Пневмония???

То, что не вошло в предыдущие разделы.
Изображения для консультации
Ответить
Аватара пользователя
Инга
Сообщения: 216
Зарегистрирован: 23 ноя 2009, 17:22
Контактная информация:

Пневмония???

Сообщение Инга »

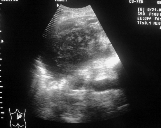
Мужчина,43года из пульмонологического отделения (в плановом порядке), жалобы на боли в области грудной клетки справа. Анамнез: травма в быту, упал с лестницы, ударился правой стороной (5-е сутки)
ОАК: Er 2.8 Hb 98 ц.п 0.88 Т 36,8 В анамнезе 2 года назад оперирован по поводу рака гортани.
ДЗ: Постравматическая н/долевая правосторонняя пневмония. З/перелом X-XI ребер справа. Анемия неясной этиологии.
Сорри за качество снимков (снимала на мобильник) :oops:
Вложения
31102011357_cr.png
31102011359_cr.jpg
31102011360_cr.jpg
31102011361-001a.jpg
Аватара пользователя
KsV
Администратор
Сообщения: 2191
Зарегистрирован: 22 фев 2009, 13:38
Откуда: Беларусь-Lietuva
Контактная информация:

Re: Пневмония???

Сообщение KsV »

Первым делом необходимо определиться с анатомической локализацией образований.
Снимки 2-3 - не в брюшной ли полости жидкость?

По-любому далее я бы сделал диагностическую пункцию с лаб исследованием пунктата. Далее - по ситуации.

Молодец, снимки гут.
Аватара пользователя
Инга
Сообщения: 216
Зарегистрирован: 23 ноя 2009, 17:22
Контактная информация:

Re: Пневмония???

Сообщение Инга »

Жидкости в брюшной полости не обнаружено. После УЗИ больной переведен в хирургическое отделение.
После Rtg пневмонию исключили.
Аватара пользователя
KsV
Администратор
Сообщения: 2191
Зарегистрирован: 22 фев 2009, 13:38
Откуда: Беларусь-Lietuva
Контактная информация:

Re: Пневмония???

Сообщение KsV »

Не понял.

Жидкость в БП не обнаружена?

Что это есть такое?

31102011357_cr.png
31102011357_cr.png (126.47 КБ) 5507 просмотров
31102011359_cr.jpg
31102011359_cr.jpg (35.23 КБ) 5507 просмотров
31102011360_cr.jpg
31102011360_cr.jpg (35.47 КБ) 5507 просмотров
Травма+анемия+ЭТО =?
Вложения
31102011357_cr.jpg
31102011357_cr.jpg (46.91 КБ) 5507 просмотров
Аватара пользователя
Инга
Сообщения: 216
Зарегистрирован: 23 ноя 2009, 17:22
Контактная информация:

Re: Пневмония???

Сообщение Инга »

Что это есть такое?
* - это я и хочу узнать :) , но не жидкость в бр.полости
Аватара пользователя
KsV
Администратор
Сообщения: 2191
Зарегистрирован: 22 фев 2009, 13:38
Откуда: Беларусь-Lietuva
Контактная информация:

Re: Пневмония???

Сообщение KsV »

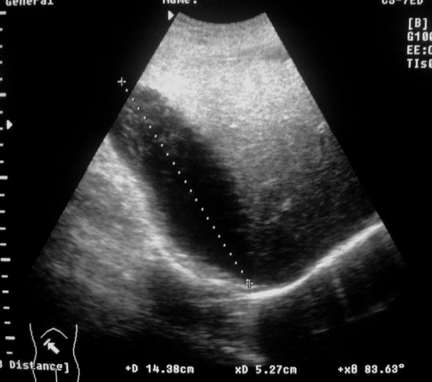
Если маркеры стоят правильно, то это поддиафрагмальная внутрибрюшная гематома.
Аватара пользователя
Инга
Сообщения: 216
Зарегистрирован: 23 ноя 2009, 17:22
Контактная информация:

Re: Пневмония???

Сообщение Инга »

Возможно и внутрибрюшная, а может и подкапсульная гематома. Кстати, каковы критерии диф.диагноза?
Аватара пользователя
KsV
Администратор
Сообщения: 2191
Зарегистрирован: 22 фев 2009, 13:38
Откуда: Беларусь-Lietuva
Контактная информация:

Re: Пневмония???

Сообщение KsV »

Можно уточить, что это, обозначенное стрелкой?
Вложения
31102011359_cr1.jpg
31102011359_cr1.jpg (35.79 КБ) 5485 просмотров
Аватара пользователя
KsV
Администратор
Сообщения: 2191
Зарегистрирован: 22 фев 2009, 13:38
Откуда: Беларусь-Lietuva
Контактная информация:

Re: Пневмония???

Сообщение KsV »

Это по идее должно быть правой почкой. Между ней и печению - карман Моррисона - полость брюшины.
Ответить

Вернуться в «Разное»

Кто сейчас на конференции

Сейчас этот форум просматривают: нет зарегистрированных пользователей и 0 гостей