"Чужой"

Почки, мочеточники, мочевой пузырь, уретра. Простата и яички.

Модератор: KsV

Брехт
Сообщения: 99
Зарегистрирован: 16 июн 2009, 08:13
Контактная информация:

"Чужой"

Сообщение Брехт »

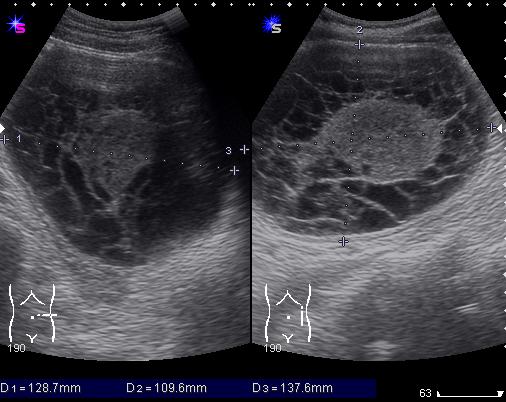
М. 37 лет, жалоб нет, амб. приём, причина назначения УЗИ ОБП: СОЭ 42мм
б\б и м\э консист., как говорится.   Исходит из н\ полюса левой почки
б\б и м\э консист., как говорится. Исходит из н\ полюса левой почки
Аватара пользователя
KsV
Администратор
Сообщения: 2191
Зарегистрирован: 22 фев 2009, 13:38
Откуда: Беларусь-Lietuva
Контактная информация:

Re: "Чужой"

Сообщение KsV »

Доплер?
Очень необычное для почки образование. Первая мысль - RCC.
Брехт
Сообщения: 99
Зарегистрирован: 16 июн 2009, 08:13
Контактная информация:

Re: "Чужой"

Сообщение Брехт »

KapustinSV писал(а):Доплер?
-доплер.jpg
-доплер.jpg (28.69 КБ) 3169 просмотров
Аватара пользователя
KsV
Администратор
Сообщения: 2191
Зарегистрирован: 22 фев 2009, 13:38
Откуда: Беларусь-Lietuva
Контактная информация:

Re: "Чужой"

Сообщение KsV »

Так есть ли воспроизводимый кровоток или нет? - На представленной сонограмме в режиме ЦДК очень высокий уровень цветовых шумов из-за большого усиления - возможны ошибки в интерпретации.

Если кровоток есть, то правомерно заключение "RCC".
Нет - остается "объемное образование почки", рекомендуется КТ.
При клинической необходимости несложно выполнить тонкоигольную диагностическую биопсию образования.
besliu
Сообщения: 142
Зарегистрирован: 11 окт 2009, 08:31
Контактная информация:

Re: "Чужой"

Сообщение besliu »

Коллега,очень хотелось бы посмотреть"исход" из н/полюса,хотя бы один снимок(из почки?пери или паранефрално?)Очень интересное "явление".Может быть и нагноившийся паразит?
Брехт
Сообщения: 99
Зарегистрирован: 16 июн 2009, 08:13
Контактная информация:

Re: "Чужой"

Сообщение Брехт »

besliu писал(а):Коллега,очень хотелось бы посмотреть"исход" из н/полюса,хотя бы один снимок(из почки?пери или паранефрално?)
Вложения
2.JPG
3.JPG
4.JPG
Аватара пользователя
Dr.Mario
Эксперт
Сообщения: 160
Зарегистрирован: 17 мар 2009, 07:36
Контактная информация:

Re: "Чужой"

Сообщение Dr.Mario »

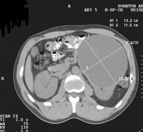
КТ сделали без контрастирования, смысл такого КТ??? Диагностической ценности-ноль.
Let me see...
www.radiographia.ru
Брехт
Сообщения: 99
Зарегистрирован: 16 июн 2009, 08:13
Контактная информация:

Re: "Чужой"

Сообщение Брехт »

Dr.Mario писал(а):КТ сделали без контрастирования, смысл такого КТ??? Диагностической ценности-ноль.
Ценность бывает не только диагностическая
Аватара пользователя
KsV
Администратор
Сообщения: 2191
Зарегистрирован: 22 фев 2009, 13:38
Откуда: Беларусь-Lietuva
Контактная информация:

Re: "Чужой"

Сообщение KsV »

Брехт писал(а):
Dr.Mario писал(а):КТ сделали без контрастирования, смысл такого КТ??? Диагностической ценности-ноль.
Ценность бывает не только диагностическая
А какая может быть еще ценность при проведении диагностического исследования?
Брехт
Сообщения: 99
Зарегистрирован: 16 июн 2009, 08:13
Контактная информация:

Re: "Чужой"

Сообщение Брехт »

"Ценность" самого исследования
Ответить

Вернуться в «Уронефрологические исследования»

Кто сейчас на конференции

Сейчас этот форум просматривают: нет зарегистрированных пользователей и 0 гостей