Поступила в БСМП из терапевтического отделения городской больницы.
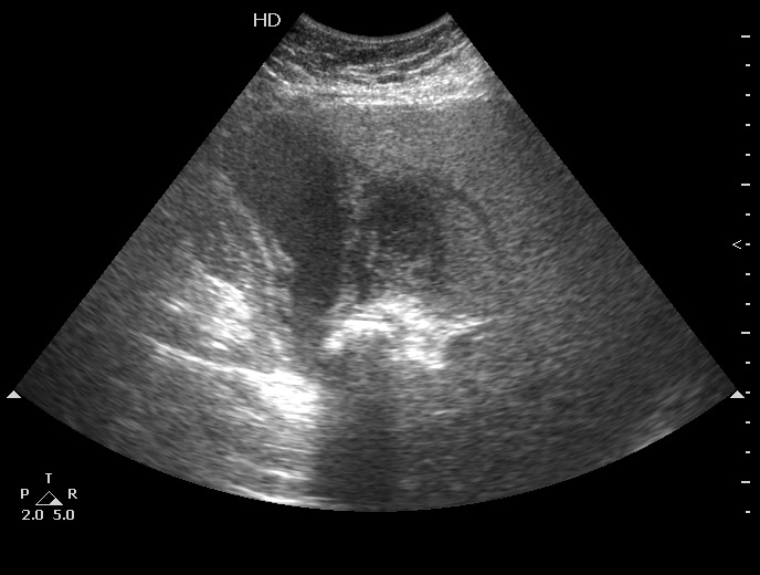
Заключение УЗИ: Диффузная форма рака желчного пузыря.
В тер.отделение поступила 3 дня назад с жалобами на повышение температуры.
На момент исследования жалоб не предЪявляет, температура нормальная.
УЗИ - о.деструктивный холецистит
Re: Женщина из тер отделения,УЗИ
ЖКБ:конкремент в шейке ЖП, стенка пузыря утолщена, неравномерно эхогенна с двойным контуром и на всем протяжении не прослеживается- Эмпиема ЖП - возможно, острый гангренозный холецистит На снимке вокруг ЖП определяется гипоэхогенное образование без четких границ- перфорированный ЖП (гнойный перихолецистит ?) Только почему без температуры??? 
- KsV
- Администратор
- Сообщения: 2191
- Зарегистрирован: 22 фев 2009, 13:38
- Откуда: Беларусь-Lietuva
- Контактная информация:
Re: Женщина из тер отделения,УЗИ
Вопрос "почему без температуры" волновал и хирургов, пациентку прооперировали через 2,5 недели после поступления, полностью подтвердив Ваше заключение.
Острый калькулезный обструктивный холецистит, эмпиема желчного пузыря, перфорация, околопузырный абсцесс.
Острый калькулезный обструктивный холецистит, эмпиема желчного пузыря, перфорация, околопузырный абсцесс.
Re: Женщина из тер отделения,УЗИ
почему без температуры... но почему и без жалоб - если обструктвный 
- KsV
- Администратор
- Сообщения: 2191
- Зарегистрирован: 22 фев 2009, 13:38
- Откуда: Беларусь-Lietuva
- Контактная информация:
Re: Женщина из тер отделения,УЗИ
почему без температурыSerg писал(а):почему без температуры... но почему и без жалоб - если обструктвный
антибиотики+особенности ответа организма
почему и без жалоб - если обструктвный
Потому что в пузыре дырка и произошла его декомпрессия.
Re: Женщина из тер отделения,УЗИ
логично...
Кто сейчас на конференции
Сейчас этот форум просматривают: нет зарегистрированных пользователей и 0 гостей