Страница 1 из 1
Хронический калькулезный панкреатит
Добавлено: 02 дек 2010, 13:00
Мудриченко
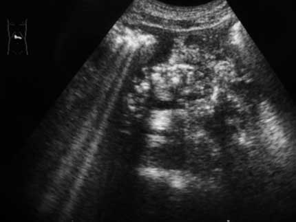
Молодой мужчина 35 лет, поступивший в отделение токсикологии ( после празднования очередной годовщины великой октябрьской социалистической революции), жалуется на боли в животе, тошноту, резкую слабость.

- узи 005з.jpg (45.28 КБ) 1504 просмотра
Ваши предположения.
Re: УЗИ ОБП
Добавлено: 02 дек 2010, 18:54
3817
Условие задачи обалденное!!!

А врт снимок не очень...Вижу кисту в головке ПЖ,а вот саму железу,к сожалению,не вижу...Но подазреваю наличие панкреатита.С.В. сказал бы "нельзя исключить панкреатит"
Re: УЗИ ОБП
Добавлено: 02 дек 2010, 19:28
Инга
3817 писал(а):Условие задачи обалденное!!!

А врт снимок не очень...Вижу кисту в головке ПЖ,а вот саму железу,к сожалению,не вижу...Но подазреваю наличие панкреатита.С.В. сказал бы "нельзя исключить панкреатит"
Вижу хр.калькулезный панкреатит (и к анамнезу подходит

) и киста головки панкреас.
Re: УЗИ ОБП
Добавлено: 09 дек 2010, 13:42
Инга
Хронический калькулезный панкреатит, только без кисты (может вместе праздновали

)

- IMG_6889w.jpg (12.38 КБ) 1489 просмотров