УЗИ "беременности" - гигантская киста яичника

Матка и придатки. Молочные железы.
Только верифицированые изображения
Ответить
Аватара пользователя
KsV
Администратор
Сообщения: 2191
Зарегистрирован: 22 фев 2009, 13:38
Откуда: Беларусь-Lietuva
Контактная информация:

УЗИ "беременности" - гигантская киста яичника

Сообщение KsV »

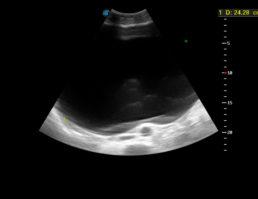
Женщина средних лет с нерезкими болями в животе и его увеличением направлена к гинекологу с подозрением на беременность. Гинеколог отправил на УЗИ исключить кишечную непроходимость.
dec302015130951_0.jpg
dec302015131302_4.jpg
Экстренно отправлена в гинекологическое отделение, где прооперирована.
Д-з: Гигантская киста яичника.

Объем кисты - около 12 литров!
Аватара пользователя
KsV
Администратор
Сообщения: 2191
Зарегистрирован: 22 фев 2009, 13:38
Откуда: Беларусь-Lietuva
Контактная информация:

Re: УЗИ "беременности" - гигантская киста яичника

Сообщение KsV »

Кстати, если посчитать объем по полученным на УЗИ данным, то получится около 6 литров.

Видимо, измерение по панорамной реконструкции не всегда корректно.
Ответить

Вернуться в «Гинекологические исследования»

Кто сейчас на конференции

Сейчас этот форум просматривают: нет зарегистрированных пользователей и 0 гостей