Фарфоровый желчный пузырь (Porcelain gallbladder)

Печень, желчный пузырь, поджелудочная железа, селезенка. Кишечник.
Только верифицированые изображения
Ответить
Аватара пользователя
KsV
Администратор
Сообщения: 2191
Зарегистрирован: 22 фев 2009, 13:38
Откуда: Беларусь-Lietuva
Контактная информация:

Фарфоровый желчный пузырь (Porcelain gallbladder)

Сообщение KsV »

Женщина средних лет без жалоб на здоровье.
20140331_KIDNEY_0014.JPG
phpBB [video]

phpBB [video]

Pilvas-SKRANDIS GULINT ANT PILVO-2014.03.31-10_36_56-562.JPEG
Аватара пользователя
dok333
Сообщения: 142
Зарегистрирован: 29 окт 2010, 09:59
Откуда: Ukraine,Kharkiv
Контактная информация:

Re: Фарфоровый желчный пузырь (Porcelain gallbladder)

Сообщение dok333 »

классно представлен. не видел . Спасибо
Аватара пользователя
KsV
Администратор
Сообщения: 2191
Зарегистрирован: 22 фев 2009, 13:38
Откуда: Беларусь-Lietuva
Контактная информация:

Re: Фарфоровый желчный пузырь (Porcelain gallbladder)

Сообщение KsV »

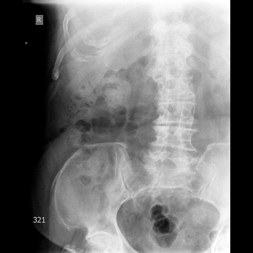
Еще случай.
Бабушка из отделения сестринского ухода, без жалоб на боли в животе. Лаб. анализы не изменены.
qallbl_20140418_KIDNEY_0006.JPG
phpBB [video]


phpBB [video]

Pilvas-UROGRAMA AP-2014.04.18-09_10_09-687.JPEG
Аватара пользователя
KsV
Администратор
Сообщения: 2191
Зарегистрирован: 22 фев 2009, 13:38
Откуда: Беларусь-Lietuva
Контактная информация:

Re: Фарфоровый желчный пузырь (Porcelain gallbladder)

Сообщение KsV »

Дифдиагноз

Острый эмфизематозный холецистит.
Клиника + реверберация а не тень + подвижность газа.

phpBB [video]


Острый эмфизематозный гангренозный деструктивный холецистит.
Аватара пользователя
valeriy.andilevko
Сообщения: 194
Зарегистрирован: 01 мар 2011, 19:34
Откуда: Витебск
Контактная информация:

Re: Фарфоровый желчный пузырь (Porcelain gallbladder)

Сообщение valeriy.andilevko »

Какова тактика? Фарфоровый желчный пузырь - подозрение на Сr?
Аватара пользователя
KsV
Администратор
Сообщения: 2191
Зарегистрирован: 22 фев 2009, 13:38
Откуда: Беларусь-Lietuva
Контактная информация:

Re: Фарфоровый желчный пузырь (Porcelain gallbladder)

Сообщение KsV »

Выскажу свое мнение.
Если кальциноз стенки полный и содержимое пузыря осмотру не доступно, то есть показания к проведению КТ-МРТ. Если стенки инкрустированы частично (как в представленных случаях) и можно оценить характер содержимого и структуру стенок, то можно ограничиться только УЗИ. Далее, если есть подозрение на опухоль то пациента направляют к онкологу, а он сам определяет дальнейшую тактику.

Кстати, впервые вижу подобную патологию. Может потому что здесь в нашем городке в советское время вовсю "дымил" цементный завод?
Аватара пользователя
valeriy.andilevko
Сообщения: 194
Зарегистрирован: 01 мар 2011, 19:34
Откуда: Витебск
Контактная информация:

Re: Фарфоровый желчный пузырь (Porcelain gallbladder)

Сообщение valeriy.andilevko »

Цитата из книги "Секреты компьютерной томографии"Джон Стрэнг, Викрам Догра :
Что такое фарфоровый желчный пузырь?
Это форма хронического холецистита с кальцификацией стенки ЖП. Термин "фарфоровый" отражает голубоватый оттенок и хрупкую консистенцию ЖП. У мужчин возникает в 5 раз чаще. Кальцификация стенки представляет собой либо непрерывную кальцификацию мышечного слоя, либо прерывистую кальцификацию слизистой и подслизистой. У таких больных высока частота возникновения рака ЖП (11-33%) Каждый раз, когда при УЗИ имеется подозрение на фарфоровый ЖП, для подтверждения диагноза и оценки степени злокачественности проводят КТ
Ответить

Вернуться в «Абдоминальные исследования»

Кто сейчас на конференции

Сейчас этот форум просматривают: нет зарегистрированных пользователей и 1 гость