Женщина средних лет, жалоб нет.
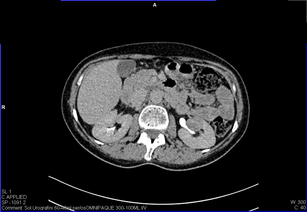
УЗИ почек - малый рак. Small RCC.
Модератор: KsV
Re: УЗИ почек
Подозревается TCC
- KsV
- Администратор
- Сообщения: 2189
- Зарегистрирован: 22 фев 2009, 13:38
- Откуда: Беларусь-Lietuva
- Контактная информация:
Re: УЗИ почек
Позвонили пациентке, она сделала КТ - новообразование подтверждено.
Подождем диск.
Подождем диск.
Re: УЗИ почек
Интересная статья по этой теме http://base.safework.ru/iloenc?doc&nd=8 ... =0&ssect=0 -
Кто сейчас на конференции
Сейчас этот форум просматривают: нет зарегистрированных пользователей и 1 гость