просмотр снимков снабжен эксклюзивной опцией - бодимаркером!
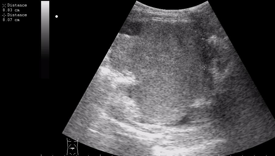
девочка 5 лет, опухоль правого яичника
девочка 5 лет, опухоль правого яичника
опухоль правого яичника удалена 3 года назад
просмотр снимков снабжен эксклюзивной опцией - бодимаркером!
просмотр снимков снабжен эксклюзивной опцией - бодимаркером!
Re: девочка 5 лет, опухоль правого яичника
Если Это на стороне бывшей операции,то я за рецидив с МТ.Спасибо за бодимаркеры!

Последний раз редактировалось besliu 19 июн 2010, 16:34, всего редактировалось 2 раза.
Re: девочка 5 лет, опухоль правого яичника
ЭТО - везде
(не, ну я старалась, бодимаркеры ставила, а никто и не заметил!
)
(не, ну я старалась, бодимаркеры ставила, а никто и не заметил!
Re: девочка 5 лет, опухоль правого яичника
получается и в малом тазу и в брюшной полости
выпот похож на геморальгический (???)
первый: малый таз на боку видимо рецидив местный
если то что в брюшной полости не продолжение образования из малого таза....то как вариант mts в брюшине кишечника, в большом сальнике, забр л/у
(наблюдала муж 45 лет, СПО по поводу рака толстого кишечника: в брюшной полости и левой подвздошной обл солиднокистозные обр, без признаков КН, макс размером 12х14 см)
Кто сейчас на конференции
Сейчас этот форум просматривают: нет зарегистрированных пользователей и 1 гость