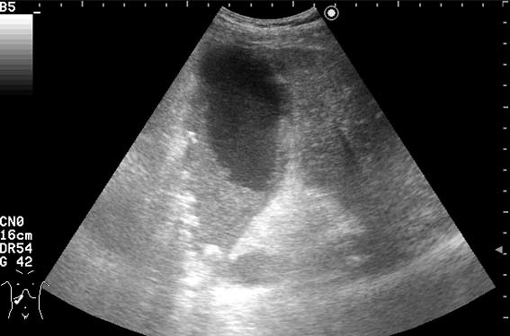
УЗИ: Острый гангренозный холецистит

Печень, желчный пузырь, поджелудочная железа, селезенка. Кишечник.
Только верифицированые изображения
Ответить
Аватара пользователя
Dr Alex
Сообщения: 19
Зарегистрирован: 31 окт 2010, 11:02
Контактная информация:

УЗИ: Острый гангренозный холецистит

Сообщение Dr Alex »

Мужчина с болями вправом подреберье и температурой.
Вложения
AAHL.jpg
Алекс-Юстасу.
Аватара пользователя
Инга
Сообщения: 216
Зарегистрирован: 23 ноя 2009, 17:22
Контактная информация:

Re: УЗИ опять желчного

Сообщение Инга »

ЖКБ. Острый гангренозный холецистит?
Аватара пользователя
Dr Alex
Сообщения: 19
Зарегистрирован: 31 окт 2010, 11:02
Контактная информация:

Re: УЗИ опять желчного

Сообщение Dr Alex »

Инга писал(а):ЖКБ. Острый гангренозный холецистит?
Верно
Алекс-Юстасу.
Ответить

Вернуться в «Абдоминальные исследования»

Кто сейчас на конференции

Сейчас этот форум просматривают: нет зарегистрированных пользователей и 0 гостей