Образование в почке - ангиомиолипома
Модератор: KsV
-
А.М.Шифрин
- Сообщения: 60
- Зарегистрирован: 12 апр 2009, 18:41
- Контактная информация:
Образование в почке - ангиомиолипома
Клинический случай.
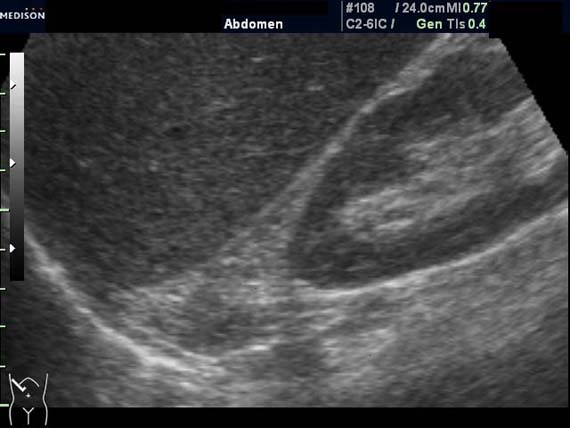
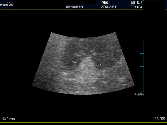
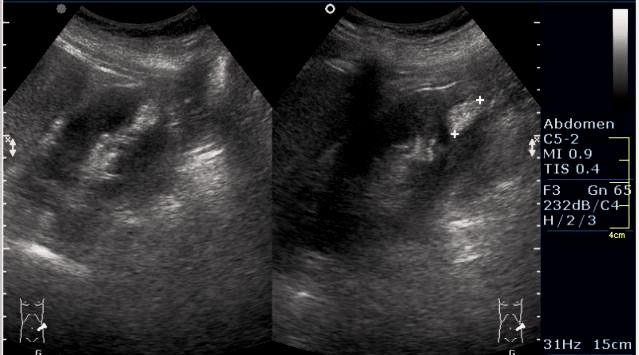
Женщина 50 лет. Жалоб нет. Обследование перед поездкой в санаторий по поводу дисфункции гепатобилиарной системы.
Случайная находка в нижней трети левой почки (не в полюсе, а по задне-медиальной поверхности).
С уважением, А.Шифрин.
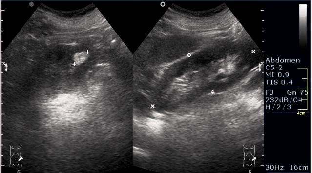
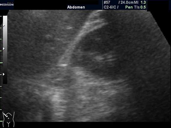
PS. Кстати, а что это у нее рядом с правым надпочечником?
Женщина 50 лет. Жалоб нет. Обследование перед поездкой в санаторий по поводу дисфункции гепатобилиарной системы.
Случайная находка в нижней трети левой почки (не в полюсе, а по задне-медиальной поверхности).
С уважением, А.Шифрин.
PS. Кстати, а что это у нее рядом с правым надпочечником?
- KsV
- Администратор
- Сообщения: 2191
- Зарегистрирован: 22 фев 2009, 13:38
- Откуда: Беларусь-Lietuva
- Контактная информация:
Re: Образование в почке
ПО УЗ-семиотике образование соответствует ангиомиолипоме (AML). По правилам в таких случаях необходимо выполнить КТ, доказать преимущественно жировой состав опухоли, затем проводить УЗ-наблюдение.
СК
PS А где там есть надпочечник - не вижу.
СК
PS А где там есть надпочечник - не вижу.
-
А.М.Шифрин
- Сообщения: 60
- Зарегистрирован: 12 апр 2009, 18:41
- Контактная информация:
Re: Образование в почке
Согласен. Именно с таким диагнозом (ангиомиолипома) отправил на КТ. Особенностью случая ИМХО является заметный "выход" образования за контур почки (на 2/3 объема).
С уважением, А.Шифрин
PS. А надпочечник в срез не попал. Что-то, возможно, прилежит к области проекции надпочечника и к верхнему полюсу почки.
С уважением, А.Шифрин
PS. А надпочечник в срез не попал. Что-то, возможно, прилежит к области проекции надпочечника и к верхнему полюсу почки.
- KsV
- Администратор
- Сообщения: 2191
- Зарегистрирован: 22 фев 2009, 13:38
- Откуда: Беларусь-Lietuva
- Контактная информация:
Re: Образование в почке
АНГИОМИОЛИПОМА ПОЧКИ
Ангиомиолипома (почечная гамартома) — опухоль почки, состоящая в различной пропорции из толстостенных сосудов (ангио-), гладких мышц (мио-) и зрелой жировой ткани (липома). Опухоль считается доброкачественной, хотя описано ее экстраренальное распространение (экстраренальная ангиомиолипома), вовлечение региональных лимфатических узлов, а также рецидивы после хирургического удаления [1–5].
Ангиомиолипомы могут быть множественными и двухсторонними — при туберозном склерозе — генетически наследуемом заболевании, поражающем головной мозг, почки, сердце и кожные покровы.
Заболевание чаще встречается у женщин старше 45 лет и в 4 раза чаще, чем у мужчин, поэтому к образованиям повышенной эхогенности у мужчин необходимо относиться с большим подозрением [6].
При ультрасонографии ангиомиолипома выглядит как округлое образование без капсулы с однородной внутренней эхоструктурой и четкими контурами; эхогенность ее чаще всего равна или чуть выше эхогенности перинефральной клетчатки [7]. Значительно реже эхогенность ангиомиолипом может быть равна эхогенности почечной паренхимы; такие опухоли состоят почти полностью из гладкомышечной ткани [8]. Иногда позади ангиомиолипомы может определяться слабая акустическая тень.
Большинство ангиомиолипом размерами менее 4 см протекают бессимптомно и требуют периодического наблюдения. Жалобы у больных обычно возникают при достижении опухолью размеров 4 см и более [9, 10]. Наиболее грозным осложнением таких образований является их разрыв с кровоизлиянием в периренальное пространство, что может сопровождаться шоком. На потенциально высокий риск разрыва ангиомиолипомы указывает наличие внутриопухолевой псевдоаневризмы, особенно размерами более 5 мм, — такие опухоли требуют превентивного хирургического удаления [11, 12]. При серошкальном ультразвуковом и доплеровском исследованиях псевдоаневризма выглядит как гипо- или анэхогенная структура с высокоскоростным «to-and-fro» («туда и обратно») кровотоком [13].
Подтипом ангиомиолипом являются капсуломы (капсулярные лейомиомы) — маленькие опухоли, исходящие из капсулы почки или подкапсульной зоны [14].
Ссылки:
1. Arenson A.M., Graham R.T., Shaw P., Spigley J., Herschorn S. Angiomyolipoma of the kidney extending into the inferior vena cava // Amer J Radiol, 1988; 151: 1159—1161.
2. Bloom D.A., Scardino P.T., Ehrlich R.M., Waisman J. The significance of lymph nodal involvement in renal angiomyolipoma // J Urol, 1982; 128; 1292–1295.
3. Weiss H., Alken P., Wehner H., Schilp M. Gibt es metastasierende Angiomyolipome? // Ultraschall in Med, 1993; 14: 112–116.
4. Sant G.R., Ucci A.R. Jr, Meares E.M. Jr Multicentric angiomyolipoma: renal and lymph node involvement // Urology, 1986; 28: 111–113.
5. Kragel P.J., Toker C. Infiltrating recurrent renal angiomyolipoma with fatal outcome // J Urol, 1985; 133: 90–91.
6. Oyen R., Verswijvel G., H.Van Poppel, Roskams T. Primary malignant renal parenchimal epithelial neoplasms // Eur Radiol, 2001; 11 (Suppl.2): S205–S217.
7. Lee T.G., Henderson S.C., Freeny P.C., Raskin M.M., Benson E.P. Pearse H.D. Ultrasound findings of renal angiomyolipoma // J Clin Ultrasound, 1978; 6: 150–155.
8. Jinzaki M., Tanimoto A., Narimatsu Y., Ohkuma K. et al. Angiomyolipoma: imaging findings in lesions with minimal fat // Radiology, 1997; 205: 497–502.
9. Oesterling J.E., Fishman E.K., Goldman S.M., Marshall F.F. The management of renal angiomyolipoma // J Urol, 1986; 135: 1121–1124.
10. Dickinson M., Ruckle H., Beaghler M., Hadley H.R. Renal angiomyolipoma: optimal treatment based on size and symptoms // Clin Nephrol, 1998; 49: 281–286.
11. Koh K.B., George J. Radiological parameters of bleeding renal angiomyolipoma // Scand J Urol Nephrol, 1996; 30: 265–268.
12. Yamakado K., Tanaka N., Nakagawa T., Kobayashi S., Yanagawa M., Takeda K, Renal angiomyolipoma: relationships between tumor size, aneurysm formation, and rupture // Radiology, 2002; 225: 78–82.
13. Lapeyre M., Correas J. M., Ortonne N., Balleyguier C., Helenon O. Color-Flow Doppler Sonography of Pseudoaneurysms in Patients with Bleeding Renal Angiomyolipoma // AJR, 2002; 179: 145–147.
14. Colvin S.H. Certain capsular and subcapsular mixed tumors of the kidney herein called "capsuloma" // J Urol, 1942; 48: 585–600.
Ангиомиолипома (почечная гамартома) — опухоль почки, состоящая в различной пропорции из толстостенных сосудов (ангио-), гладких мышц (мио-) и зрелой жировой ткани (липома). Опухоль считается доброкачественной, хотя описано ее экстраренальное распространение (экстраренальная ангиомиолипома), вовлечение региональных лимфатических узлов, а также рецидивы после хирургического удаления [1–5].
Ангиомиолипомы могут быть множественными и двухсторонними — при туберозном склерозе — генетически наследуемом заболевании, поражающем головной мозг, почки, сердце и кожные покровы.
Заболевание чаще встречается у женщин старше 45 лет и в 4 раза чаще, чем у мужчин, поэтому к образованиям повышенной эхогенности у мужчин необходимо относиться с большим подозрением [6].
При ультрасонографии ангиомиолипома выглядит как округлое образование без капсулы с однородной внутренней эхоструктурой и четкими контурами; эхогенность ее чаще всего равна или чуть выше эхогенности перинефральной клетчатки [7]. Значительно реже эхогенность ангиомиолипом может быть равна эхогенности почечной паренхимы; такие опухоли состоят почти полностью из гладкомышечной ткани [8]. Иногда позади ангиомиолипомы может определяться слабая акустическая тень.
Большинство ангиомиолипом размерами менее 4 см протекают бессимптомно и требуют периодического наблюдения. Жалобы у больных обычно возникают при достижении опухолью размеров 4 см и более [9, 10]. Наиболее грозным осложнением таких образований является их разрыв с кровоизлиянием в периренальное пространство, что может сопровождаться шоком. На потенциально высокий риск разрыва ангиомиолипомы указывает наличие внутриопухолевой псевдоаневризмы, особенно размерами более 5 мм, — такие опухоли требуют превентивного хирургического удаления [11, 12]. При серошкальном ультразвуковом и доплеровском исследованиях псевдоаневризма выглядит как гипо- или анэхогенная структура с высокоскоростным «to-and-fro» («туда и обратно») кровотоком [13].
Подтипом ангиомиолипом являются капсуломы (капсулярные лейомиомы) — маленькие опухоли, исходящие из капсулы почки или подкапсульной зоны [14].
Ссылки:
1. Arenson A.M., Graham R.T., Shaw P., Spigley J., Herschorn S. Angiomyolipoma of the kidney extending into the inferior vena cava // Amer J Radiol, 1988; 151: 1159—1161.
2. Bloom D.A., Scardino P.T., Ehrlich R.M., Waisman J. The significance of lymph nodal involvement in renal angiomyolipoma // J Urol, 1982; 128; 1292–1295.
3. Weiss H., Alken P., Wehner H., Schilp M. Gibt es metastasierende Angiomyolipome? // Ultraschall in Med, 1993; 14: 112–116.
4. Sant G.R., Ucci A.R. Jr, Meares E.M. Jr Multicentric angiomyolipoma: renal and lymph node involvement // Urology, 1986; 28: 111–113.
5. Kragel P.J., Toker C. Infiltrating recurrent renal angiomyolipoma with fatal outcome // J Urol, 1985; 133: 90–91.
6. Oyen R., Verswijvel G., H.Van Poppel, Roskams T. Primary malignant renal parenchimal epithelial neoplasms // Eur Radiol, 2001; 11 (Suppl.2): S205–S217.
7. Lee T.G., Henderson S.C., Freeny P.C., Raskin M.M., Benson E.P. Pearse H.D. Ultrasound findings of renal angiomyolipoma // J Clin Ultrasound, 1978; 6: 150–155.
8. Jinzaki M., Tanimoto A., Narimatsu Y., Ohkuma K. et al. Angiomyolipoma: imaging findings in lesions with minimal fat // Radiology, 1997; 205: 497–502.
9. Oesterling J.E., Fishman E.K., Goldman S.M., Marshall F.F. The management of renal angiomyolipoma // J Urol, 1986; 135: 1121–1124.
10. Dickinson M., Ruckle H., Beaghler M., Hadley H.R. Renal angiomyolipoma: optimal treatment based on size and symptoms // Clin Nephrol, 1998; 49: 281–286.
11. Koh K.B., George J. Radiological parameters of bleeding renal angiomyolipoma // Scand J Urol Nephrol, 1996; 30: 265–268.
12. Yamakado K., Tanaka N., Nakagawa T., Kobayashi S., Yanagawa M., Takeda K, Renal angiomyolipoma: relationships between tumor size, aneurysm formation, and rupture // Radiology, 2002; 225: 78–82.
13. Lapeyre M., Correas J. M., Ortonne N., Balleyguier C., Helenon O. Color-Flow Doppler Sonography of Pseudoaneurysms in Patients with Bleeding Renal Angiomyolipoma // AJR, 2002; 179: 145–147.
14. Colvin S.H. Certain capsular and subcapsular mixed tumors of the kidney herein called "capsuloma" // J Urol, 1942; 48: 585–600.
-
А.М.Шифрин
- Сообщения: 60
- Зарегистрирован: 12 апр 2009, 18:41
- Контактная информация:
Re: Образование в почке - ангиомиолипома
Выполнена КТ. Заключение: липома.
Кто сейчас на конференции
Сейчас этот форум просматривают: нет зарегистрированных пользователей и 1 гость