УЗИ панкреас, болевой приступ
- KsV
- Администратор
- Сообщения: 2191
- Зарегистрирован: 22 фев 2009, 13:38
- Откуда: Беларусь-Lietuva
- Контактная информация:
УЗИ панкреас, болевой приступ
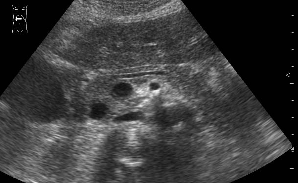
Молодая женщина с болями в животе.
Какое заключение можно сделать по этой сонограмме?
Какова дальнейшая тактика ведения больной?
Какое заключение можно сделать по этой сонограмме?
Какова дальнейшая тактика ведения больной?
Re: УЗИ панкреас, болевой приступ
Острый панкреатит с абсцедированием(есть такой?).......------консервативная терапия
- KsV
- Администратор
- Сообщения: 2191
- Зарегистрирован: 22 фев 2009, 13:38
- Откуда: Беларусь-Lietuva
- Контактная информация:
Re: УЗИ панкреас, болевой приступ
А какие здесь есть признаки о.панкреатита с абсцедированием?Брехт писал(а):Острый панкреатит с абсцедированием(есть такой?).......------консервативная терапия
Re: УЗИ панкреас, болевой приступ
Очаговые образования головки ПЖ (кисты?) Рек-но КТ.
- KsV
- Администратор
- Сообщения: 2191
- Зарегистрирован: 22 фев 2009, 13:38
- Откуда: Беларусь-Lietuva
- Контактная информация:
Re: УЗИ панкреас, болевой приступ
Инга, ну где здесь кисты? Где здесь очаговые изменения? Вы хотите получить повторный 2-хнедельный срок?Инга писал(а):Очаговые образования головки ПЖ (кисты?) Рек-но КТ.
Вспоминаем нормальную анатомию!
Re: УЗИ панкреас, болевой приступ
Жаль нет снимка во взаимоперпендикулярной плоскости.Можно предположить аневризму брюшного отдела аорты.
- KsV
- Администратор
- Сообщения: 2191
- Зарегистрирован: 22 фев 2009, 13:38
- Откуда: Беларусь-Lietuva
- Контактная информация:
Re: УЗИ панкреас, болевой приступ
Холодно. Аневризмы брюшного отдела аорты здесь нет.Лилия писал(а):Жаль нет снимка во взаимоперпендикулярной плоскости.Можно предположить аневризму брюшного отдела аорты.
Re: УЗИ панкреас, болевой приступ
"Срок" бы не помешал ...
Хотите сказать, что это норма?
Хотите сказать, что это норма?
- KsV
- Администратор
- Сообщения: 2191
- Зарегистрирован: 22 фев 2009, 13:38
- Откуда: Беларусь-Lietuva
- Контактная информация:
Re: УЗИ панкреас, болевой приступ
Конечно же не норма.Инга писал(а):"Срок" бы не помешал ...![]()
Хотите сказать, что это норма?
Re: УЗИ панкреас, болевой приступ
По моему это расширенный Вирсунгиев проток,нужно исключать патологию дуоденального сосочка-ФГС
Кто сейчас на конференции
Сейчас этот форум просматривают: нет зарегистрированных пользователей и 0 гостей