УЗИ, дивертикул холедоха

Печень, желчный пузырь, поджелудочная железа, селезенка. Кишечник.
Только верифицированые изображения
Ответить
Аватара пользователя
KsV
Администратор
Сообщения: 2191
Зарегистрирован: 22 фев 2009, 13:38
Откуда: Беларусь-Lietuva
Контактная информация:

УЗИ, дивертикул холедоха

Сообщение KsV »

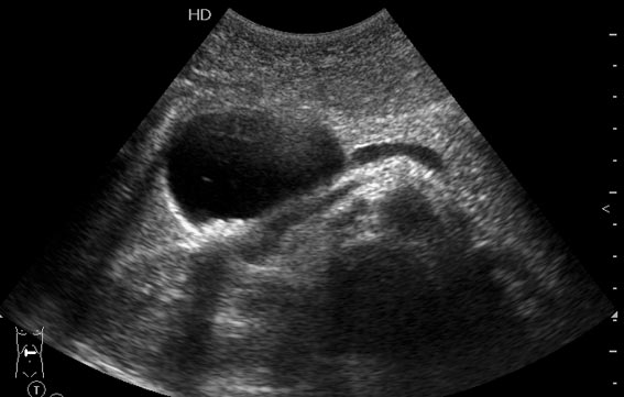
Молодая девушка, периодически бывают приступообразные боли в животе, преходящая желтуха.
1.jpg
besliu
Сообщения: 142
Зарегистрирован: 11 окт 2009, 08:31
Контактная информация:

Re: УЗИ панкреас

Сообщение besliu »

По локализации-киста головки панкреас.Несколько расширен Вирсунг проток(частичный блок).Наличие камней в кисте сначало склоняло к ж.пузырю,но нет ни цистикус,ни Порт.вена,зато как-то "срезана" гловка панкреас этой кистой. Могут быть камни и в старой кисте панкреас.Периодическая желтушность заставляет посмотреть дуоденоскопически что делаеться со сф.Одди и папила Фаттер
besliu
Сообщения: 142
Зарегистрирован: 11 окт 2009, 08:31
Контактная информация:

Re: УЗИ панкреас

Сообщение besliu »

Неужели нет других мнений?Тогда чем же это закончилось при лапороскопии?
Аватара пользователя
KsV
Администратор
Сообщения: 2191
Зарегистрирован: 22 фев 2009, 13:38
Откуда: Беларусь-Lietuva
Контактная информация:

Re: УЗИ панкреас

Сообщение KsV »

besliu, другие мнения есть, но никто не торопится их высказывать. Праздники, наверное :D
Ждемс.
niki
Сообщения: 16
Зарегистрирован: 08 ноя 2009, 00:09
Контактная информация:

Re: УЗИ панкреас

Сообщение niki »

Мне кажется, что это все-таки желчный пузырь, а не киста, хотя по одному снимку трудно определить. Вирсунгов проток я не вижу (подозреваю, что то, что besliu приняла за проток - воротная вена). Камеи в пузыре небольшие, поэтому они могут попадать в холедох и вызывать желтуху и приступы боли.
Аватара пользователя
KsV
Администратор
Сообщения: 2191
Зарегистрирован: 22 фев 2009, 13:38
Откуда: Беларусь-Lietuva
Контактная информация:

Re: УЗИ панкреас

Сообщение KsV »

niki писал(а):Вирсунгов проток я не вижу (подозреваю, что то, что besliu приняла за проток - воротная вена)
... селезеночная...
niki
Сообщения: 16
Зарегистрирован: 08 ноя 2009, 00:09
Контактная информация:

Re: УЗИ панкреас

Сообщение niki »

KapustinSV писал(а):
niki писал(а):Вирсунгов проток я не вижу (подозреваю, что то, что besliu приняла за проток - воротная вена)
... селезеночная...

Ой, вот что значит невнимательность... :oops: Конечно, селезеночная, до области головки поджелудочной железы, где она соединяется с брыжеечной и образуется воротная.
Брехт
Сообщения: 99
Зарегистрирован: 16 июн 2009, 08:13
Контактная информация:

Re: УЗИ панкреас

Сообщение Брехт »

Дивертикул холедоха-ха-ха-ха.
Аватара пользователя
KsV
Администратор
Сообщения: 2191
Зарегистрирован: 22 фев 2009, 13:38
Откуда: Беларусь-Lietuva
Контактная информация:

Re: УЗИ панкреас

Сообщение KsV »

Действительно, дивертикул холедоха, холедохолитиаз.
besliu
Сообщения: 142
Зарегистрирован: 11 окт 2009, 08:31
Контактная информация:

Re: УЗИ панкреас

Сообщение besliu »

:D Вот Вам и ХА-ХА-ХА!А попали в точку!
Ответить

Вернуться в «Абдоминальные исследования»

Кто сейчас на конференции

Сейчас этот форум просматривают: нет зарегистрированных пользователей и 1 гость