УЗИ - абсцесс (карбункул) почки

Почки, мочеточники, мочевой пузырь, уретра. Простата и яички.

Модератор: KsV

Ответить
Аватара пользователя
KsV
Администратор
Сообщения: 2189
Зарегистрирован: 22 фев 2009, 13:38
Откуда: Беларусь-Lietuva
Контактная информация:

УЗИ - абсцесс (карбункул) почки

Сообщение KsV »

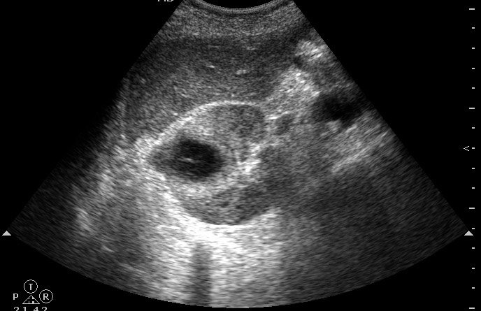
Мужчина средних лет, из терапевтического отделения, где лечится по поводу острой пневмонии. В анализах мочи небольшая протенурия, лейкоцитурия.
Продольное сканирование  правой почки. Почка 140х65х65 мм.
Продольное сканирование правой почки. Почка 140х65х65 мм.
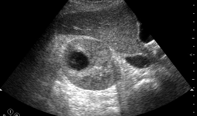
Поперечное сканирование правой почки на уровне верхней трети.
Поперечное сканирование правой почки на уровне верхней трети.
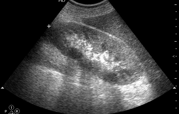
3.jpg
Брехт
Сообщения: 99
Зарегистрирован: 16 июн 2009, 08:13
Контактная информация:

Re: УЗИ почек

Сообщение Брехт »

Абсцесс с паранефритом
zubr
Сообщения: 15
Зарегистрирован: 17 ноя 2009, 17:45
Контактная информация:

Re: УЗИ почек

Сообщение zubr »

очень похоже на абсцесс в в/3 правой почки,по поводу паранефрита сомнительно,хотя и намечается перипроцесс на третьем скане.
Последний раз редактировалось zubr 17 янв 2010, 23:16, всего редактировалось 1 раз.
besliu
Сообщения: 142
Зарегистрирован: 11 окт 2009, 08:31
Контактная информация:

Re: УЗИ почек

Сообщение besliu »

Похоже на абсцесс "прорывающийся" субкапсулярно:отграниченый с толстыми неровными стенками и гипоэхогенной зоной в центре-"расплавление"ткани?(inflamatory рseudotumor) или же renal cell carcinoma с диструкцией в центре(но...скудновата клиника для обоих случаев,ведь нету фона,как сахарный диабет,глубокая старость...),если субфебрилитет,то может быть формирующаяся каверна? Все нуждается в дообследовании-КТ
Аватара пользователя
KsV
Администратор
Сообщения: 2189
Зарегистрирован: 22 фев 2009, 13:38
Откуда: Беларусь-Lietuva
Контактная информация:

Re: УЗИ почек

Сообщение KsV »

besliu писал(а)::? TAC cito je eto?
Острый правосторонний пиелонефрит, абсцесс (карбункул) почки.
Ответить

Вернуться в «Уронефрологические исследования»

Кто сейчас на конференции

Сейчас этот форум просматривают: нет зарегистрированных пользователей и 0 гостей