УЗИ печени

Печень, желчный пузырь, поджелудочная железа, селезенка. Кишечник.
Изображения для консультации
Ответить
Аватара пользователя
Инга
Сообщения: 216
Зарегистрирован: 23 ноя 2009, 17:22
Контактная информация:

УЗИ печени

Сообщение Инга »

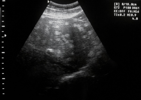
Мужчина,43года. Жалоб не предъявляет
03112011368_cr.jpg
В заключении предыдущего осмотра- Липоматоз печени. Я ранее с таким понятием не встречалась :?:
Вспоминая "немецкий" семинар - Гемангиоматоз?
Аватара пользователя
KsV
Администратор
Сообщения: 2189
Зарегистрирован: 22 фев 2009, 13:38
Откуда: Беларусь-Lietuva
Контактная информация:

Re: УЗИ печени

Сообщение KsV »

Посмотреть почки - может быть то же самое. Ментальные расстройства - КТ головного мозга.
Исключить туберозный склероз.

Нет изменений в почках и ГМ - вспоминаем семинар.
Не забывать, что некоторые Мтs могут быть эхогенными.
Serg
Сообщения: 252
Зарегистрирован: 15 июн 2011, 20:52
Контактная информация:

Re: УЗИ печени

Сообщение Serg »

посмотреть толстый кишечник на предмет симптома ППО...не забывать что эхогенные метастазы дает колоректальный рак...
Аватара пользователя
Инга
Сообщения: 216
Зарегистрирован: 23 ноя 2009, 17:22
Контактная информация:

Re: УЗИ печени

Сообщение Инга »

Почки "чистые". Больной направлен в онкодиспансер на КТ
Спасибо!
ov-rus
Сообщения: 4
Зарегистрирован: 10 авг 2010, 13:01
Контактная информация:

Re: УЗИ печени

Сообщение ov-rus »

Инга,скажите какой диагноз после дообследования
Аватара пользователя
Инга
Сообщения: 216
Зарегистрирован: 23 ноя 2009, 17:22
Контактная информация:

Re: УЗИ печени

Сообщение Инга »

К сожалению, дальнейшая судьба диагноза и больного пока неизвестна. Если что-то узнаю, то сразу напишу.
Аватара пользователя
KsV
Администратор
Сообщения: 2189
Зарегистрирован: 22 фев 2009, 13:38
Откуда: Беларусь-Lietuva
Контактная информация:

Re: УЗИ печени

Сообщение KsV »

По имеющимся у меня сведениям, пациенту выполнена КТ (предположены мтс), затем кор-биопсия (данные не в пользу мтс, скорее в пользу гемангиом).

Подождем что напишут коллеги из ВОКОД.
Ответить

Вернуться в «Абдоминальные исследования»

Кто сейчас на конференции

Сейчас этот форум просматривают: нет зарегистрированных пользователей и 0 гостей