Металл в брюшной полости

Печень, желчный пузырь, поджелудочная железа, селезенка. Кишечник.
Только верифицированые изображения
Ответить
w.Thyme
Сообщения: 143
Зарегистрирован: 24 апр 2010, 17:46

Металл в брюшной полости

Сообщение w.Thyme »

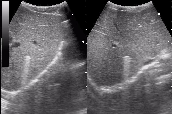
пуля из пневматического пистолета
Вложения
295.JPG
Последний раз редактировалось w.Thyme 02 май 2010, 22:06, всего редактировалось 1 раз.
Аватара пользователя
KsV
Администратор
Сообщения: 2191
Зарегистрирован: 22 фев 2009, 13:38
Откуда: Беларусь-Lietuva
Контактная информация:

Re: Изменения печени и внутрипеченочных желчных протоков

Сообщение KsV »

w.Thyme писал(а): На моей картинке - огнестрел, точнее - воздухострел))) - это пуля из воздушки
А есть ли обзорная рентгенограмма?
Аватара пользователя
KsV
Администратор
Сообщения: 2191
Зарегистрирован: 22 фев 2009, 13:38
Откуда: Беларусь-Lietuva
Контактная информация:

Re: Изменения печени и внутрипеченочных желчных протоков

Сообщение KsV »

w.Thyme писал(а):в природе - да, имеется, и рентген, и КТ. я бы с удовольствием выложила, только случай - годичной давности... кста, а как рентгеновский снимок на форум выложить (и КТ?)
Переснять на цифру, уменьшить до 25 см по длиной стороне... а дальше вы уже знаете.
Аватара пользователя
Dr Alex
Сообщения: 19
Зарегистрирован: 31 окт 2010, 11:02
Контактная информация:

Re: Металл в брюшной полости

Сообщение Dr Alex »

+ на металле должен быть твинклинг артефакт
Алекс-Юстасу.
Ответить

Вернуться в «Абдоминальные исследования»

Кто сейчас на конференции

Сейчас этот форум просматривают: нет зарегистрированных пользователей и 0 гостей