УЗИ печени: гепатит

Печень, желчный пузырь, поджелудочная железа, селезенка. Кишечник.
Только верифицированые изображения
Ответить
Аватара пользователя
Dr.Mario
Эксперт
Сообщения: 160
Зарегистрирован: 17 мар 2009, 07:36
Контактная информация:

УЗИ печени: гепатит

Сообщение Dr.Mario »

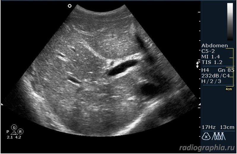
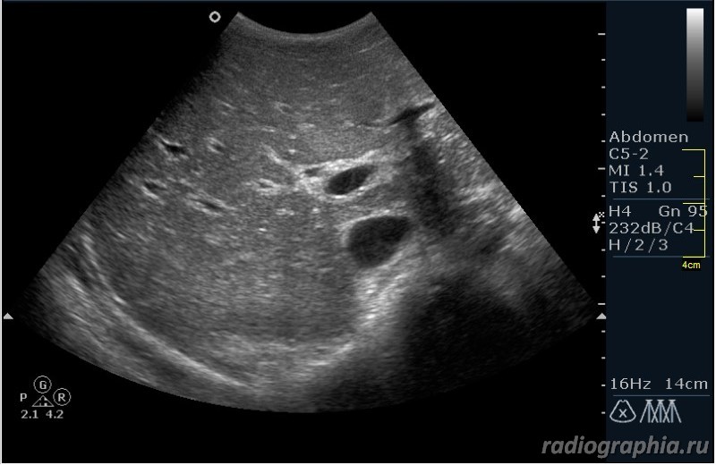
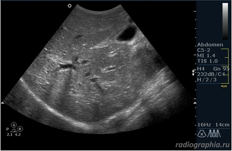
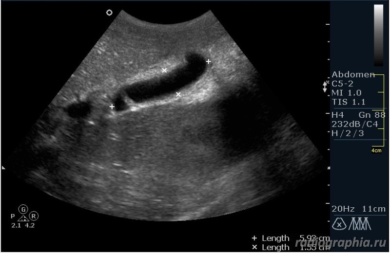
Как вы думаете, при какой патологии можно наблюдать такую сонографическую картину?
Вложения
liver1.jpg
liver2.jpg
liver3.jpg
liver4.jpg
liver5.jpg
liver6.jpg
liver7.jpg
Let me see...
www.radiographia.ru
besliu
Сообщения: 142
Зарегистрирован: 11 окт 2009, 08:31
Контактная информация:

Re: 30.05.2009 УЗИ печени.

Сообщение besliu »

Похоже на расширенные внутрипеченочные протоки ,отек стенок ж.пузыря--может быть при остром гепатите
w.Thyme
Сообщения: 143
Зарегистрирован: 24 апр 2010, 17:46

Re: 30.05.2009 УЗИ печени.

Сообщение w.Thyme »

Гепатит А безжелтушный период ?
Dusty007
Сообщения: 1
Зарегистрирован: 30 окт 2013, 06:49
Контактная информация:

Re: 30.05.2009 УЗИ печени.

Сообщение Dusty007 »

Видео там посмотреть нельзя, там можно посмотреть рентген запястья :)А "кое-что сделали" - в смысле какую-то инвазивную процедуру?
leather jackets bomber jacket
leather jackets leather jackets for women
1z0-052 practice test 1z0-052 practice test
gre practice test gre practice test
collibria
Сообщения: 1
Зарегистрирован: 19 июл 2009, 23:58
Контактная информация:

Re: 30.05.2009 УЗИ печени.

Сообщение collibria »

склерозирующий холангит? Насколько я помню, протоки при СХ выглядят как "четки"
Аватара пользователя
KsV
Администратор
Сообщения: 2189
Зарегистрирован: 22 фев 2009, 13:38
Откуда: Беларусь-Lietuva
Контактная информация:

Re: 30.05.2009 УЗИ печени.

Сообщение KsV »

collibria писал(а):склерозирующий холангит? Насколько я помню, протоки при СХ выглядят как "четки"
Гепатиты - такой ответ автор считает верным.
Ответить

Вернуться в «Абдоминальные исследования»

Кто сейчас на конференции

Сейчас этот форум просматривают: нет зарегистрированных пользователей и 0 гостей