Бактериальный септический эндокардит

Сердце.
Только верифицированые изображения

Модератор: dok333

Ответить
super45
Сообщения: 19
Зарегистрирован: 18 мар 2009, 17:27
Контактная информация:

Бактериальный септический эндокардит

Сообщение super45 »

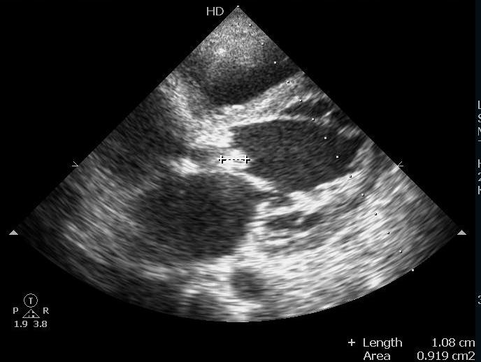
Женщина 39 лет поступила с болями в животе, абстинентным синдромом. При УЗИ брюшной полости признаков острого панкреатита не выявлено, определялись застойные изменения в печени двусторонний гидроторакс, небольшое количество жидкости в брюшной полости. Ни температуры ни признаков воспаления в анализах не было, а вот в сердце...
Вложения
1.wmv
(2.32 МБ) 135 скачиваний
2.wmv
(2.56 МБ) 102 скачивания
3.JPG
4.JPG
Аватара пользователя
valeriy.andilevko
Сообщения: 194
Зарегистрирован: 01 мар 2011, 19:34
Откуда: Витебск
Контактная информация:

Re: Изменения аортального клапана

Сообщение valeriy.andilevko »

Инфекционный эндокардит, сочетанный аортальный порок- митральный стеноз, выраженный незначительно, аортальная недостаточность. Хочется увидеть ЦДК.
Аватара пользователя
dok333
Сообщения: 142
Зарегистрирован: 29 окт 2010, 09:59
Откуда: Ukraine,Kharkiv
Контактная информация:

Re: Изменения аортального клапана

Сообщение dok333 »

мне кажется нельзя достоверно судить по данным видео и фото про митральный стеноз.
Но точно вегетации на аортальном клапане + недостаточность АК- инф.эндокардит.
p.s. можно пофантазировать ,что АК двухстворчатый.
super45
Сообщения: 19
Зарегистрирован: 18 мар 2009, 17:27
Контактная информация:

Re: Изменения аортального клапана

Сообщение super45 »

Митрального стеноза при эхокардиографии небыло, а вот эндокардит с поражением аортального клапана на аутопсии подтвердился.
Аватара пользователя
valeriy.andilevko
Сообщения: 194
Зарегистрирован: 01 мар 2011, 19:34
Откуда: Витебск
Контактная информация:

Re: Бактериальный септический эндокардит

Сообщение valeriy.andilevko »

Прошу прощения, имел в виду аортальный стеноз, просто описался. Мысль об аортальном стенозе возникла на основании увеличения максимального систолического давления на аортальном клапане.
super45
Сообщения: 19
Зарегистрирован: 18 мар 2009, 17:27
Контактная информация:

Re: Бактериальный септический эндокардит

Сообщение super45 »

Другой случай

Вот поражение митрального клапана, исход правда такой же

phpBB [video]
Ответить

Вернуться в «Кардиологические исследования»

Кто сейчас на конференции

Сейчас этот форум просматривают: нет зарегистрированных пользователей и 1 гость