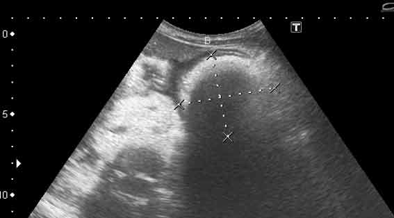
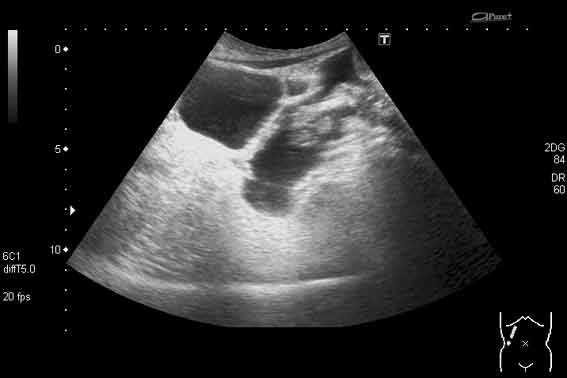
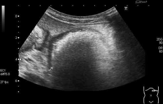
УЗИ, трихобезоар желудка. Gastric trichobesoar, ultrasonography.

Печень, желчный пузырь, поджелудочная железа, селезенка. Кишечник.
Только верифицированые изображения
Ответить
Аватара пользователя
KsV
Администратор
Сообщения: 2191
Зарегистрирован: 22 фев 2009, 13:38
Откуда: Беларусь-Lietuva
Контактная информация:

УЗИ, трихобезоар желудка. Gastric trichobesoar, ultrasonography.

Сообщение KsV »

Наблюдение наших коллег, работающих в педиатрии (valeriy.andilevko).
УЗИ, девочка 8 лет с ментальными расстройствами.
Вложения
1.jpg
2.jpg
3.jpg
А.М.Шифрин
Сообщения: 60
Зарегистрирован: 12 апр 2009, 18:41
Контактная информация:

Re: УЗИ желудка

Сообщение А.М.Шифрин »

Безоар, проглоченный предмет ИМХО
Аватара пользователя
KsV
Администратор
Сообщения: 2191
Зарегистрирован: 22 фев 2009, 13:38
Откуда: Беларусь-Lietuva
Контактная информация:

Re: УЗИ желудка

Сообщение KsV »

Да, трихобезоар.
Вложения
4.jpg
5.jpg
6.jpg
Ответить

Вернуться в «Абдоминальные исследования»

Кто сейчас на конференции

Сейчас этот форум просматривают: Bing [Bot] и 2 гостя