Множественные образования яичников

Только верифицированые изображения
Ответить
Аватара пользователя
valeriy.andilevko
Сообщения: 194
Зарегистрирован: 01 мар 2011, 19:34
Откуда: Витебск
Контактная информация:

Множественные образования яичников

Сообщение valeriy.andilevko »

Девочка 14 лет, в течение последних нескольких дней циркулирует между хирургическим и нефрологическим отделением в связи с болями в животе, изменениями в анализах мочи,дизурическими явлениями.
На УЗИ:
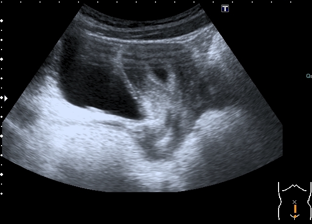
Увеличенная матка с анэхогенным содержимым в полости
Увеличенная матка с анэхогенным содержимым в полости
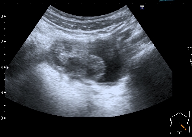
Правый яичник увеличен, с солидно - кистозными образованиями
Правый яичник увеличен, с солидно - кистозными образованиями
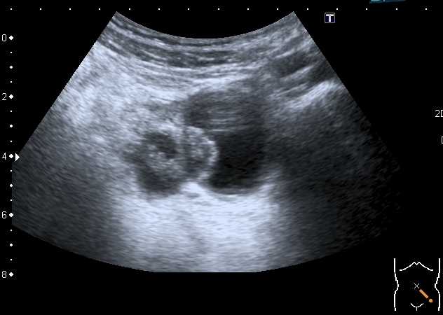
Сходные по структуре образования в левом яичнике
Сходные по структуре образования в левом яичнике
I20111124163305968.jpg
Высказал предположение о множественных папиларных цистаденомах яичников. Хотелось бы узнать, насколько я прав.
Аватара пользователя
Doc
Сообщения: 7
Зарегистрирован: 01 дек 2009, 17:44
Откуда: Витебск
Контактная информация:

Re: Множественные образования яичников

Сообщение Doc »

Думаю, что на папиллярную цистаденому это похоже.
Аватара пользователя
valeriy.andilevko
Сообщения: 194
Зарегистрирован: 01 мар 2011, 19:34
Откуда: Витебск
Контактная информация:

Re: Множественные образования яичников

Сообщение valeriy.andilevko »

Никогда не встречал мультилокулярное и билатеральное поражение , но покопавшись в книгах, вычитал, что двухстороннее поражение составляет от 6 до 32% случаев. Очень подходит клиника - боли в животе, увеличение живота, дизурия. Дальнейший прогноз - 50% малигнизация.
Постараюсь отследить верификацию данного случая. Ещё интересно происхождение жидкости в полости матки, какие есть на счёт этого мнения?
Аватара пользователя
Doc
Сообщения: 7
Зарегистрирован: 01 дек 2009, 17:44
Откуда: Витебск
Контактная информация:

Re: Множественные образования яичников

Сообщение Doc »

valeriy.andilevko писал(а):Никогда не встречал мультилокулярное и билатеральное поражение , но покопавшись в книгах, вычитал, что двухстороннее поражение составляет от 6 до 32% случаев. Очень подходит клиника - боли в животе, увеличение живота, дизурия. Дальнейший прогноз - 50% малигнизация.
Постараюсь отследить верификацию данного случая. Ещё интересно происхождение жидкости в полости матки, какие есть на счёт этого мнения?
Вероятнее следует думать о серозометре и возможно данная патология матки не имеет прямой связи с патологией яичников.
Аватара пользователя
valeriy.andilevko
Сообщения: 194
Зарегистрирован: 01 мар 2011, 19:34
Откуда: Витебск
Контактная информация:

Re: Множественные образования яичников

Сообщение valeriy.andilevko »

Спасибо за консультацию :) .
Хочу попросить заглянуть в гастроэнтерологию, изображения, которые я там выложил при дальнейшем размышлении надо было покзать здесь. Хотелось бы услышать Ваше мнение.
Ответить

Вернуться в «Исследования в педиатрии»

Кто сейчас на конференции

Сейчас этот форум просматривают: нет зарегистрированных пользователей и 0 гостей