УЗИ СЕРДЦА Сегодняшняя находка... Ваше мнение?

Сердце.
Изображения для консультации

Модератор: dok333

Ответить
OLGA
Сообщения: 13
Зарегистрирован: 27 май 2009, 21:35
Контактная информация:

УЗИ СЕРДЦА Сегодняшняя находка... Ваше мнение?

Сообщение OLGA »

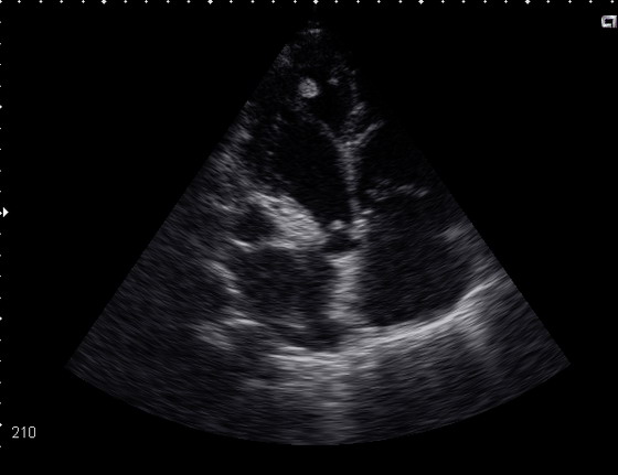
Мужчина, 40 лет, поступил в кадиологическое отделение с жалобами на сердцебиение, слабость. При обследовании: ЭКГ мерцательная аритмия. тахисистоличская форма с ЧСС 175 в мин. признаки ишемии передне-боковой стенки, перегрузка правого желудочка. ОАК. ОАМ без особенностей.
Из анамнеза: около 2х недель назад была простуда, температура, сердцебиение почувствовал неделю назад.
Объективно: состояние удовлетворительное, жалобы сохраняются(см. выше). Тоны сердца глухие, ЧСС 180 в мин, границы сердца расширены влево и вправо. В легких дыхание везикулярное, в нижних отделах с обеих сторон при перкуссии притупление (при обследовании выявлено около 500 мл жидкости с фибрином с обеих сторон).Живот мягкий, безболезненный. Отёков нет.
ЭхоКГ: ПЖ-40см, ЛЖ КДР -65,КДО-178мл, КСО-121мл, МЖП сис.11см\ диаст.12, ЗСЛЖ сис 11\13, ФВ- 32%, давление в легочной артерии 14ммHg, умеренная дилтация ЛП и ПП ( регургитация митральная 1 ст. трикуспидальная 2ст).
0002a.jpg
0002a.jpg (17.84 КБ) 4090 просмотров
0003a.jpg
0001a.jpg
0001a.jpg (19.79 КБ) 4092 просмотра
Вложения
-B_6.23.2009.15.43.28_1.rar
небольшой ролик
(1.13 МБ) 260 скачиваний
OLGA
Сообщения: 13
Зарегистрирован: 27 май 2009, 21:35
Контактная информация:

Re: УЗИ СЕРДЦА Сегодняшняя находка... Ваше мнение?

Сообщение OLGA »

В области верхушки левого желудочка лоцируются 2 округлых образования одно из котрых находится на дополнительной хорде. Есть мнение, что это внеклапанный бак.эндокардит, а есть, что это миокардит с тромбом верхушки ЛЖ. Ваше мнение?
Аватара пользователя
KsV
Администратор
Сообщения: 2191
Зарегистрирован: 22 фев 2009, 13:38
Откуда: Беларусь-Lietuva
Контактная информация:

Re: УЗИ СЕРДЦА Сегодняшняя находка... Ваше мнение?

Сообщение KsV »

Внешне структуры в области верхушки мало похожи на тромб. Можно попробовать рассмотреть эту зону с помощью конвекса с бОльшей частотой сканирования. В целом, клиническая оценка состояния пациента может быть более полезной для диагноза, чем гадания по УЗ-картинке.
OLGA
Сообщения: 13
Зарегистрирован: 27 май 2009, 21:35
Контактная информация:

Re: УЗИ СЕРДЦА Сегодняшняя находка... Ваше мнение?

Сообщение OLGA »

Сегодня у больного развилась клиника инфаркта мозга. При ЭхоКГ в области верхушки никаких дополнительных структур не обнаружено.
Учитывая клинику, лабораторные данные (не было ни лейкоцитоза, ни высокого СОЭ, а бакэндокардит-это всё же септическое состояние, и кстати, в последнем анализе СОЭ было 0.5мм\ч) думаю вероятнее это был тромб. :?:
Nik_mn
Эксперт
Сообщения: 6
Зарегистрирован: 17 мар 2009, 19:32
Контактная информация:

Re: УЗИ СЕРДЦА Сегодняшняя находка... Ваше мнение?

Сообщение Nik_mn »

Описанная ЭХО-картина в большей степени соответствует ДКМП, чем инфекционному эндокардиту. А для ДКМП (или если хотите миокардита Абрамова - Фидлера) характерно пристеночное тромбообразование. А тем более на фоне фибрилляции предсердий
Ответить

Вернуться в «Кардиологические исследования»

Кто сейчас на конференции

Сейчас этот форум просматривают: нет зарегистрированных пользователей и 0 гостей