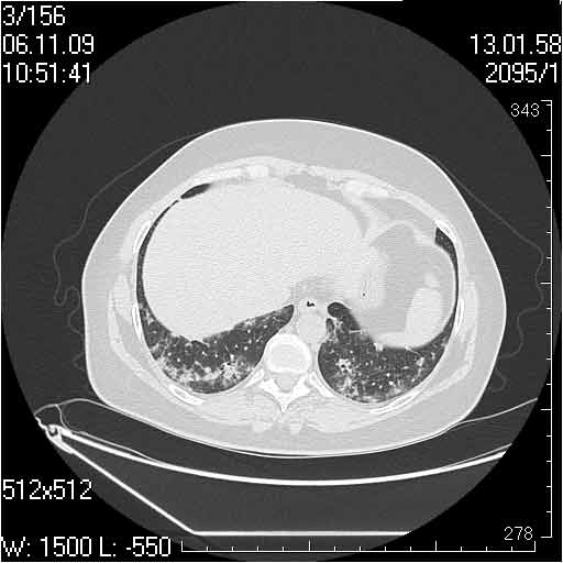
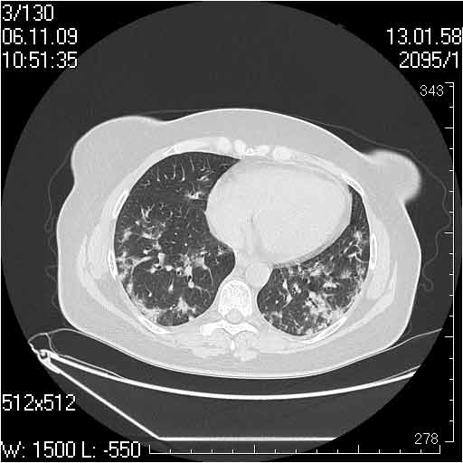
Случай №3
Женщина 51 год
Изменения легких - альвеолит?
-
Рентгенолог
- Сообщения: 4
- Зарегистрирован: 19 мар 2009, 12:39
- Контактная информация:
Re: Изменения легких - альвеолит?
Случай 1: изменения характерны для интерстициальной пневмонии (IIP/UIP idiopathic interstitial pneumonia/usual interstitial pneumonia); говорить о конкретной форме без открытой биопсии затруднительно.
Случай 2: картина патологических изменения довольно типична: GGOs & thickened interlobular septas = "crazy paving" sign. Наличие плотностей по типу матового стекла в сочетании с утолщением междолевых перегородок, даёт признак булыжной мостовой; на первом месте будет стоят диагноз альвеолярных протеиноз.
Случай 3:смешанные изменения; подходят для интерстициальной пневмонии, тактика аналогична случаю 1.
Случай 2: картина патологических изменения довольно типична: GGOs & thickened interlobular septas = "crazy paving" sign. Наличие плотностей по типу матового стекла в сочетании с утолщением междолевых перегородок, даёт признак булыжной мостовой; на первом месте будет стоят диагноз альвеолярных протеиноз.
Случай 3:смешанные изменения; подходят для интерстициальной пневмонии, тактика аналогична случаю 1.
- KsV
- Администратор
- Сообщения: 2189
- Зарегистрирован: 22 фев 2009, 13:38
- Откуда: Беларусь-Lietuva
- Контактная информация:
Re: Изменения легких - альвеолит?
Др Марио, будте так добры немного по-подробнее для начинающих, почему и на основании чего сделаны такие выводы, ведь внешне картинки примерно одинаковы во всех случаях.
Re: Изменения легких - альвеолит?
КТ- и рентгенологическая картина диффузного интерстициального поражения легких может сформироваться не только при идиопатическом фиброзирующем альвеолите, но и при самых различных патологических процессах в легких с такими морфологическими субстратами, как альвеолит, интерстициальное воспаление и фиброз, включая: отстаточные явления РДСВ при гриппозной (H1N1) вирусно-бактериальной пневмонии, возможны при других вирусных и бактериальных инфекциях легких, ятрогенного происхождения (реакция на антибиотики, нитрофураны, химио- и лучевую терапию, после длительной килородной терапии, некоторые сердечно-сосудистые средства - амиодарон, апрессин, анаприлин и некоторые другие бета-блокаторы), вследствие токсического действия некоторых газов и паров, аллергии на ингаляционные аллергены при их длительном воздействии, системных заболеваниях соединительной ткани и т.д.
При прекращении воздействия острого патогена у лиц молодого возраста наблюдается нередко тенденция к обратному развитию интерстициальных изменений в легких в течение недель или нескольких месяцев. В этих случаях для предотвращения развития фиброза легких целесообразно решить вопрос о терапии системными кортикостероидами (необходимо тщательно оценить наличие противопоказаний у пациента) - дозы 0,5 мг/кг преднизолона в сут. 2-4 недели, с последующим постепенным снижением дозы до поддерживающей 5-10 мг/сут. на 1-2 месяца. Прогноз при своевременной диагностике хороший.
При прекращении воздействия острого патогена у лиц молодого возраста наблюдается нередко тенденция к обратному развитию интерстициальных изменений в легких в течение недель или нескольких месяцев. В этих случаях для предотвращения развития фиброза легких целесообразно решить вопрос о терапии системными кортикостероидами (необходимо тщательно оценить наличие противопоказаний у пациента) - дозы 0,5 мг/кг преднизолона в сут. 2-4 недели, с последующим постепенным снижением дозы до поддерживающей 5-10 мг/сут. на 1-2 месяца. Прогноз при своевременной диагностике хороший.
Кто сейчас на конференции
Сейчас этот форум просматривают: нет зарегистрированных пользователей и 0 гостей