УЗИ яичка - перекрут
Модератор: KsV
- valeriy.andilevko
- Сообщения: 194
- Зарегистрирован: 01 мар 2011, 19:34
- Откуда: Витебск
- Контактная информация:
УЗИ яичка - перекрут
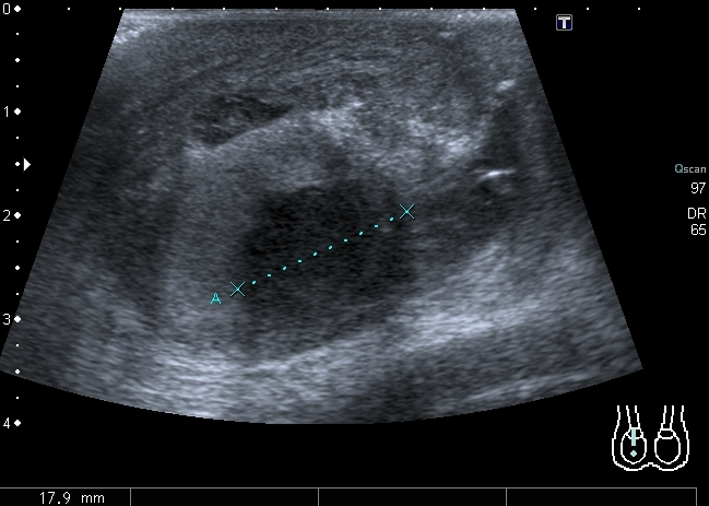
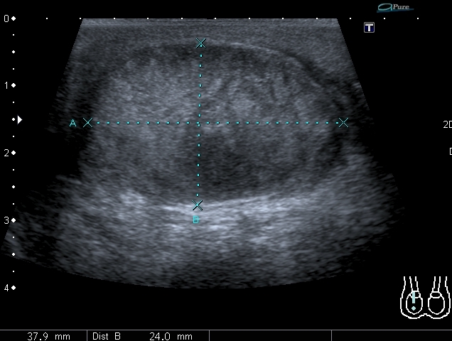
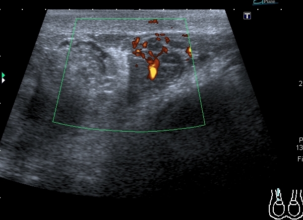
В приёмный покой больницы поступил мальчик 14 лет с жалобами на отёк правой половины мошонки и боли в правом яичке. При УЗИ - правое яичко увеличено отностиельно левого, изменено по структуре, расположено выше левого.
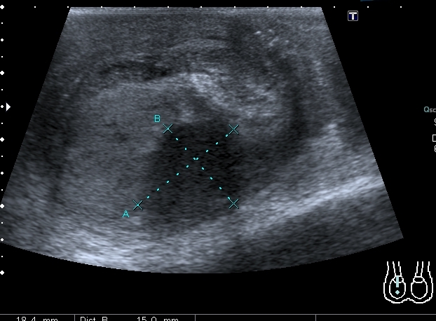
На энергетическом доплере - обогащён кровоток в отёчном придатке и семенном канатике, в яичке кровоток не дифференцируется
Ваши заключения?
- valeriy.andilevko
- Сообщения: 194
- Зарегистрирован: 01 мар 2011, 19:34
- Откуда: Витебск
- Контактная информация:
Re: УЗИ яичка
+1
Была произведена срочная операция:вскрыта мошонка , выделилось небольшое количество геморрагического выпота. Яичко было закручено на 360 градусов, серого цвета. Заворот был ликвидирован, яичко порозовело, но оставались сомнения в его жизнеспособности. В итоге яичко оставили.
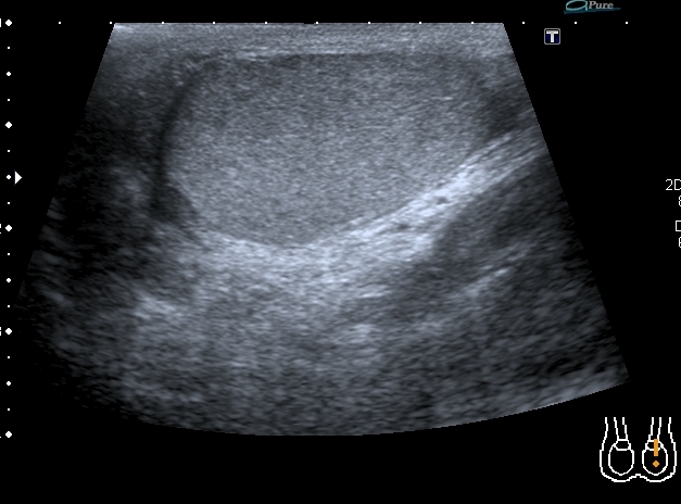
Сегодня смотрел его на контрольном УЗИ: в правой половине мошонки - небольшое количество жидкости. Яичко прежних размеров, кровоток в яичке востановился, но определяется в основном в подоболочечной зонеВ области ворот яичка - гипоэхогенный участок с нечёткими контурами. Вопрос: что делать дальше
Была произведена срочная операция:вскрыта мошонка , выделилось небольшое количество геморрагического выпота. Яичко было закручено на 360 градусов, серого цвета. Заворот был ликвидирован, яичко порозовело, но оставались сомнения в его жизнеспособности. В итоге яичко оставили.
Сегодня смотрел его на контрольном УЗИ: в правой половине мошонки - небольшое количество жидкости. Яичко прежних размеров, кровоток в яичке востановился, но определяется в основном в подоболочечной зонеВ области ворот яичка - гипоэхогенный участок с нечёткими контурами. Вопрос: что делать дальше
- valeriy.andilevko
- Сообщения: 194
- Зарегистрирован: 01 мар 2011, 19:34
- Откуда: Витебск
- Контактная информация:
Re: УЗИ яичка
Поговорил с хирургами, они считают, что это действительно участок некроза, но поскольку кровоток востановился, яичко оставили. В дальнейшем участок некроза, скорее всего заместится соединительной тканью. Будем надеяться, что так и будетKapustinSV писал(а):Видимо, участок некроза.
- valeriy.andilevko
- Сообщения: 194
- Зарегистрирован: 01 мар 2011, 19:34
- Откуда: Витебск
- Контактная информация:
Re: УЗИ яичка
Если попадёт к нам на контроль, постараюсь показать картинку.
- valeriy.andilevko
- Сообщения: 194
- Зарегистрирован: 01 мар 2011, 19:34
- Откуда: Витебск
- Контактная информация:
Re: УЗИ яичка
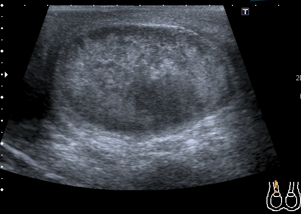
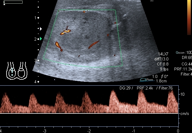
Пациент выписался домой, пока на контроль не появлялся. Через три дня после операции кровоток в яичке был достаточно "живой", нерестриктивный (см. скан с триплексом), но большое сомнение оставил приличный по размерам гипоэхогенный участок. Да и анамнез - около двух дней без кровотока... Во время операции хирурги делали пробу - надсекали оболочку яичка - получили капилярное кровотечение, на основании чего заключили, что яичко жизнеспособно. Я про такую методу , честно говоря, не слышал, дай Бог, чтоб эта проба работала.Dr Alex писал(а):Интересно, "ожило" ли яичко?
Кто сейчас на конференции
Сейчас этот форум просматривают: нет зарегистрированных пользователей и 0 гостей