УЗИ, гнойный псоит
- KsV
- Администратор
- Сообщения: 2191
- Зарегистрирован: 22 фев 2009, 13:38
- Откуда: Беларусь-Lietuva
- Контактная информация:
УЗИ, гнойный псоит
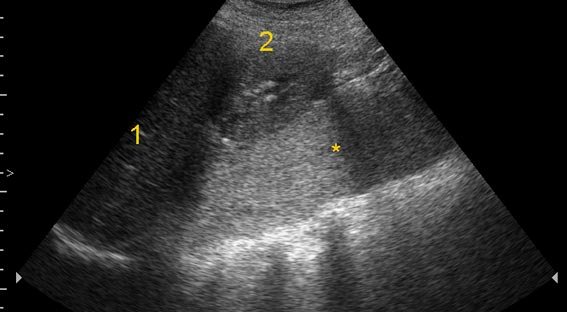
Женщина, 45 лет. Боли в правой подвздошной области, правом бедре, невозможность поднять прямую правую ногу.
Абсцесс задренирован, отмыт, больная выписана с выздоровлением.
Абсцесс задренирован, отмыт, больная выписана с выздоровлением.
Re: псоит
а что послужило причиной? травма?
Re: псоит
по поводу видео - я бы прогавила, решив, что это жир 
- KsV
- Администратор
- Сообщения: 2191
- Зарегистрирован: 22 фев 2009, 13:38
- Откуда: Беларусь-Lietuva
- Контактная информация:
Re: псоит
Видео по клику скачиваются и просматриваются в видеопроигрывателе.Anastasia писал(а):А видео уже не активны? Что-то они у меня не открываются
Древние технологии.
Благодаря doc69 сейчас пользуемся современными.
PS
Исправил.
-
Anastasia
- Сообщения: 423
- Зарегистрирован: 07 янв 2013, 14:09
- Откуда: г. Могилёв
- Контактная информация:
Re: УЗИ, гнойный псоит
спасибо
Кто сейчас на конференции
Сейчас этот форум просматривают: нет зарегистрированных пользователей и 1 гость