Страница 1 из 1
Острый живот, свободный газ в брюшной полости
Добавлено: 26 май 2010, 14:58
KsV
Молодой мужчина с резкими болями в животе.
Осмотр на каталке с приподнятым головным концом.
10-05-25-155052_4205.avi
- Видео. Продольное сканирование по средней линии на уровне левой доли печени
- (877.28 КБ) 170 скачиваний

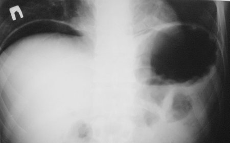
- Фрагмент обзорной рентгенограммы БП
Re: Острый живот
Добавлено: 26 май 2010, 15:08
w.Thyme
если это воздух, то у пациента перфорация полого органа, а если нет - значит датчику совсем плохо
Re: Острый живот
Добавлено: 27 май 2010, 20:06
zubr
На узи газ под печенью,на обзорной рентгенограмме газ под правым куполом диафрагмы т.е. мы имеем
типичную перфорацию полого органа.
Re: Острый живот
Добавлено: 07 июн 2010, 17:44
KsV
Да,все верно, перфорация язвы желудка, свободный газ в брюшной полости.