УЗИ- перелом ключицы (когда в рентгене очередь...)

Кости, суставы, мышцы, мягкие ткани.
Только верифицированые изображения
Ответить
w.Thyme
Сообщения: 143
Зарегистрирован: 24 апр 2010, 17:46

УЗИ- перелом ключицы (когда в рентгене очередь...)

Сообщение w.Thyme »

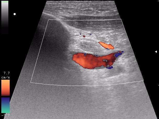
перелом ключицы, большой отек, травматолог хотел определится с тактикой...
Вложения
25851.JPG
25849.JPG
Аватара пользователя
KsV
Администратор
Сообщения: 2191
Зарегистрирован: 22 фев 2009, 13:38
Откуда: Беларусь-Lietuva
Контактная информация:

Re: УЗИ- перелом ключицы (когда в рентгене очередь...)

Сообщение KsV »

Молодец, отличная работа!
TokarEE
Сообщения: 21
Зарегистрирован: 31 май 2010, 19:01
Откуда: РФ, ПФО
Контактная информация:

Re: УЗИ- перелом ключицы (когда в рентгене очередь...)

Сообщение TokarEE »

можно парочку вопросов?: :)
сколько лет пациенту?
как правильно описать смешение при данном переломе? - или достаточно самого факта наличия смешения отломков
по первому скану: перелом получается множественный? - кроме линии перелома впечатление о нарушении заднего контура ближе к границе среза (правда не в фокусе)
и в отношении второго снимка: там какой именно сосудистый пучок? - и что именно исключали этим сканом
заранее спс
w.Thyme
Сообщения: 143
Зарегистрирован: 24 апр 2010, 17:46

Re: УЗИ- перелом ключицы (когда в рентгене очередь...)

Сообщение w.Thyme »

TokarEE писал(а):сколько лет пациенту?
то ли 13, то ли 15, не помню
как правильно описать смешение при данном переломе? - или достаточно самого факта наличия смешения отломков
а никак, ключицу, как правило, не репанируют.
и в отношении второго снимка: там какой именно сосудистый пучок? - и что именно исключали этим сканом
исключали повреждение отломками подключичную артерию и вену ( был огроменный отек)
Вложения
image005.JPG
image005.JPG (32.43 КБ) 10148 просмотров
кстати, вот вена
кстати, вот вена
Ответить

Вернуться в «Musculoskeletal»

Кто сейчас на конференции

Сейчас этот форум просматривают: нет зарегистрированных пользователей и 0 гостей