Случайные находки при КТ?

То, что не вошло в предыдущие разделы.
Только верифицированые изображения
Ответить
Аватара пользователя
Dr.Mario
Эксперт
Сообщения: 160
Зарегистрирован: 17 мар 2009, 07:36
Контактная информация:

Случайные находки при КТ?

Сообщение Dr.Mario »

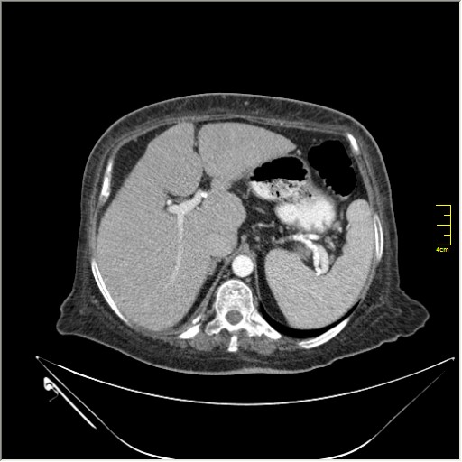
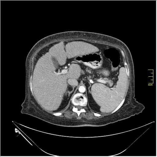
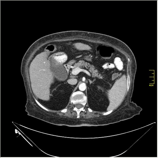
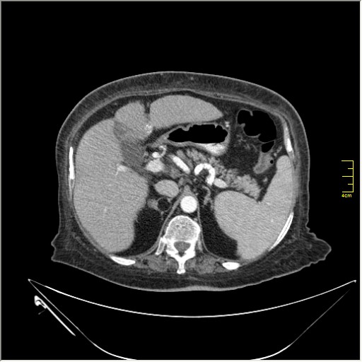
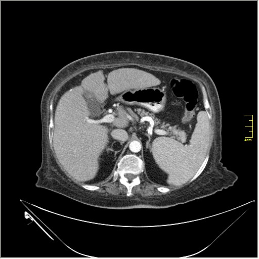
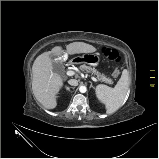
Весьма актуальная тема. Часто при проведении КТ исследования по тому или иному поводу, мы находим патологию, никак не связанную с клиникой пациента и не являющимся причиной обращения в кабинет КТ. Очень важно знать; как с этим быть, какие рекоммендации и действия необходимо предпринять. Для примера приведу одно наблюдение.
N.B. Все "находки" никак не были связаны с клиникой.
Вложения
CT0.JPG
CT1.JPG
CT2.JPG
CT3.JPG
CT4.JPG
CT5.JPG
CT6.JPG
CT7.JPG
Let me see...
www.radiographia.ru
marina
Сообщения: 8
Зарегистрирован: 04 апр 2009, 21:14
Контактная информация:

Re: Случайные находки при КТ?

Сообщение marina »

образование в правом надпочечнике
Аватара пользователя
KsV
Администратор
Сообщения: 2191
Зарегистрирован: 22 фев 2009, 13:38
Откуда: Беларусь-Lietuva
Контактная информация:

Re: Случайные находки при КТ?

Сообщение KsV »

Dr.Mario писал(а):... Очень важно знать; как с этим быть, какие рекоммендации и действия необходимо предпринять... [/i]
Incedentaloma правого надпочечника

Оценить нативную плотность и динамику вымывания контраста.
При данных за доброкачественный характер - наблюдение (возможно динамическое УЗИ).
При недоброкачественном паттерне -поиск первичного очага, биопсия надпочечника.

Др. Марио, поправьте если что...
Аватара пользователя
Dr.Mario
Эксперт
Сообщения: 160
Зарегистрирован: 17 мар 2009, 07:36
Контактная информация:

Re: Случайные находки при КТ?

Сообщение Dr.Mario »

Находки 2:
1.Образование правого надпочечника с плотностью жира, липома. Ничего делать не надо. По другим вариантам incidentalomas, Др. Капустин всё расписал.
2. Множество мелких конкрементов жёлчного пузыря, заполняющие до 50% просвета. С этим надо что-то делать. )))
Let me see...
www.radiographia.ru
Аватара пользователя
KsV
Администратор
Сообщения: 2191
Зарегистрирован: 22 фев 2009, 13:38
Откуда: Беларусь-Lietuva
Контактная информация:

Re: Случайные находки при КТ?

Сообщение KsV »

Др Марио, спасибо за урок!
marina
Сообщения: 8
Зарегистрирован: 04 апр 2009, 21:14
Контактная информация:

Re: Случайные находки при КТ?

Сообщение marina »

а слона то я не заметила - пропустила конкрем енты -позор..
Ответить

Вернуться в «Разное»

Кто сейчас на конференции

Сейчас этот форум просматривают: нет зарегистрированных пользователей и 0 гостей