Страница 1 из 1
Острый панкреатит
Добавлено: 29 ноя 2010, 17:23
Инга
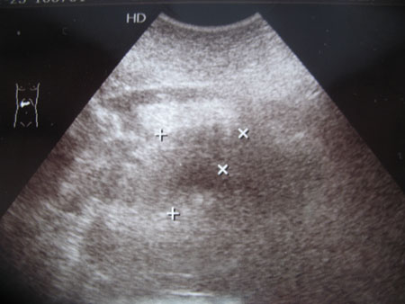
Мужчина П. Приемный покой: жалобы на боли в животе, тошноту

- IMG_6683w.jpg (27.15 КБ) 1949 просмотров
Заключение?
Re: УЗИ ПЖ
Добавлено: 02 дек 2010, 18:48
3817
Инга,я например вижу ПЖ с нечёткими контурами,размеры,как мне кажется,увилечены,да и сама она отёчная.Я бы сказала что имеется панкреатит

Re: УЗИ ПЖ
Добавлено: 02 дек 2010, 19:37
Инга
А какие бывают панкреатиты?

Re: УЗИ ПЖ
Добавлено: 04 дек 2010, 18:21
3817
Мерси,уточняю:это о.панкреатит

Re: УЗИ ПЖ
Добавлено: 04 дек 2010, 18:34
Инга
Размеры увеличены, выраженный отек парапанкреатической клетчатки,
( p.s амилаза 1940) Да, острый панкреатит.
Re: УЗИ ПЖ
Добавлено: 04 дек 2010, 19:07
KsV
Соглашусь.
З.Ы.Желательно оставлять сантиметровые отметки на сонограмме. Такой уровень амилазы - в крови или моче? если в моче, то это в пределах нормы.
Re: УЗИ ПЖ
Добавлено: 05 дек 2010, 02:00
Инга
На счет отметок учту . А норма альфа-амилазы в крови— 28 -100 Ед/л, мочи до 1000.
И все-таки в моче 1940- выше нормы ....
