Изменения легких - альвеолит?

Изображения для консультации
Ответить
Рентгенолог
Сообщения: 4
Зарегистрирован: 19 мар 2009, 12:39
Контактная информация:

Изменения легких - альвеолит?

Сообщение Рентгенолог »

Прошу помочь правильно интерпретировать представленные изображения трех случаев с примерно одинаковой картиной.
Нами они расценены как фиброзирующий альвеолит.
Клиника во всех случаях скудная, незначительная дыхательная недостаточность, субфибрильная температура.

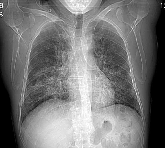
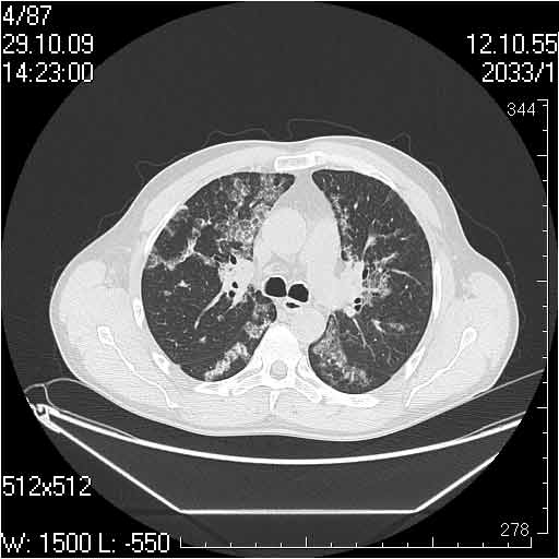
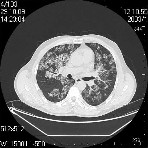
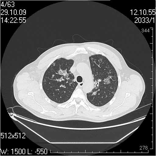
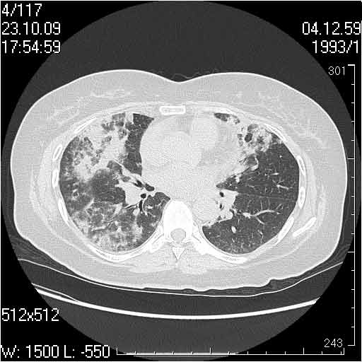
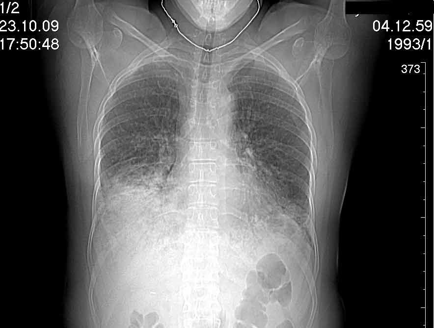
Случай №1
Женщина 50 лет.
01.jpg
02.jpg
03.jpg
04.jpg
05.jpg
06.jpg
07.jpg
08.jpg
09.jpg
10.jpg
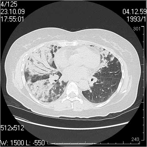
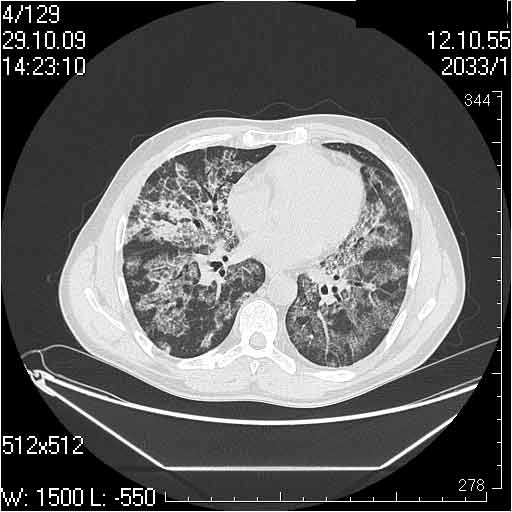
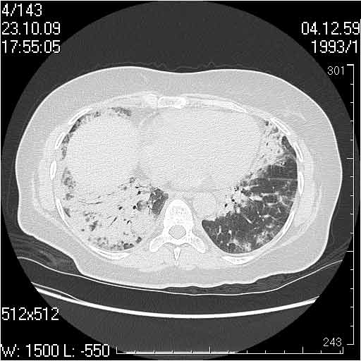
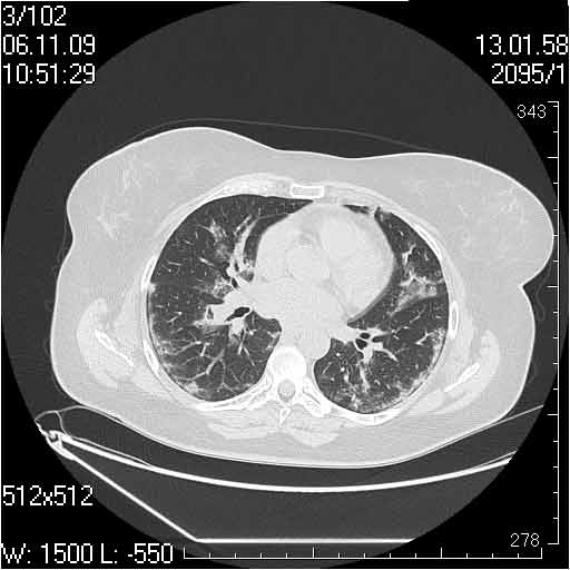
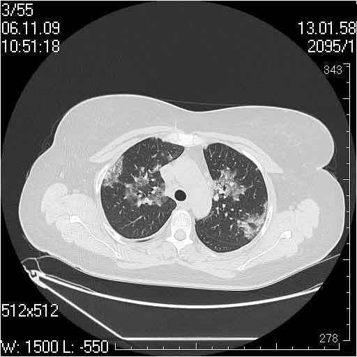
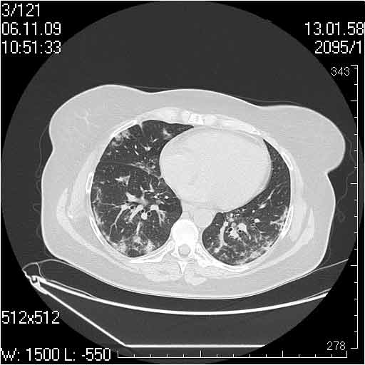
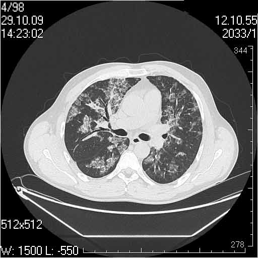
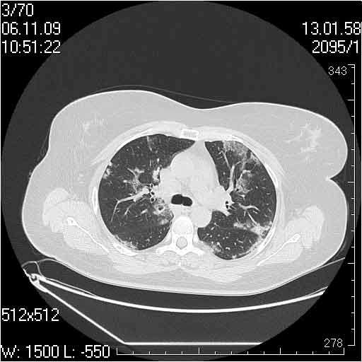
Случай №2
Мужчина 54 лет
ct00.jpg
ct01.jpg
ct02.jpg
ct03.jpg
ct04.jpg
ct05.jpg
ct06.jpg
ct07.jpg
ct08.jpg
ct09.jpg
ct10.jpg
ct11.jpg
ct12.jpg
ct13.jpg
ct14.jpg
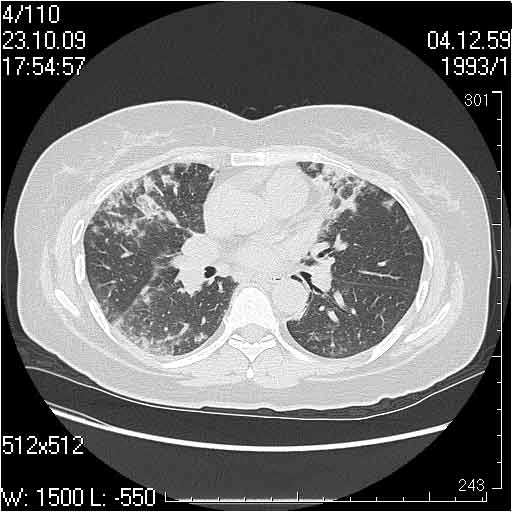
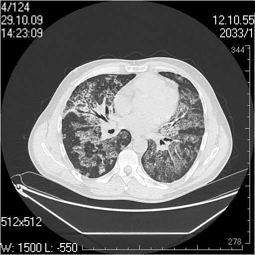
Случай №3
Женщина 51 год
v01.jpg
v02.jpg
v03.jpg
v04.jpg
v05.jpg
v06.jpg
v07.jpg
v08.jpg
v09.jpg
v10.jpg
v11.jpg
v12.jpg
v13.jpg
Аватара пользователя
Dr.Mario
Эксперт
Сообщения: 160
Зарегистрирован: 17 мар 2009, 07:36
Контактная информация:

Re: Изменения легких - альвеолит?

Сообщение Dr.Mario »

Случай 1: изменения характерны для интерстициальной пневмонии (IIP/UIP idiopathic interstitial pneumonia/usual interstitial pneumonia); говорить о конкретной форме без открытой биопсии затруднительно.
Случай 2: картина патологических изменения довольно типична: GGOs & thickened interlobular septas = "crazy paving" sign. Наличие плотностей по типу матового стекла в сочетании с утолщением междолевых перегородок, даёт признак булыжной мостовой; на первом месте будет стоят диагноз альвеолярных протеиноз.
Случай 3:смешанные изменения; подходят для интерстициальной пневмонии, тактика аналогична случаю 1.
Let me see...
www.radiographia.ru
Аватара пользователя
KsV
Администратор
Сообщения: 2189
Зарегистрирован: 22 фев 2009, 13:38
Откуда: Беларусь-Lietuva
Контактная информация:

Re: Изменения легких - альвеолит?

Сообщение KsV »

Др Марио, будте так добры немного по-подробнее для начинающих, почему и на основании чего сделаны такие выводы, ведь внешне картинки примерно одинаковы во всех случаях.
Nemtsov L
Сообщения: 3
Зарегистрирован: 07 ноя 2009, 07:23
Контактная информация:

Re: Изменения легких - альвеолит?

Сообщение Nemtsov L »

КТ- и рентгенологическая картина диффузного интерстициального поражения легких может сформироваться не только при идиопатическом фиброзирующем альвеолите, но и при самых различных патологических процессах в легких с такими морфологическими субстратами, как альвеолит, интерстициальное воспаление и фиброз, включая: отстаточные явления РДСВ при гриппозной (H1N1) вирусно-бактериальной пневмонии, возможны при других вирусных и бактериальных инфекциях легких, ятрогенного происхождения (реакция на антибиотики, нитрофураны, химио- и лучевую терапию, после длительной килородной терапии, некоторые сердечно-сосудистые средства - амиодарон, апрессин, анаприлин и некоторые другие бета-блокаторы), вследствие токсического действия некоторых газов и паров, аллергии на ингаляционные аллергены при их длительном воздействии, системных заболеваниях соединительной ткани и т.д.
При прекращении воздействия острого патогена у лиц молодого возраста наблюдается нередко тенденция к обратному развитию интерстициальных изменений в легких в течение недель или нескольких месяцев. В этих случаях для предотвращения развития фиброза легких целесообразно решить вопрос о терапии системными кортикостероидами (необходимо тщательно оценить наличие противопоказаний у пациента) - дозы 0,5 мг/кг преднизолона в сут. 2-4 недели, с последующим постепенным снижением дозы до поддерживающей 5-10 мг/сут. на 1-2 месяца. Прогноз при своевременной диагностике хороший.
Ответить

Вернуться в «Легкие, грудная клетка»

Кто сейчас на конференции

Сейчас этот форум просматривают: нет зарегистрированных пользователей и 1 гость