Страница 1 из 2
Изменения забрюшинного пр-ва при о.панкреатите (УЗИ)
Добавлено: 15 май 2009, 14:33
KsV
Мужчина средних лет с болями в животе.
Сонограмма выполнена из левого поясничного доступа.
О каком заболевании нужно подумать в первую очередь по такой картинке?
Re: Изменения на УЗИ
Добавлено: 15 май 2009, 16:31
людмила
На фоне незначительно дилатированной верхней чашки мелкое гиперэхогенное включение без четкой уз тени.Смею предположить МКБ, не могу рассмотреть гипоэхогенные включения в центре почечного синуса м.б. это паренхима?
Re: Изменения на УЗИ
Добавлено: 15 май 2009, 20:21
А.М.Шифрин
Согласен с коллегой. Это может быть МКБ, в том числе, и с камнем в мочеточнике (с мочевой дорожкой) - отсюда боли.
Маловато информации. Локализация болей. Что кроме болей: рвота, дизурия и тд. Что в моче?
Просветите, пожалуйста, нас.
Re: Изменения на УЗИ
Добавлено: 15 май 2009, 22:07
KsV
Дополнительно небольшой видеоклип
Re: Изменения на УЗИ
Добавлено: 19 май 2009, 16:50
людмила
если я правильно рассмотрела, то в центре почечного синуса дилатированная средняя группа чашек и в конце клипа незначительно расширенная лоханка.думаю мкб.
Re: Изменения на УЗИ
Добавлено: 20 май 2009, 08:28
А.М.Шифрин
Мне кажется, видеоролик не прояснил ситуацию.
Немного пофантазировав, здесь можно увидеть и небольшую кисту почечного синуса, и папиллярные разрастания и даже мягкий конкремент.
Re: Изменения на УЗИ
Добавлено: 20 май 2009, 13:27
KsV
Друзья, вы увлеклись изучением почки. Реально в почке ничего существенного нет. Еще раз просмотрите видео.
Re: Изменения на УЗИ
Добавлено: 21 май 2009, 09:12
А.М.Шифрин
Сдаюсь.
Re: Изменения на УЗИ
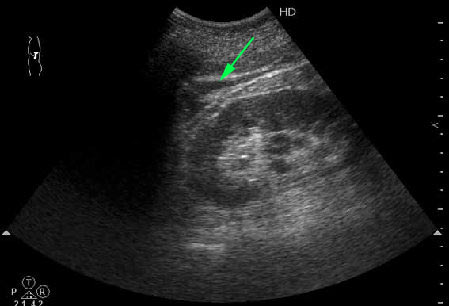
Добавлено: 21 май 2009, 10:56
KsV
Наводящий вопрос: что это (стрелка)?

- 1marked.jpg (19.21 КБ) 25438 просмотров
Re: Изменения на УЗИ
Добавлено: 23 май 2009, 18:34
Pasenov
Что угодно ! жидкость ...