Общая сонная артерия

Аорта и НПВ. Периферические артерии и вены.
Изображения для консультации
Ответить
OLGA
Сообщения: 13
Зарегистрирован: 27 май 2009, 21:35
Контактная информация:

Общая сонная артерия

Сообщение OLGA »

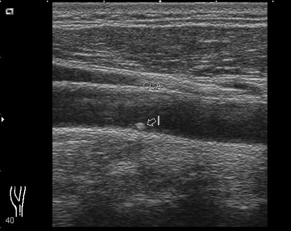
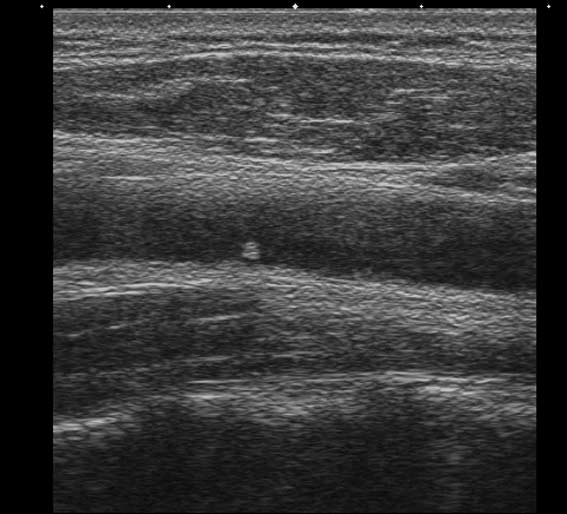
мужчина, 49 лет, при обследовании БЦА в общей сонной артерии визуализируется округлое образование 1.7х2.0 мм
ваше мнение?
Вложения
20_08_2009_09_49_03_8.20.20.jpg
2.jpg
Брехт
Сообщения: 99
Зарегистрирован: 16 июн 2009, 08:13
Контактная информация:

Re: Общая сонная артерия

Сообщение Брехт »

Ой, кто здесь?. Я думал нет никого. А похоже-не похоже...- всё равно других версий нет.
Аватара пользователя
KsV
Администратор
Сообщения: 2191
Зарегистрирован: 22 фев 2009, 13:38
Откуда: Беларусь-Lietuva
Контактная информация:

Re: Общая сонная артерия

Сообщение KsV »

Кальцинированная атеросклеротическая бляшка. Для уточнения ее истинного размера примените энергетический доплер.
людмила
Сообщения: 9
Зарегистрирован: 04 май 2009, 13:56
Контактная информация:

Re: Общая сонная артерия

Сообщение людмила »

локальная атеросклеротическая бяшка, которая не вызовет гемодинамически значимых изменений(если оценивать бляшку только в продольном сечении)
Ответить

Вернуться в «Cосуды»

Кто сейчас на конференции

Сейчас этот форум просматривают: нет зарегистрированных пользователей и 0 гостей