послеоперационный рубец

Кости, суставы, мышцы, мягкие ткани.
Только верифицированые изображения
Ответить
w.Thyme
Сообщения: 143
Зарегистрирован: 24 апр 2010, 17:46

послеоперационный рубец

Сообщение w.Thyme »

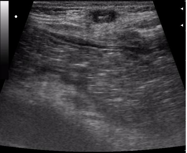
передняя брюшная стенка
Вложения
31381.JPG
Аватара пользователя
KsV
Администратор
Сообщения: 2191
Зарегистрирован: 22 фев 2009, 13:38
Откуда: Беларусь-Lietuva
Контактная информация:

Re: послеоперационный рубец

Сообщение KsV »

Ну и?
w.Thyme
Сообщения: 143
Зарегистрирован: 24 апр 2010, 17:46

Re: послеоперационный рубец

Сообщение w.Thyme »

просто прикольно выглядит, на коже изменений практически никаких. пациент сам по-себе с приколами (после операции б-нь Гиршпрунга, оперировали не у нас) показать?
Аватара пользователя
KsV
Администратор
Сообщения: 2191
Зарегистрирован: 22 фев 2009, 13:38
Откуда: Беларусь-Lietuva
Контактная информация:

Re: послеоперационный рубец

Сообщение KsV »

w.Thyme писал(а):просто прикольно выглядит, на коже изменений практически никаких. пациент сам по-себе с приколами (после операции б-нь Гиршпрунга, оперировали не у нас) показать?
Что Вы хотите показать?
Здесь в перспективе возможен лигатурный свищ.
w.Thyme
Сообщения: 143
Зарегистрирован: 24 апр 2010, 17:46

Re: послеоперационный рубец

Сообщение w.Thyme »

хм... 3 года после операции прошло
в перспективе
???? действительно? ок, спасибо, что предупредили

да уж...доприкалывалась... впервые вижу (что свидетельствует об аккуратности наших!!!!)
Аватара пользователя
KsV
Администратор
Сообщения: 2191
Зарегистрирован: 22 фев 2009, 13:38
Откуда: Беларусь-Lietuva
Контактная информация:

Re: послеоперационный рубец

Сообщение KsV »

w.Thyme писал(а):хм... 3 года после операции прошло
в перспективе
???? действительно? ок, спасибо, что предупредили
Ну, как я и думал, более полугода.

Лигатура с изменениями окружающих тканей (стрелка)
31381-2.jpg
31381-2.jpg (14.01 КБ) 4280 просмотров
Ответить

Вернуться в «Musculoskeletal»

Кто сейчас на конференции

Сейчас этот форум просматривают: нет зарегистрированных пользователей и 0 гостей