Наверное, так рождаются и рассыпаются камни...

Печень, желчный пузырь, поджелудочная железа, селезенка. Кишечник.
Только верифицированые изображения
Ответить
Аватара пользователя
KsV
Администратор
Сообщения: 2189
Зарегистрирован: 22 фев 2009, 13:38
Откуда: Беларусь-Lietuva
Контактная информация:

Наверное, так рождаются и рассыпаются камни...

Сообщение KsV »

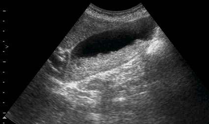
Женщина 59 лет с болями в подребрье справа.
Сонограмма желчного пузыря при поступлении в стационар.
Сонограмма желчного пузыря при поступлении в стационар.
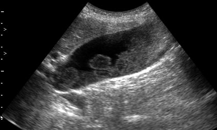
Повторная сонограмма через сутки.
Повторная сонограмма через сутки.
ФАМ
Учитель
Сообщения: 12
Зарегистрирован: 18 мар 2009, 21:09
Контактная информация:

Re: Наверное, так рождаются и рассыпаются камни...

Сообщение ФАМ »

Думаю, что это варианты трансформации коллоидальной устойчивости самой желчи,точнее слажа, т.е.фазовые переходы: фезикулярный агломерат - жидкий кристалл - истинный кристалл и обратно
Аватара пользователя
Dr.Mario
Эксперт
Сообщения: 160
Зарегистрирован: 17 мар 2009, 07:36
Контактная информация:

Re: Наверное, так рождаются и рассыпаются камни...

Сообщение Dr.Mario »

Разделяю точку зрения высказанную выше. Dynamical US control of GB sludge formation stages.
Let me see...
www.radiographia.ru
Ответить

Вернуться в «Абдоминальные исследования»

Кто сейчас на конференции

Сейчас этот форум просматривают: нет зарегистрированных пользователей и 1 гость