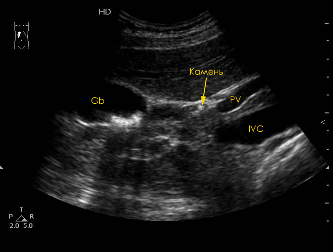
УЗИ ЖВП: конкремент в пузырном протоке

Печень, желчный пузырь, поджелудочная железа, селезенка. Кишечник.
Только верифицированые изображения
Аватара пользователя
KsV
Администратор
Сообщения: 2191
Зарегистрирован: 22 фев 2009, 13:38
Откуда: Беларусь-Lietuva
Контактная информация:

Re: УЗИ ЖВП: конкремент в пузырном протоке

Сообщение KsV »

dok69 писал(а):
KapustinSV писал(а):dok69, то что Вы измерили - Это НПВ.
Да ..., пардон, промахнулся. Изображение
А чего вы спрашиваете про ВВ?
Если ее здесь не видно.
{тема вновь отредактирована}

Воротная вена как раз и видна, точнее ее левая ветвь.
1.jpg
Аватара пользователя
dok69
Сообщения: 137
Зарегистрирован: 19 дек 2009, 19:32
Откуда: г.Бобруйск
Контактная информация:

Re: УЗИ ЖВП: конкремент в пузырном протоке

Сообщение dok69 »

:)
http://endosono.ru
*****************************************
Странный этот мир, в котором двое смотрят на одно и тоже, а видят разное.
Агата Кристи.
Ответить

Вернуться в «Абдоминальные исследования»

Кто сейчас на конференции

Сейчас этот форум просматривают: нет зарегистрированных пользователей и 1 гость