Страница 2 из 2
Re: Гидронефроз или синусные кисты?
Добавлено: 20 дек 2011, 16:05
Инга
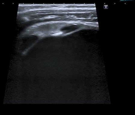
Тему уже давно закрыли, но вот свежая "красивая" картинка; левая почка незначительно увеличена в размерах, без изменений ЧЛС, со слов больного он уже несколько лет наблюдается у уролога:
Re: Гидронефроз или синусные кисты?
Добавлено: 23 дек 2011, 14:22
valeriy.andilevko
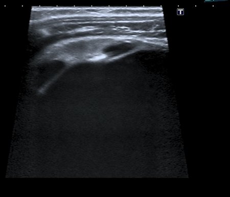
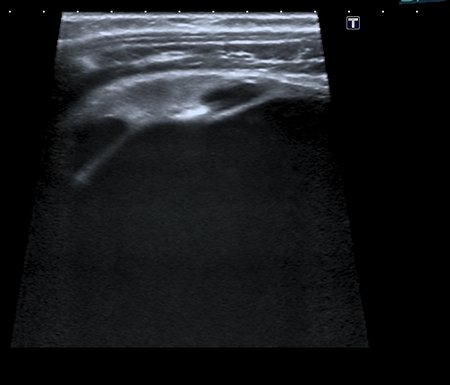
Ещё картинки гидронефроза у ребёнка 6 - ти месяцев, спутать такой гидронефрозище с синусной кистой сложно, а вот с кистой брюшной полости - запросто

- Сканирование высокочастотным датчиком - резидуальная паренхима