УЗИ лёгких у ребёнка 4-х лет
- valeriy.andilevko
- Сообщения: 194
- Зарегистрирован: 01 мар 2011, 19:34
- Откуда: Витебск
- Контактная информация:
УЗИ лёгких у ребёнка 4-х лет
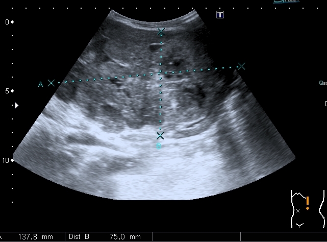
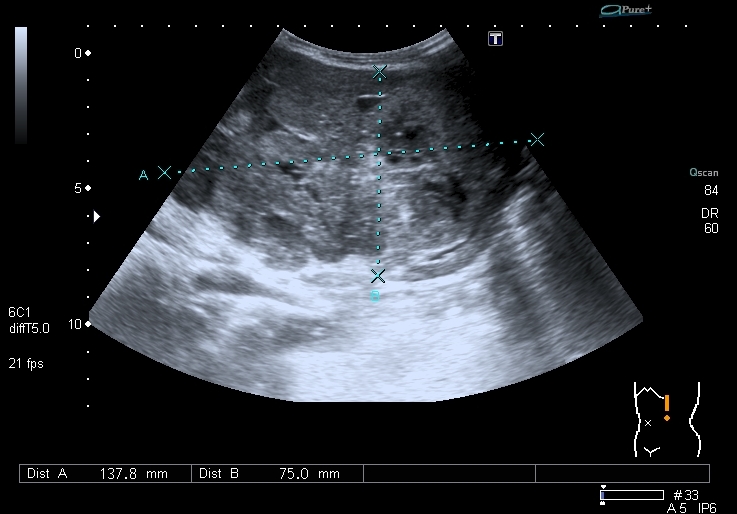
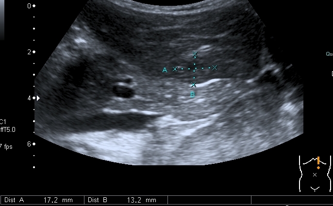
Предлагаю интересные изображения, полученные при сканировании лёгких через межрёберные промежутки и печень у ребёнка 4-х лет с подозрением на пневмонию
Ваше мнение?
Re: УЗИ лёгких у ребёнка 4-х лет
участок безвоздушной легочной ткани....похож на печень...пневмония в стадии опеченения... 
- valeriy.andilevko
- Сообщения: 194
- Зарегистрирован: 01 мар 2011, 19:34
- Откуда: Витебск
- Контактная информация:
Re: УЗИ лёгких у ребёнка 4-х лет
Согласен в отношении нижней доли правого лёгкого, изменения в ней похожи на сливную инфильтрацию при пневмонии, хотя носят несколько многоузловой характер. Но то что мы видим со спины в левом лёгком на пневмоническую инфильтрацию не похоже.
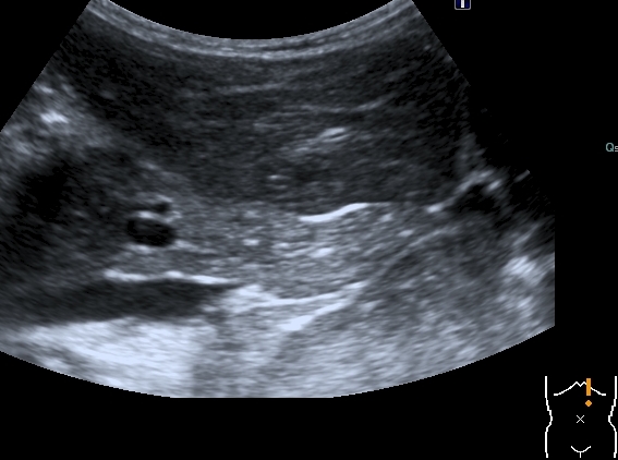
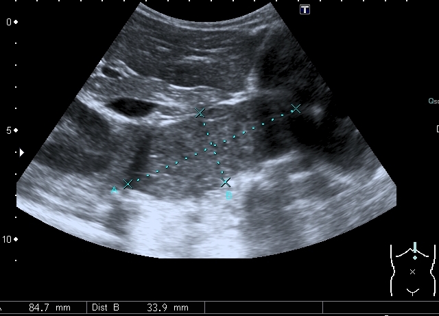
Добавляю сканы печени, я думаю они являются хорошей подсказкой о природе изменений в лёгких
Добавляю сканы печени, я думаю они являются хорошей подсказкой о природе изменений в лёгких
- valeriy.andilevko
- Сообщения: 194
- Зарегистрирован: 01 мар 2011, 19:34
- Откуда: Витебск
- Контактная информация:
Re: УЗИ лёгких у ребёнка 4-х лет
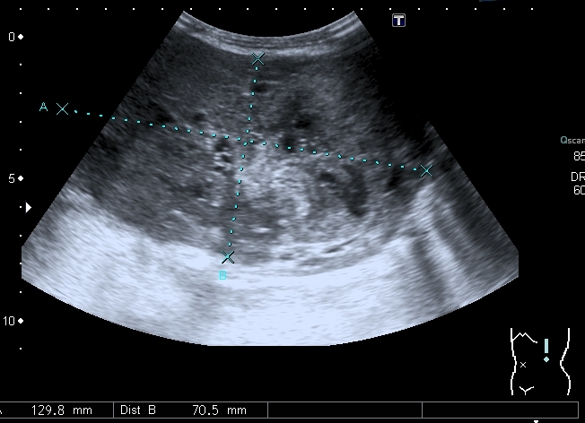
Добавлю ещё сканы, что бы активизировать общество ( показался рояль из кустов
)
- KsV
- Администратор
- Сообщения: 2191
- Зарегистрирован: 22 фев 2009, 13:38
- Откуда: Беларусь-Lietuva
- Контактная информация:
Re: УЗИ лёгких у ребёнка 4-х лет
Ну, раз других версий нет, то предположу лимфому с поражением ЛУ, печени.
Опять же, есть возможность биопсии.
Опять же, есть возможность биопсии.
- valeriy.andilevko
- Сообщения: 194
- Зарегистрирован: 01 мар 2011, 19:34
- Откуда: Витебск
- Контактная информация:
Re: УЗИ лёгких у ребёнка 4-х лет
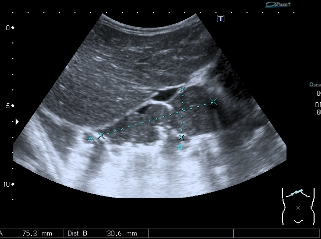
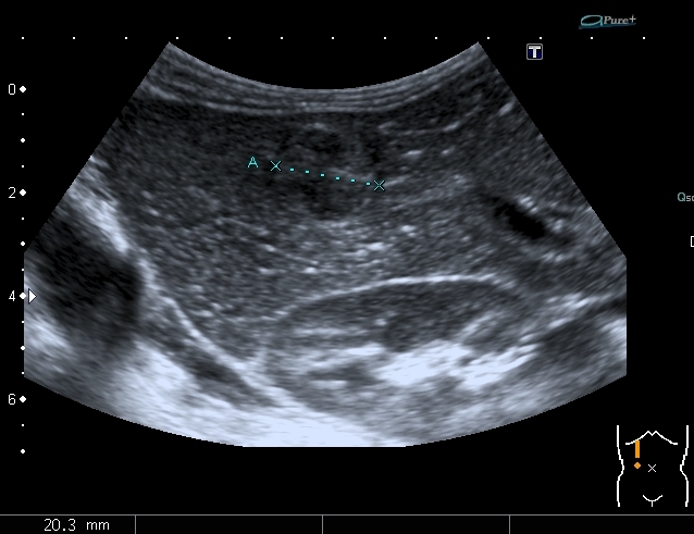
Добавляю источник изменений в легких, печени и забрюшинном пространстве
Всё левое подреберье было выполнено опухолевым конгломератом, источником его я предположил левую почку, хотя разобраться , где почка, селезёнка, а тем более надпочечник я не смог.
По сложившейся тактике при обнаружении опухолевых образований мы не занимаемся морфологической верификацией, а отправляем ребёнка в головное учреждение, наверное это правильно - в лечении детских опухолей иногда бывают важны даже часы. Тем не менее , по УЗИ картине больше данных за нефробластому - есть остатки деформированной собирательной системы в области нижнего полюся образования, там же - немного ткани, похожей на нормальную почечную.
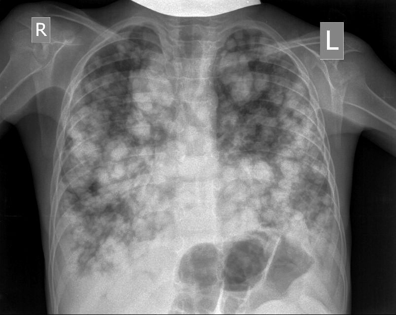
И в довершение - рентгенограмма лёгких для верификации ультразвуковых изображений. Я думал, что такое бывает только в старых книгах

По сложившейся тактике при обнаружении опухолевых образований мы не занимаемся морфологической верификацией, а отправляем ребёнка в головное учреждение, наверное это правильно - в лечении детских опухолей иногда бывают важны даже часы. Тем не менее , по УЗИ картине больше данных за нефробластому - есть остатки деформированной собирательной системы в области нижнего полюся образования, там же - немного ткани, похожей на нормальную почечную.
И в довершение - рентгенограмма лёгких для верификации ультразвуковых изображений. Я думал, что такое бывает только в старых книгах
- KsV
- Администратор
- Сообщения: 2191
- Зарегистрирован: 22 фев 2009, 13:38
- Откуда: Беларусь-Lietuva
- Контактная информация:
Re: УЗИ лёгких у ребёнка 4-х лет
Мда, запущенный случай.
И что, ребенок до этого момента никак не обследовался?
ЦДК\ЭД этих образований не делали? По идее при "пневмонии" должен сохраниться "нормальный" сосудистый рисунок (как при исследовании печени), при MT он должен быть бессистемным.
И что, ребенок до этого момента никак не обследовался?
ЦДК\ЭД этих образований не делали? По идее при "пневмонии" должен сохраниться "нормальный" сосудистый рисунок (как при исследовании печени), при MT он должен быть бессистемным.
- valeriy.andilevko
- Сообщения: 194
- Зарегистрирован: 01 мар 2011, 19:34
- Откуда: Витебск
- Контактная информация:
Re: УЗИ лёгких у ребёнка 4-х лет
Ребёнок действительно до этого не обследовался, в течение недели лечил дома бронхит, был направлен в стационар участковым педиатром, который обнаружил увеличенную печень (действительно край выступает из - под рёберной дуги ~ на 4 см) и селезёнку (пропальпировал образование в левой половине брюшной полости) . У ребёнка при поступлении - явная кахексия. Родители привыкают к виду больных детей - у меня в архиве есть пара исследований с объёмными образованиями брюшной полости, занимающими до половины её объёма. Живот у таких детей - явно как гора, но родителям он кажется нормальным.
ЦДК образований в лёгких не делал, если быть откровенным, порядок находок у этого пациента был следующим: МТС в печени - изменения в нижней доле правого лёгкого - забрюшиное пространство - левая почка - левое лёгкое - правое лёгкое - рентген лёгких. Картина в комплексе была и так ясна, т.е. то, что это MTS сомнений не вызывало. Ну а после патогномоничной рентгеновской картины - вопросов тем более не было.
В медицине диагнозы ставит не тот, кто должен, а тот, кто может...
ЦДК образований в лёгких не делал, если быть откровенным, порядок находок у этого пациента был следующим: МТС в печени - изменения в нижней доле правого лёгкого - забрюшиное пространство - левая почка - левое лёгкое - правое лёгкое - рентген лёгких. Картина в комплексе была и так ясна, т.е. то, что это MTS сомнений не вызывало. Ну а после патогномоничной рентгеновской картины - вопросов тем более не было.
В медицине диагнозы ставит не тот, кто должен, а тот, кто может...
- valeriy.andilevko
- Сообщения: 194
- Зарегистрирован: 01 мар 2011, 19:34
- Откуда: Витебск
- Контактная информация:
Re: УЗИ лёгких у ребёнка 4-х лет
Пришло извещение на онкозапущенность по данному случаю. Верифицирована нефробластома, ребёнок проходит химиотерапию. Только что состоялось заседание комиссии по онкозапущенности, комиссия пришла к выводу, что нужно решать вопрос об УЗИ - скрининге брюшной полости у детей.
Кардиологи говорят о необходимости УЗИ - скрининга сердца;
Нефрологи и урологи - почек;
Ортопеды - тазобедренных суставов;
Неврологи - головного мозга;
Хирурги и гематологи - брюшной полости;
Эндокринологи - щитовидной железы;
И только врачи УЗИ скромно молчат...
Кардиологи говорят о необходимости УЗИ - скрининга сердца;
Нефрологи и урологи - почек;
Ортопеды - тазобедренных суставов;
Неврологи - головного мозга;
Хирурги и гематологи - брюшной полости;
Эндокринологи - щитовидной железы;
И только врачи УЗИ скромно молчат...
Кто сейчас на конференции
Сейчас этот форум просматривают: нет зарегистрированных пользователей и 0 гостей