Изменения правой почки у женщины 55 лет

Почки, мочеточники, мочевой пузырь, уретра. Простата и яички.

Модератор: KsV

Ответить
Аватара пользователя
KsV
Администратор
Сообщения: 2189
Зарегистрирован: 22 фев 2009, 13:38
Откуда: Беларусь-Lietuva
Контактная информация:

Изменения правой почки у женщины 55 лет

Сообщение KsV »

Периодически беспокоят несильные боли справа, чувство дискомфорта.
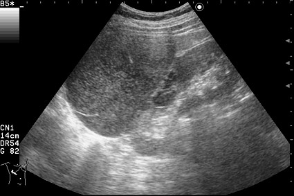
Сонограмма правой почки.
Сонограмма правой почки.
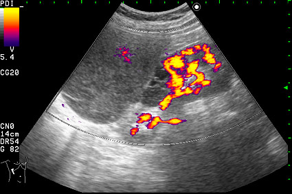
Образование в режиме энергетического доплера.
Образование в режиме энергетического доплера.
Как трактовать выявленные изменения? Какова тактика врача УЗД в данной ситуации?
Аватара пользователя
KsV
Администратор
Сообщения: 2189
Зарегистрирован: 22 фев 2009, 13:38
Откуда: Беларусь-Lietuva
Контактная информация:

Re: Изменения правой почки у женщины 55 лет

Сообщение KsV »

Uzgraph писал(а):Дегенеративные изменения(сморщивание) верхней трети правой почки.
Ю.Ю.,
Что-то прилегает или исходит из почки кпереди...
Аватара пользователя
KsV
Администратор
Сообщения: 2189
Зарегистрирован: 22 фев 2009, 13:38
Откуда: Беларусь-Lietuva
Контактная информация:

Re: Изменения правой почки у женщины 55 лет

Сообщение KsV »

Untitled-1.jpg
Untitled-1.jpg (19.5 КБ) 3286 просмотров
Аватара пользователя
KsV
Администратор
Сообщения: 2189
Зарегистрирован: 22 фев 2009, 13:38
Откуда: Беларусь-Lietuva
Контактная информация:

Re: Изменения правой почки у женщины 55 лет

Сообщение KsV »

Uzgraph писал(а):А разве это не печень? Если нет, то по снимку этого не скажешь.
Нет, это кистоподобное образование, связанное с почкой.
А.М.Шифрин
Сообщения: 60
Зарегистрирован: 12 апр 2009, 18:41
Контактная информация:

Re: Изменения правой почки у женщины 55 лет

Сообщение А.М.Шифрин »

Необычнвя картинка. В голову приходят самые "сумашедшие" предположения (в т.ч. малигнизация кисты, но нет кровотока, нагноившаяся киста, но нет реакции ее стенки; киста с густым содержимым, но отчего оно так загустело?). Просветите нас, пожалуйста.
Аватара пользователя
KsV
Администратор
Сообщения: 2189
Зарегистрирован: 22 фев 2009, 13:38
Откуда: Беларусь-Lietuva
Контактная информация:

Re: Изменения правой почки у женщины 55 лет

Сообщение KsV »

Почечно-клеточный рак правой почки, кистозная форма.
А.М.Шифрин
Сообщения: 60
Зарегистрирован: 12 апр 2009, 18:41
Контактная информация:

Re: Изменения правой почки у женщины 55 лет

Сообщение А.М.Шифрин »

Что-то подобное и следовало ожидать.
Но только по густому содержимому кистозного компонента. Стенка тонкая, кровоток не прокрашивается (единичный мелкий срез сосуда в центре образования больше похож на артефакт, а м.б. им и является).
Если бы в этом случае и содержимое было бы более "жидким", вероятность постановки правильного диагноза была бы минимальной.
Аватара пользователя
KsV
Администратор
Сообщения: 2189
Зарегистрирован: 22 фев 2009, 13:38
Откуда: Беларусь-Lietuva
Контактная информация:

Re: Изменения правой почки у женщины 55 лет

Сообщение KsV »

А.М.Шифрин писал(а):Что-то подобное и следовало ожидать.
Но только по густому содержимому кистозного компонента. Стенка тонкая, кровоток не прокрашивается (единичный мелкий срез сосуда в центре образования больше похож на артефакт, а м.б. им и является).
Если бы в этом случае и содержимое было бы более "жидким", вероятность постановки правильного диагноза была бы минимальной.
Я в своем заключении предположил кисту с внутренним кровоизлиянием.
И ошибся.
Аватара пользователя
KsV
Администратор
Сообщения: 2189
Зарегистрирован: 22 фев 2009, 13:38
Откуда: Беларусь-Lietuva
Контактная информация:

Re: Изменения правой почки у женщины 55 лет

Сообщение KsV »

... И поучительный.
В архив.
Ответить

Вернуться в «Уронефрологические исследования»

Кто сейчас на конференции

Сейчас этот форум просматривают: нет зарегистрированных пользователей и 1 гость