Аутотрансплантат ткани селезенки в большой сальник
- KsV
- Администратор
- Сообщения: 2189
- Зарегистрирован: 22 фев 2009, 13:38
- Откуда: Беларусь-Lietuva
- Контактная информация:
Аутотрансплантат ткани селезенки в большой сальник
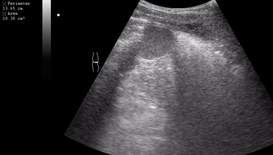
Девочка-подросток поступила в приемное отделение с жалобами на боли в эпигастральной области. На животе - рубец после срединной лапоротомии - полгода назад оперирована по поводу травмы и разрыва селезенки, со слов мамы - выполнена спленэктомия.
При УЗИ в эпигастральной области обнаружилось такое образование.
Ваше заключение? Тактика?
При УЗИ в эпигастральной области обнаружилось такое образование.
Ваше заключение? Тактика?
Re: Находка в животе
Возможна застарелая постоперационная гематома.(Возможно нагноившаяся) На иннородное тело не похоже...Показана пункция
Re: Находка в животе
Похоже на жидкостное образование 2*2 см под апоневрозом в проекции послеоперационного рубца,но не связанное с брюшной полостью т.е ближе к нагноению.Показана пункция,желательно под узи контролем.
Re: Находка в животе
что-то в сальнике, но не инородное тело. может быть ошметок селезенки (аутотрансплантат)? васкуляризация есть?
у меня есть в архиве случай, когда мальчику 10 лет назад была выполнена спленэктомия (травма с разрывом, оперировали не у нас, и что там ему делали - непонятно). а я "нашла" селезенку, в типичном месте, S ее составляла 9 см2.
у меня есть в архиве случай, когда мальчику 10 лет назад была выполнена спленэктомия (травма с разрывом, оперировали не у нас, и что там ему делали - непонятно). а я "нашла" селезенку, в типичном месте, S ее составляла 9 см2.
- KsV
- Администратор
- Сообщения: 2189
- Зарегистрирован: 22 фев 2009, 13:38
- Откуда: Беларусь-Lietuva
- Контактная информация:
Re: Находка в животе
Да, действительно, это аутотрансплантат ткани селезенки в большой сальник.
- KsV
- Администратор
- Сообщения: 2189
- Зарегистрирован: 22 фев 2009, 13:38
- Откуда: Беларусь-Lietuva
- Контактная информация:
Re: Аутотрансплантат ткани селезенки в большой сальник
Если в типичном месте и не выполнялась аутотрансплантация, то это может быть гипертрофия т.н. дополнительной селезенки.
Кто сейчас на конференции
Сейчас этот форум просматривают: нет зарегистрированных пользователей и 1 гость