Грудной отдел аорты

Аорта и НПВ. Периферические артерии и вены.
Изображения для консультации
Ответить
Аватара пользователя
KsV
Администратор
Сообщения: 2191
Зарегистрирован: 22 фев 2009, 13:38
Откуда: Беларусь-Lietuva
Контактная информация:

Грудной отдел аорты

Сообщение KsV »

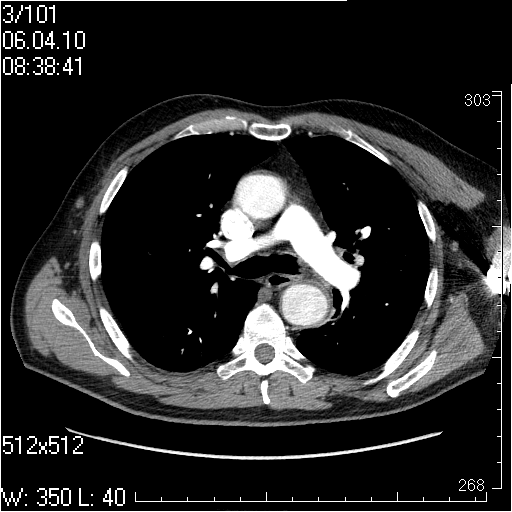
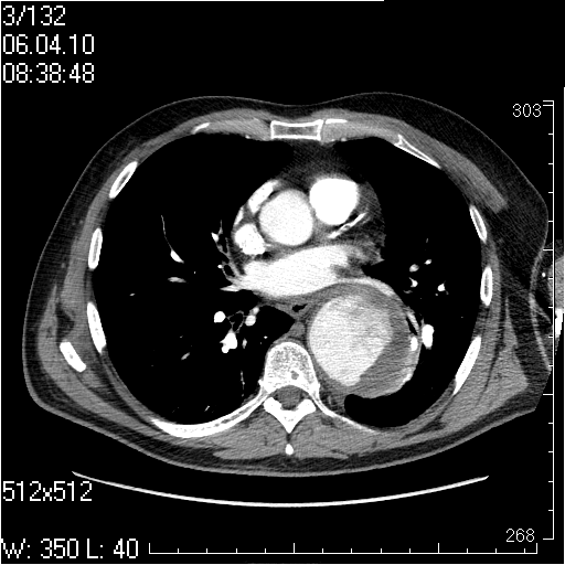
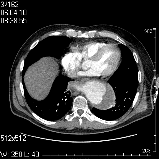
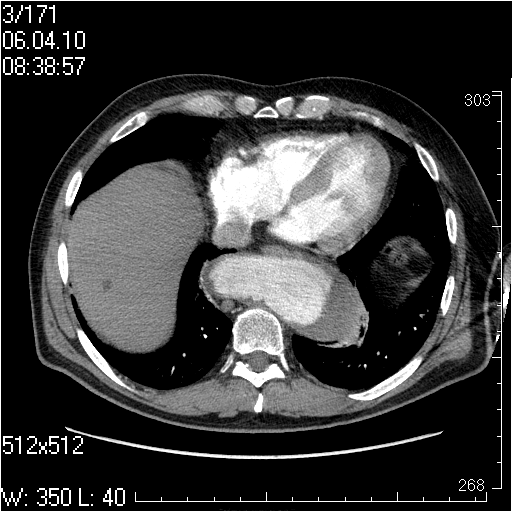
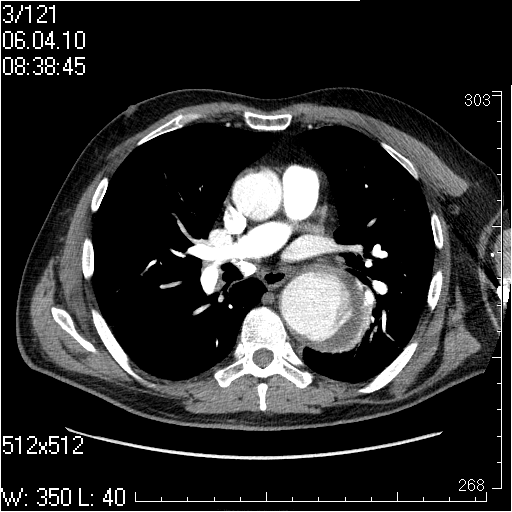
Пожилой мужчина, жалоб в настоящее время не предъявляет.
062.bmp
072.bmp
082.bmp
093.bmp
113.bmp
123.bmp
132.bmp
Ответить

Вернуться в «Cосуды»

Кто сейчас на конференции

Сейчас этот форум просматривают: нет зарегистрированных пользователей и 1 гость