Желчный пузырь 3
Желчный пузырь 3
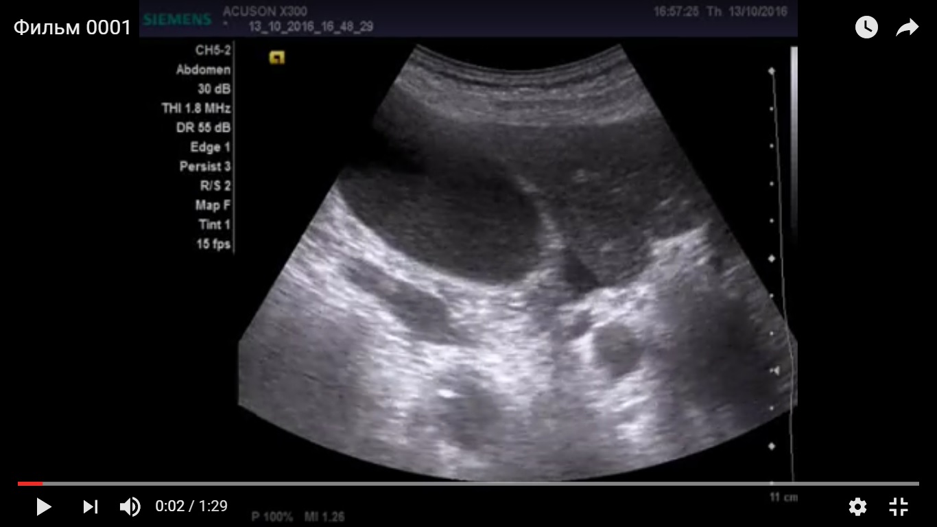
Дедушка лет 80, поступил по скорой с жалобами на боли в животе, провели узи, увидели выраженный асцит. Затем кто то видимо подсобрал анамнез, поставил катетер в мочевой и вывел 4 литра мочи. Для того что бы исключить хир. патологию и отправить дедушку на излечение в урологию повторно проведено уз исследование.
Ваше мнение?
Ваше мнение?
Re: Желчный пузырь 3
желчный пузырь увеличен 11*5 см, заполнен крупнодисперсной взвесью, в области шейки свободная жидкость. Дискинезия ЖВП?
- KsV
- Администратор
- Сообщения: 2189
- Зарегистрирован: 22 фев 2009, 13:38
- Откуда: Беларусь-Lietuva
- Контактная информация:
Re: Желчный пузырь 3
Не видно причины гипертензии за уровне шейки ЖП -- холедоха, но признаки гипертензии есть.
Re: Желчный пузырь 3
есть признаки да. учитывая гемодинамически значимый стеноз ВБА, я бы склонился к эмпиеме пузыря, на фоне атеросклеротических изменений пузырной артерии. Учитывая возраст, клиника может быть стёрта, а учитывая наличие свободной жидкости, можно подумать о вялотекущей ишемии стенки и нарастающей деструкции. Я так бы рассудил.
- KsV
- Администратор
- Сообщения: 2189
- Зарегистрирован: 22 фев 2009, 13:38
- Откуда: Беларусь-Lietuva
- Контактная информация:
Re: Желчный пузырь 3
Ишемический некроз стенки желчного пузыря теоретически может быть и он очень плохо диагностируется при УЗИ.
Но должны быть другие признаки воспаления, например, околопузырный инфильтрат и хоть какое-нибудь изменение стенок.
Но должны быть другие признаки воспаления, например, околопузырный инфильтрат и хоть какое-нибудь изменение стенок.
Re: Желчный пузырь 3
то что есть выложил. Хирурги сказали что клиники нет, перевели в урологию, но опыт показывает , что не всегда они правы. Считаю , что на узи не нормальная картина.
Кто сейчас на конференции
Сейчас этот форум просматривают: нет зарегистрированных пользователей и 1 гость