КТ Органов грудной полости.

Изображения для консультации
Ответить
Аватара пользователя
Dr.Mario
Эксперт
Сообщения: 160
Зарегистрирован: 17 мар 2009, 07:36
Контактная информация:

КТ Органов грудной полости.

Сообщение Dr.Mario »

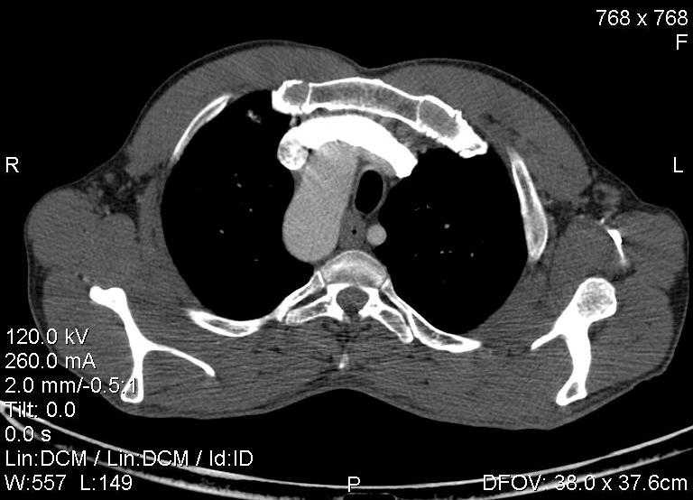
Пациент был направлен на КТ после рентгенографии ОГК, с направительным диагнозом: объёмное образование верхнего средостения.
Вложения
Aorta Ax.0001.jpg
Aorta Ax.0002.jpg
Aorta Ax.0003.jpg
Aorta Ax.0004.jpg
Aorta Ax.0005.jpg
Aorta Ax.0006.jpg
Aorta Ax.0007.jpg
Aorta COR MIP0001.jpg
Aorta COR MIP0002.jpg
Aorta COR MIP0003.jpg
Aorta COR MIP0004.jpg
Let me see...
www.radiographia.ru
marina
Сообщения: 8
Зарегистрирован: 04 апр 2009, 21:14
Контактная информация:

Re: КТ Органов грудной полости.

Сообщение marina »

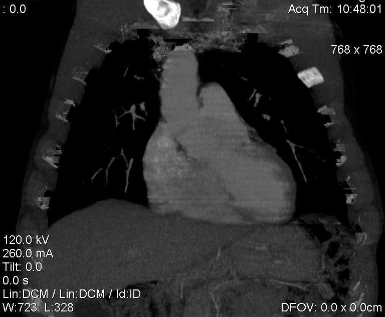
это аномально расположенная грудная аорта
Аватара пользователя
Dr.Mario
Эксперт
Сообщения: 160
Зарегистрирован: 17 мар 2009, 07:36
Контактная информация:

Re: КТ Органов грудной полости.

Сообщение Dr.Mario »

Конечно, дуга аорты идёт справа от позвоночника (декстра позиция); но есть и ещё одна аномалия той же группы:
Вложения
Aorta COR MIP0004.jpg
Let me see...
www.radiographia.ru
Ответить

Вернуться в «Легкие, грудная клетка»

Кто сейчас на конференции

Сейчас этот форум просматривают: нет зарегистрированных пользователей и 0 гостей