Бэбиграмма ребёнка из РАО
- valeriy.andilevko
- Сообщения: 194
- Зарегистрирован: 01 мар 2011, 19:34
- Откуда: Витебск
- Контактная информация:
Бэбиграмма ребёнка из РАО
Хочу разбавить засилие ультразвуковых изображений на сайте и способоствовать более полному его ссответствию своему названию.
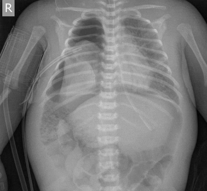
Ребёнок с рождения находится в РАО новорожденных, причину пока не скажу. На момент снимка - возраст 1 месяц. Снимок сделан в связи с резким ухудшением состояния, падением сатурации.
Ребёнок с рождения находится в РАО новорожденных, причину пока не скажу. На момент снимка - возраст 1 месяц. Снимок сделан в связи с резким ухудшением состояния, падением сатурации.
- valeriy.andilevko
- Сообщения: 194
- Зарегистрирован: 01 мар 2011, 19:34
- Откуда: Витебск
- Контактная информация:
Re: Бэбиграмма ребёнка из РАО
Похоже , рентгенологов или заинтересованных рентгеновскими изображениями на сайте мало. А жаль: во взрослой практике такую картинку не встретишь.
"Специалист - это человек , который знает всё больше и больше о всё меньшем и меньшем. Идеальный специалист - это человек, который знает абсолютно всё абсолютно ни о чём"
Законы Мерфи
"Специалист - это человек , который знает всё больше и больше о всё меньшем и меньшем. Идеальный специалист - это человек, который знает абсолютно всё абсолютно ни о чём"
Законы Мерфи
Re: Бэбиграмма ребёнка из РАО
Похоже на об"ємний утвір верхівки правої легені?
- valeriy.andilevko
- Сообщения: 194
- Зарегистрирован: 01 мар 2011, 19:34
- Откуда: Витебск
- Контактная информация:
Re: Бэбиграмма ребёнка из РАО
Отчасти верно, хотя в общем всё несклько сложнее. Добавлю изображение, полученное у ребёнка до того, ка ему стало совсем плохо Картинка несколько отличаетсяSurgeonA писал(а):Похоже на об"ємний утвір верхівки правої легені?
- valeriy.andilevko
- Сообщения: 194
- Зарегистрирован: 01 мар 2011, 19:34
- Откуда: Витебск
- Контактная информация:
Re: Бэбиграмма ребёнка из РАО
Поскольку картинка "до того как" активности не вызвала, добавлю картинку после того как в ситуацию вмешался хирург. Может быть станет яснее...
- valeriy.andilevko
- Сообщения: 194
- Зарегистрирован: 01 мар 2011, 19:34
- Откуда: Витебск
- Контактная информация:
Re: Бэбиграмма ребёнка из РАО
Похоже, рентгенологов на сайте и правда мало
А жаль ...
Итак: в данном случае пренатально был выставлена правосторонняя диафрагмальная грыжа, родоразрешение было проведено на республиканском уровне, после чего ребёнком сразу начали заниматься детские хирурги. Была проведена торакоскопия, на которой выявили выраженную гипоплазию и апневматоз правого лёгкого. Кроме того у ребёнка по ходу случилось массивное внутрижелудочковое кровоизлияние и сформировалась прогрессирующая гидроцефалия. В связи с бесперктивноситью оперативного лечения, ребёнок был переведён в РАО нашей больницы в качестве хосписного больного. Поскольку состояние ребёнка относительно стабилизировалось , начали подумывать о возможноти всё- таки провести опративное лечение, но произошло резкое ухудшение состояния ребёнка в связи с тем, что лопнул рудимент правого лёгкого . Получена рентгенологическая картина почти всех возможных вариантов синдрома утечки воздуха, в т. ч. и пневмоперитонеум , поскольку правого купола диафрагмы не было и воздух из плевральной полости заполнил брюшную полость и дал напряжённый пневмоперитонеум:
Была задренирована правая плевральная полость, в первую очередь воздух ушёл из живота. После всех этих проблем ребёнок прожил ещё около 2-х недель. На секции - правосторонняя ложная диафрагмальная грыжа, гипоплазированное безвоздушное правое лёгкое.
Итак: в данном случае пренатально был выставлена правосторонняя диафрагмальная грыжа, родоразрешение было проведено на республиканском уровне, после чего ребёнком сразу начали заниматься детские хирурги. Была проведена торакоскопия, на которой выявили выраженную гипоплазию и апневматоз правого лёгкого. Кроме того у ребёнка по ходу случилось массивное внутрижелудочковое кровоизлияние и сформировалась прогрессирующая гидроцефалия. В связи с бесперктивноситью оперативного лечения, ребёнок был переведён в РАО нашей больницы в качестве хосписного больного. Поскольку состояние ребёнка относительно стабилизировалось , начали подумывать о возможноти всё- таки провести опративное лечение, но произошло резкое ухудшение состояния ребёнка в связи с тем, что лопнул рудимент правого лёгкого . Получена рентгенологическая картина почти всех возможных вариантов синдрома утечки воздуха, в т. ч. и пневмоперитонеум , поскольку правого купола диафрагмы не было и воздух из плевральной полости заполнил брюшную полость и дал напряжённый пневмоперитонеум:
Была задренирована правая плевральная полость, в первую очередь воздух ушёл из живота. После всех этих проблем ребёнок прожил ещё около 2-х недель. На секции - правосторонняя ложная диафрагмальная грыжа, гипоплазированное безвоздушное правое лёгкое.
Кто сейчас на конференции
Сейчас этот форум просматривают: нет зарегистрированных пользователей и 0 гостей