УЗИ малого таза

Матка и придатки. Молочные железы.
Изображения для консультаций
Ответить
Аватара пользователя
Dr.Mario
Эксперт
Сообщения: 160
Зарегистрирован: 17 мар 2009, 07:36
Контактная информация:

УЗИ малого таза

Сообщение Dr.Mario »

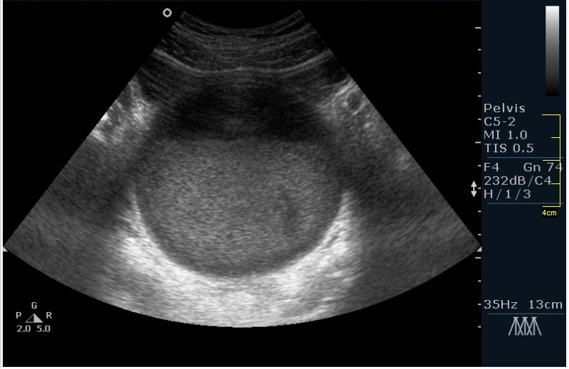
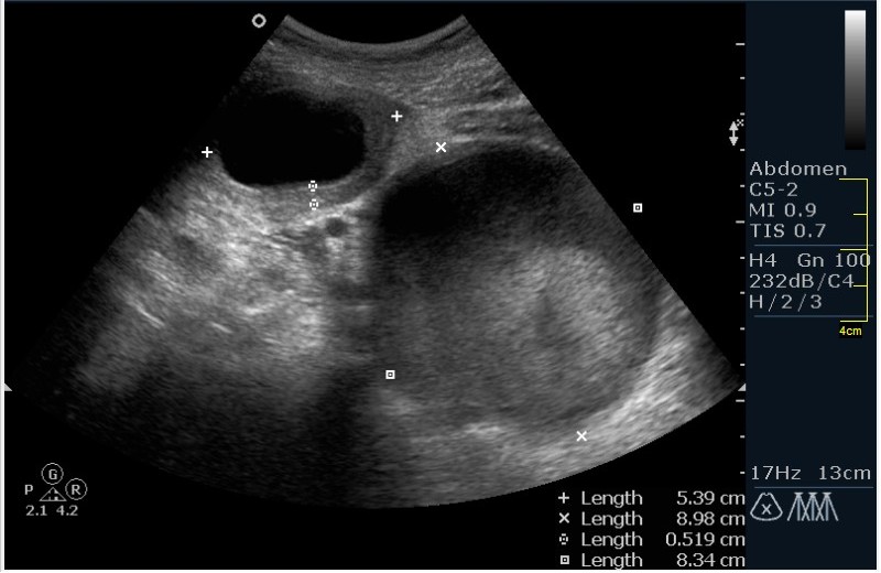
Девочка 12 лет; жалобы на частое мочеиспускание; тупые, тянущие боли в малом тазу. Менструацию отрицает. УЗИ малого таза, все сонограммы выполнены по средней линии, в поперечной и сагитальной проекциях.
Вложения
PLV0.JPG
PLV1.JPG
PLV2.JPG
PLV3.JPG
PLV4.JPG
Let me see...
www.radiographia.ru
Pasenov
Сообщения: 5
Зарегистрирован: 07 май 2009, 14:06
Контактная информация:

Re: УЗИ малого таза

Сообщение Pasenov »

Гематокольпос при заращении девственной плевы. Менархе. Врожденная аномалия половых органов.
besliu
Сообщения: 142
Зарегистрирован: 11 окт 2009, 08:31
Контактная информация:

Re: УЗИ малого таза

Сообщение besliu »

Согласна с Пасеновым,интересная презентация,поправимый случай.
Ответить

Вернуться в «Гинекологические исследования»

Кто сейчас на конференции

Сейчас этот форум просматривают: нет зарегистрированных пользователей и 0 гостей