КТ. Киста холедоха 1типа.

Печень, желчный пузырь, поджелудочная железа, селезенка. Кишечник.
Только верифицированые изображения
Ответить
eremin
Сообщения: 2
Зарегистрирован: 20 дек 2010, 21:34
Контактная информация:

КТ. Киста холедоха 1типа.

Сообщение eremin »

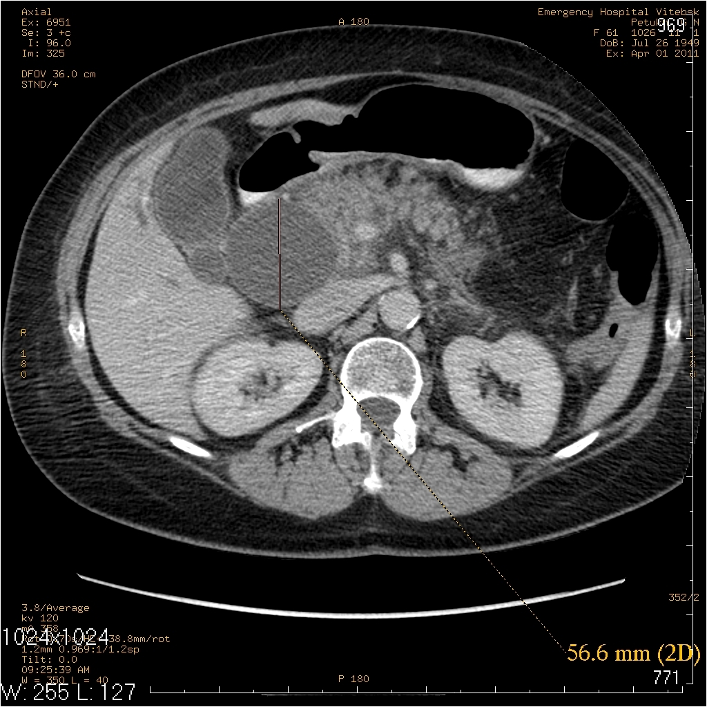
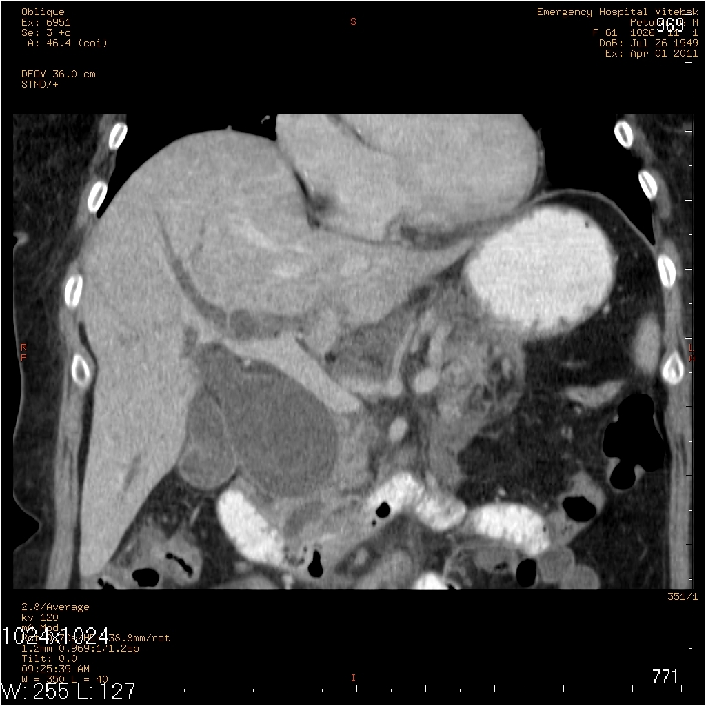
жалобы на периодические боли в правом подреберье, желтушность кожных покровов. считает себя больной в течении 2лет, когда впервые появились боли в правом подреберье. госпитализирована 25.03., 31.03. произведено МСКТ, реконструктивная операция 31.03.
На МСКТ: Киста холедоха (грушевидной формы ~95х50мм). ЖКБ: холецистит, холедохолитиаз (в области БДС дефект наполнения просвета 12пк, расширение вирсунгова протока до 10мм). Билиарная гипертензия. Отёчный панкреатит, парапанкреатит.
На операции: Киста холедоха (терминальный отдел холедоха 2мм). ЖКБ: хр.холецистит, холедохолитиаз (конкременты до 4мм). Стеноз папилы 3ст. (блокада вирсунгова протока, общий желчный и панкреатический протоки впадают в двенадцатиперстную кишку по отдельности). Острый панкреатит, парапанкреатит.
Вложения
киста холедоха.jpg
киста холедоха.jpg (8.57 КБ) 916 просмотров
223.jpg
226.jpg
227.jpg
229.jpg
231.jpg
светя других - сгораю сам
Аватара пользователя
KsV
Администратор
Сообщения: 2191
Зарегистрирован: 22 фев 2009, 13:38
Откуда: Беларусь-Lietuva
Контактная информация:

Re: КТ. Киста холедоха 1типа.

Сообщение KsV »

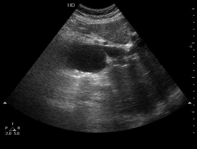
Добавлю сонограмму.
11-03-30-104143web.jpg
и видео
11-03-30-104143-0.avi
(883.57 КБ) 94 скачивания
Ответить

Вернуться в «Абдоминальные исследования»

Кто сейчас на конференции

Сейчас этот форум просматривают: нет зарегистрированных пользователей и 0 гостей