Необычная презентация острого калькулезного холецистита
- KsV
- Администратор
- Сообщения: 2189
- Зарегистрирован: 22 фев 2009, 13:38
- Откуда: Беларусь-Lietuva
- Контактная информация:
Необычная презентация острого калькулезного холецистита
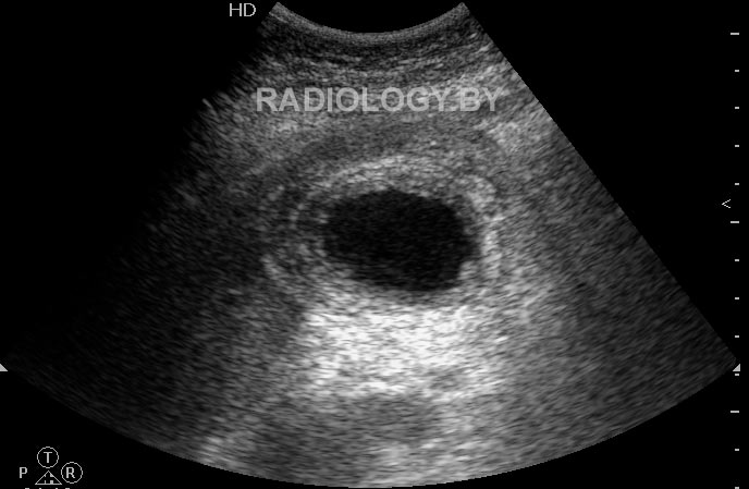
Женщина средних лет с болями в правом подреберье поступила в приемный покой хирургической клиники.
Выявлены следующие изменения желчного пузыря
Ваше заключение? Оцените примерную толщину стенки желчного пузыря.
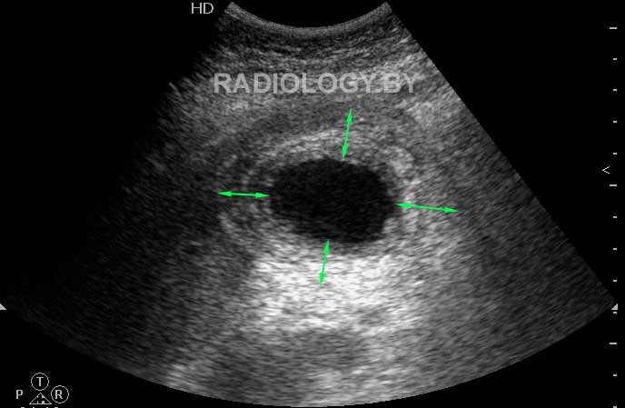
Выявлены следующие изменения желчного пузыря
Ваше заключение? Оцените примерную толщину стенки желчного пузыря.
Re: Диффузное утолщение стенок желчного пузыря
Acute cholecystitis; sludge, gall stones. Predicted wall thickness about 8-12 mm.
-
А.М.Шифрин
- Сообщения: 60
- Зарегистрирован: 12 апр 2009, 18:41
- Контактная информация:
Re: Диффузное утолщение стенок желчного пузыря
Я бы написал:"УЗ картина хронического калькулезного холецистита в фазе обострения (вероятно, с перипроцессом)".
- KsV
- Администратор
- Сообщения: 2189
- Зарегистрирован: 22 фев 2009, 13:38
- Откуда: Беларусь-Lietuva
- Контактная информация:
Re: Диффузное утолщение стенок желчного пузыря
Макропрепарат
Ж.пузырь увеличен в размерах, с конкрементами, стенки пузыря утолщены до 22 мм (! - СК),
Гистологический ответ:
Слизистая ж.п. полнокровна с очагами кровоизлияний и воспалительной инфильтрации, с наличием дефектов в виде изъязвлений с некрозом и гнойным воспалением. Мышечная оболочка утолщена, представлена фиброзной тканью с наличием нейтрофильной (гнойной) инфильтрации с очагами некроза.
Заключение - хронический холецистит.

Ж.пузырь увеличен в размерах, с конкрементами, стенки пузыря утолщены до 22 мм (! - СК),
Гистологический ответ:
Слизистая ж.п. полнокровна с очагами кровоизлияний и воспалительной инфильтрации, с наличием дефектов в виде изъязвлений с некрозом и гнойным воспалением. Мышечная оболочка утолщена, представлена фиброзной тканью с наличием нейтрофильной (гнойной) инфильтрации с очагами некроза.
Заключение - хронический холецистит.
- KsV
- Администратор
- Сообщения: 2189
- Зарегистрирован: 22 фев 2009, 13:38
- Откуда: Беларусь-Lietuva
- Контактная информация:
Re: Диффузное утолщение стенок желчного пузыря
Таким образом, правильно нужно было измерять стенки ТАК:
Re: Диффузное утолщение стенок желчного пузыря
Не согласен с определением "хронический холецистит" при наличие гноя и некроза стенки; это критерии острого холецистита.
Chronic cholecystitis
Definition:
Chronic cholecystitis is long-standing swelling and irritation of the gallbladder.
Causes:
Chronic cholecystitis is caused by repeated mild attacks of acute cholecystitis. This leads to thickening of the walls of the gallbladder. The gallbladder begins to shrink and eventually loses the ability to perform its function: concentrating and storing bile.
Chronic cholecystitis
Definition:
Chronic cholecystitis is long-standing swelling and irritation of the gallbladder.
Causes:
Chronic cholecystitis is caused by repeated mild attacks of acute cholecystitis. This leads to thickening of the walls of the gallbladder. The gallbladder begins to shrink and eventually loses the ability to perform its function: concentrating and storing bile.
- KsV
- Администратор
- Сообщения: 2189
- Зарегистрирован: 22 фев 2009, 13:38
- Откуда: Беларусь-Lietuva
- Контактная информация:
Re: Диффузное утолщение стенок желчного пузыря
Патологи утверждают, что на хронический процесс указывает выраженный фиброз стенок пузыря; некротические процессы являются следствием формирования конкрементами "пролежня". Вот такая трактовка.Dr.Mario писал(а):Не согласен с определением "хронический холецистит" при наличие гноя и некроза стенки; это критерии острого холецистита.
Chronic cholecystitis
Definition:
Chronic cholecystitis is long-standing swelling and irritation of the gallbladder.
Causes:
Chronic cholecystitis is caused by repeated mild attacks of acute cholecystitis. This leads to thickening of the walls of the gallbladder. The gallbladder begins to shrink and eventually loses the ability to perform its function: concentrating and storing bile.
При поступлении пациентки в заключении указано на острый процесс. Самое интересное, что патологи поддерживают такой клинический диагноз, но морфологический - оставили прежним.
Re: Диффузное утолщение стенок желчного пузыря
Понятно; что то по типу: острый холецистит на фоне хронического...
Спасибо за публикацию; главное что исход и дальнейшая тактика в любом случае одинакова-оперативное лечение.
Спасибо за публикацию; главное что исход и дальнейшая тактика в любом случае одинакова-оперативное лечение.
- KsV
- Администратор
- Сообщения: 2189
- Зарегистрирован: 22 фев 2009, 13:38
- Откуда: Беларусь-Lietuva
- Контактная информация:
Re: Диффузное утолщение стенок желчного пузыря
Целью этой темы была необходимость показать, что возможно несовпадение клинических, радиологических и патологоанатомических заключений. Вероятно, можно было бы открыть отдельную тему для обсуждения этих вопросов.Dr.Mario писал(а):Понятно; что то по типу: острый холецистит на фоне хронического...![]()
Спасибо за публикацию; главное что исход и дальнейшая тактика в любом случае одинакова-оперативное лечение.
Re: Диффузное утолщение стенок желчного пузыря
клин д-з: ЖКБ. хронический холецистит, стадия обострения.острый холецистит на фоне хронического...
это точно, а то - как в анекдоте про чукчу и синоптиков.KapustinSV писал(а): Целью этой темы была необходимость показать, что возможно несовпадение клинических, радиологических и патологоанатомических заключений. Вероятно, можно было бы открыть отдельную тему для обсуждения этих вопросов.
а какие были размеры желчного? - 150х60?
Кто сейчас на конференции
Сейчас этот форум просматривают: нет зарегистрированных пользователей и 0 гостей