Образование в мышце височной области
- KsV
- Администратор
- Сообщения: 2189
- Зарегистрирован: 22 фев 2009, 13:38
- Откуда: Беларусь-Lietuva
- Контактная информация:
Образование в мышце височной области
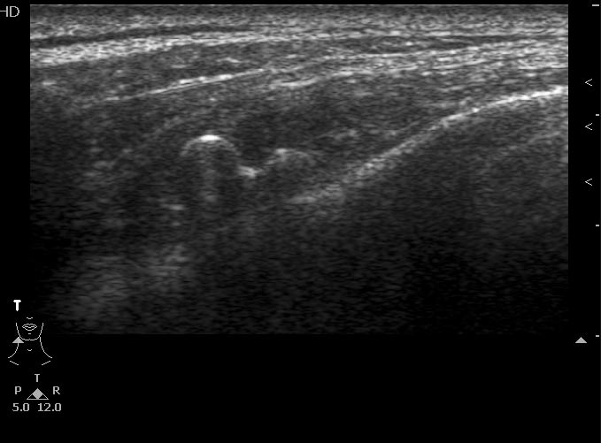
Мужчина 46 лет, жалуется на постоянные боли в правой височной области. В мягких тканях правой височной области пальпируется маленькое болезненное образование.
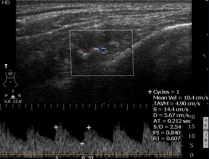
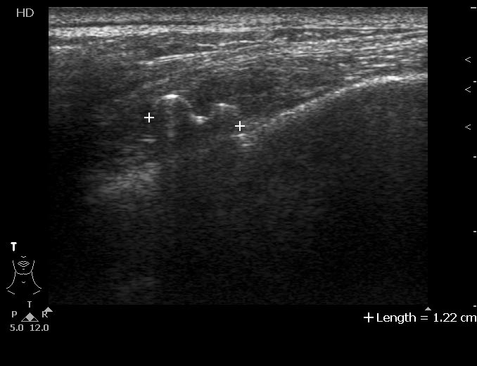
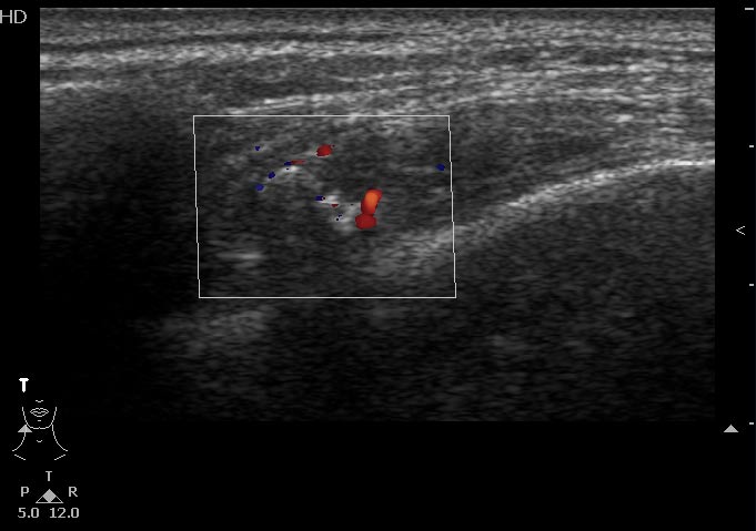
Сонограммы
Впервые встречаю подобное. Ваше мнение?
Сонограммы
Впервые встречаю подобное. Ваше мнение?
Re: Образование в мышце височной области
Eсли честно, пока без понятия! кажется есть кальций или костное образование
. Надо будет почитать, или сделать КТ (в моих условиях это было бы самое верное).
Re: Образование в мышце височной области
Может быть б-нь Хортона, или её последствия 
- KsV
- Администратор
- Сообщения: 2189
- Зарегистрирован: 22 фев 2009, 13:38
- Откуда: Беларусь-Lietuva
- Контактная информация:
Re: Образование в мышце височной области
Ну вот деталь, которая может быть немаловажной - у пациента подагра, имеются тофусы в ушных раковинах.
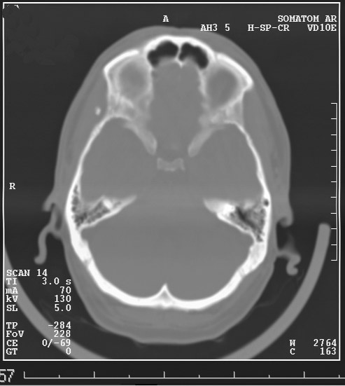
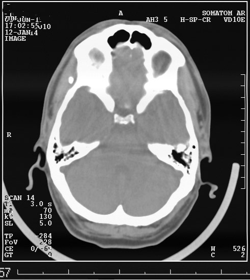
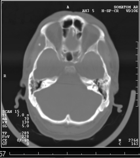
Выкладываю данные КТ
Выкладываю данные КТ
Re: Образование в мышце височной области
На снимке утолщение веретенообразное мышечного слоя с наличием кальцификатов(два) Кальцификаты в мышце чаще встречаются при паразитарных инфекциях(трихиниллез,токсоплазмоз,цистецеркоз),но их больше по количеству и в разных местах.Оссифицирующий миозит-имеет свою картину и распространение.Насчет Хортона-навряд ли,это же поражение сосуда.Насчет тофусов-они содержат ураты,чаще локализуются подкожно(не в мышце),при подагре осификации вдоль сухожилий.А может был удар,гематома с частичной кальцификацией?
Re: Образование в мышце височной области
Если в анамнезе подагра, то тогда я за скопление солей уратов. Эта гадость может накапливаться где угодно, я сам видел и смотрел публикации коллег, когда это тофусы и в брюшной полости находили, а уж в мягких тканях, так это и подавно. Тем более что это болит, кальцинированная гематома не болела бы.
- KsV
- Администратор
- Сообщения: 2189
- Зарегистрирован: 22 фев 2009, 13:38
- Откуда: Беларусь-Lietuva
- Контактная информация:
Re: Образование в мышце височной области
Как говорил мой учитель - "в гороховом супе нужно искать горох". Я придерживаюсь такой же точки зрения.
Большое спасибо!
Большое спасибо!
Re: Образование в мышце височной области
A в кубике куринного бульона курицу?KapustinSV писал(а):Как говорил мой учитель - "в гороховом супе нужно искать горох".
Re: Образование в мышце височной области
а он не охотник? может - дробь?
Re: Образование в мышце височной области
Плотность не соответствует дроби, она более денсная и даёт артефакты.
Кто сейчас на конференции
Сейчас этот форум просматривают: нет зарегистрированных пользователей и 0 гостей