Полное удвоение левой почки у девочки 10 лет

Только верифицированые изображения
Ответить
Bugati
Сообщения: 7
Зарегистрирован: 30 апр 2016, 09:43
Контактная информация:

Полное удвоение левой почки у девочки 10 лет

Сообщение Bugati »

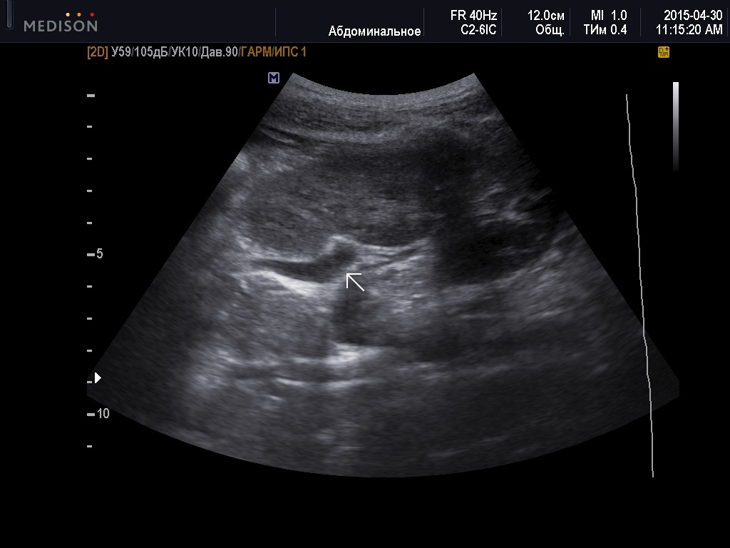
Случай 2015 года, девочка на амбулаторно приёме, бросилось в глаза "пульсирующее" уретероцеле слева. При детальном осмотре уретеро-везикального соустья в режиме ЦДК обнаружен выброс из 3-х мочеточников.
При этом в левой почке определялась одна лоханка, расположенная несколько ниже обычного положения, вторая не визуализировалась. Ее стало возможно видеть в активную фазу заполнения и при пробе с диуретиком.
На Ro обследовании удвоение подтвердилось.
1) https://youtu.be/2HZps2wwCcU видео на котором было замечено пульсирующее уретероцеле

phpBB [video]


2) https://youtu.be/enbPtajjfxo ЦДК выбросов из мочеточников, на котором зафиксированы 3 выброса и прослеживается 2 рядом расположенных мочеточника

phpBB [video]
Вложения
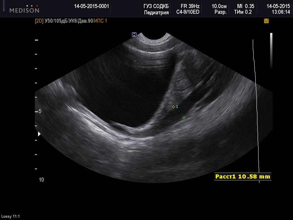
Левая почка при первичном обследовании
Левая почка при первичном обследовании
Один из мочеточников слева расширенный на фоне диуретика
Один из мочеточников слева расширенный на фоне диуретика
экскреторная урография
экскреторная урография
Аватара пользователя
KsV
Администратор
Сообщения: 2191
Зарегистрирован: 22 фев 2009, 13:38
Откуда: Беларусь-Lietuva
Контактная информация:

Re: Полное удвоение левой почки у девочки 10 лет

Сообщение KsV »

Второе видео не открывается, лучше его перезалить.
Bugati
Сообщения: 7
Зарегистрирован: 30 апр 2016, 09:43
Контактная информация:

Re: Полное удвоение левой почки у девочки 10 лет

Сообщение Bugati »

Оказалось youtube заблокировал видео, сейчас пробовал - разблокировали
Аватара пользователя
KsV
Администратор
Сообщения: 2191
Зарегистрирован: 22 фев 2009, 13:38
Откуда: Беларусь-Lietuva
Контактная информация:

Re: Полное удвоение левой почки у девочки 10 лет

Сообщение KsV »

Обычно мочеточник верхней половины впадает медиальнее и, поэтому, чаще формируется уретероцеле. Устье мочеточника нижней половины чаще латерализовано, поэтому, чаще возникает ПМР. Здесь имеем уретероцеле с минимальной, клинически незначимой обструкцией.
На 2м видео в одном скане видны оба МПС.
Ответить

Вернуться в «Исследования в педиатрии»

Кто сейчас на конференции

Сейчас этот форум просматривают: нет зарегистрированных пользователей и 2 гостя