12-years old boy with torax palpable mass

Изображения для консультации
Аватара пользователя
valeriy.andilevko
Сообщения: 194
Зарегистрирован: 01 мар 2011, 19:34
Откуда: Витебск
Контактная информация:

12-years old boy with torax palpable mass

Сообщение valeriy.andilevko »

12-years old boy with torax palpable mass 5x3 cm.
Сегодня смотрел мальчика 12 лет, у которого на грудной клетке пальпируется опухоль около 5 см х3 см.
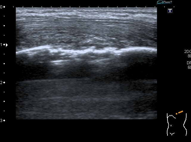
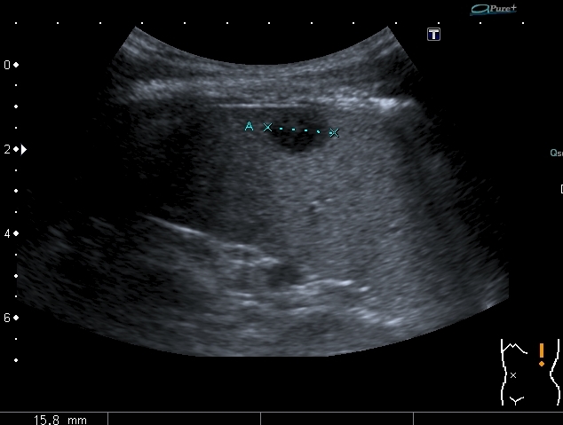
На УЗИ - такая картинка:
Деструкция корткального слоя 7-го ребра с ткаенвым компонетом, исходящим из кости. 7th rib destruction with solid mass
Деструкция корткального слоя 7-го ребра с ткаенвым компонетом, исходящим из кости. 7th rib destruction with solid mass
Поперечный скан. Transverse scan
Поперечный скан. Transverse scan
образование оттесняет сосуд,  в самом кровоток достоверно не определяется. No bloodflow in mass is detected.
образование оттесняет сосуд, в самом кровоток достоверно не определяется. No bloodflow in mass is detected.
"Плохой"  подмышечный лимфатический узел, но справа. "Bad" axillar LN is seen
"Плохой" подмышечный лимфатический узел, но справа. "Bad" axillar LN is seen
Hypoechoic lesions in the spleen. В селезёнке - множественные гипоэхогенные образования
I20111111155026515.jpg
I20111111155026000.jpg
I20111111155027656.jpg
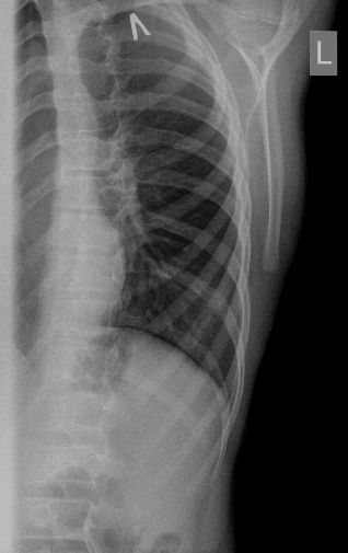
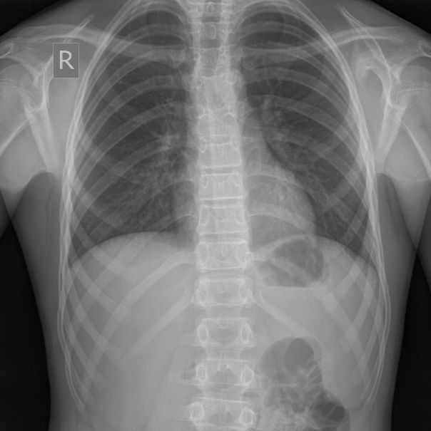
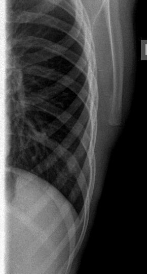
После УЗИ - сделал рентген, изменения в ребре есть, но в глаза не бросаются
CR0001.jpg
CR0005.jpg
CR0004.jpg
Diagnosis of Ewing's Sarcoma is suspected

Выставил диагноз саркомы Юинга с MTS.Ребёнок поехал в РНПЦ онкологии, я думаю там и будет лечиться дальше. Но хотелось бы узнать мнение общества, насколько я прав? Заранее благодарен :)
Аватара пользователя
KsV
Администратор
Сообщения: 2191
Зарегистрирован: 22 фев 2009, 13:38
Откуда: Беларусь-Lietuva
Контактная информация:

Re: 12-years old boy with torax palpable mass

Сообщение KsV »

Я попросил посмотреть тему доктора Юнгерта (Dr J. Jüngert - он читал нам лекции в рамках международной конференции в сентябре.)

Вот его ответ:

...
Thank you for ... the interesting case, and really good pictures.
The irregularity of the rib shown sonographically suggests an osseous process like Ewing sarcoma. However, I have seen three patients with similar findings with destruction of the sternum and adjacent ribs mimicking a tumour of the bone but caused by an infiltration of a Hodgkin’s lymphoma. A lymphoma would also be more consistent with the lesions found in the spleen. Regarding the morphology and shape of the mass in the axilla, I think this is a lymphnode.
In any case, I would recommend excluding a lymphoma in addition to Ewing sarcoma. Infiltration of the sternum or ribs caused by Mb. Hodgkin is an important differential diagnosis, which is also suggested by the splenic lesions in that case that are possible but not typical for Ewing sarcoma.
I’m very interested in the final diagnosis.
Аватара пользователя
valeriy.andilevko
Сообщения: 194
Зарегистрирован: 01 мар 2011, 19:34
Откуда: Витебск
Контактная информация:

Re: 12-years old boy with torax palpable mass

Сообщение valeriy.andilevko »

Очень рад процессу глобализации сайта и благодарен за интересную информацию всем участникам.
При более подробном анализе случая действительно есть плюсы за болезнь Ходжкина:
1. Очаги в селезёнке
2. Распространённая лимфаденопатия, хотя "плохим" выглядит только лимфатический узел справа в подмышечной впадине, но есть лимфатические узлы до 12 - 15 мм и в левой подмышечной области , и подчелюстные лимфатические узлы
Левый подмышечный узел
Левый подмышечный узел
3. Перекрёстные изменения - опухоль на ребере слева - плохой лимфатический узел справа.
В течение ближайших дней, я думаю , пациент получит морфологическую верификацию в головном учреждении, постараюсь наладить обратную связь и проинформировать общество о результатах.
Аватара пользователя
KsV
Администратор
Сообщения: 2191
Зарегистрирован: 22 фев 2009, 13:38
Откуда: Беларусь-Lietuva
Контактная информация:

Re: 12-years old boy with torax palpable mass

Сообщение KsV »

Да, ждем верификации.
Аватара пользователя
valeriy.andilevko
Сообщения: 194
Зарегистрирован: 01 мар 2011, 19:34
Откуда: Витебск
Контактная информация:

Re: 12-years old boy with torax palpable mass

Сообщение valeriy.andilevko »

Сегодня ребёнка должны прооперировать, гистологическое заключение должно быть примерно через неделю. Пока рассматриваются версии Sa Юинга vs болезнь Ходжкина.
Аватара пользователя
valeriy.andilevko
Сообщения: 194
Зарегистрирован: 01 мар 2011, 19:34
Откуда: Витебск
Контактная информация:

Re: 12-years old boy with torax palpable mass

Сообщение valeriy.andilevko »

Сегодня узнал результаты морфологического исследования: был получен материал из образования на ребре и лимфатического узла. При цитологическом исследовании - клетки Пирогова - Лангханса. При гистологическом исследовании - очаги пролиферативно - некротического воспаления. Таким образом , на сегодняшний день, опухолевое происхождение процесса маловероятно, на первом месте - спецефический инфекционный процесс - туберкулёз :o . В плане прогноза, я думаю, этот диагноз для пациента гораздо перспективнее, но в плане диагностики про него даже как - то и не подумалось.
Аватара пользователя
KsV
Администратор
Сообщения: 2191
Зарегистрирован: 22 фев 2009, 13:38
Откуда: Беларусь-Lietuva
Контактная информация:

Re: 12-years old boy with torax palpable mass

Сообщение KsV »

Мда, неожиданный поворот.
Нужно проследить за динамикой при лечении.

Молодец ВМ, Супер-публикация!

Предложение - можно выполнять такие биопсии без операции - цитологию брать с помощью ТАБ, гистологию толстой иглой с помощью "пистолета".
Аватара пользователя
valeriy.andilevko
Сообщения: 194
Зарегистрирован: 01 мар 2011, 19:34
Откуда: Витебск
Контактная информация:

Re: 12-years old boy with torax palpable mass

Сообщение valeriy.andilevko »

Спасибо за похвалу, буду стараться радовать общество интересными случаями из своей практики, благо почти каждый день бывает что - нибудь интересное.
Что касается получения материала, то добыть его на нашем уровне можно, но встаёт вопрос , что с ним дальше делать? Практически все дети с онкопатологией проходят лечение на уровне республики, более того практически все дети с подозрением на онкопатологию дообследуются там же, поскольку требуется сильная морфологическая школа и опыт в детской онкогематологии. По той же причине не занимаемся биопсией почек, тактика на нашем уровне останется та - же - госпитализация в головное учреждение.
А "прежде чем назначить анализ следует подумать, что ты будешь делать если: а) результат окажется положительным ; б)результат окажется отрицательным? Если в обоих случаях твои действия будут одинаковыми, необходимость в анализе отпадает"
( Из законов Мерфи) ;)
Аватара пользователя
valeriy.andilevko
Сообщения: 194
Зарегистрирован: 01 мар 2011, 19:34
Откуда: Витебск
Контактная информация:

Re: 12-years old boy with torax palpable mass

Сообщение valeriy.andilevko »

В чём - то схожий случай обсуждается сейчас тут http://radiographia.ru/node/5933
Высказана мысль о саркоидозе, а ведь и верно: клетки Пирогова-Лангханса могут быть и при нём, и органы - мишени достаточно схожи. Что касается отсутствия измененний в лёгких, то бывают и внелегочные формы. По моему, всё еще далеко не ясно.
Аватара пользователя
KsV
Администратор
Сообщения: 2191
Зарегистрирован: 22 фев 2009, 13:38
Откуда: Беларусь-Lietuva
Контактная информация:

Re: 12-years old boy with torax palpable mass

Сообщение KsV »

Есть ли информация по этому случаю - актуальный клинический диагноз, динамика на фоне лечения?
Ответить

Вернуться в «Исследования в педиатрии»

Кто сейчас на конференции

Сейчас этот форум просматривают: нет зарегистрированных пользователей и 0 гостей