Образование полости таза у девочки 5 мес
- valeriy.andilevko
- Сообщения: 194
- Зарегистрирован: 01 мар 2011, 19:34
- Откуда: Витебск
- Контактная информация:
Образование полости таза у девочки 5 мес
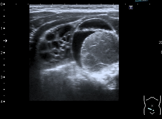
У девочки 5 месяцев ранее на УЗИ нашли образование в полости таза . С заключением киста яичника направлена к нам.
На УЗИ справа от мочевого пузыря - солидно - кистозное образование около 3 см. Образование прилежит к правому яичнику, который визуально не изменён, но смещается относительно его при движениях брюшной стенки Относительно яичника образование гиповаскулярное Выставил диагноз объёмного образования полости таза (дифференцировать энтерокистому и дермоид). Не думаю, что образование исходит из яичника, поэтому стартую тему в гастроэнтерологических исследованиях.
Ваше мнение: что это может быть и что с этим дальше делать?
На УЗИ справа от мочевого пузыря - солидно - кистозное образование около 3 см. Образование прилежит к правому яичнику, который визуально не изменён, но смещается относительно его при движениях брюшной стенки Относительно яичника образование гиповаскулярное Выставил диагноз объёмного образования полости таза (дифференцировать энтерокистому и дермоид). Не думаю, что образование исходит из яичника, поэтому стартую тему в гастроэнтерологических исследованиях.
Ваше мнение: что это может быть и что с этим дальше делать?
- KsV
- Администратор
- Сообщения: 2191
- Зарегистрирован: 22 фев 2009, 13:38
- Откуда: Беларусь-Lietuva
- Контактная информация:
Re: Образование полости таза у девочки 5 мес
Первая мысль - кистома придатка матки.
Re: Образование полости таза у девочки 5 мес
Кистозносолидное образование....цистаденома....м.б....
- valeriy.andilevko
- Сообщения: 194
- Зарегистрирован: 01 мар 2011, 19:34
- Откуда: Витебск
- Контактная информация:
Re: Образование полости таза у девочки 5 мес
Затронул данную тему, т. к. считаю ультразвуковую семиотику образований яичников и придатков у детей мало изученной , но тем не менее достаточно важной. В моей личной практике клиницисты ставят основной вопрос: откуда образование. Если из яичника или придатков матки - лечат гинекологи. Если из кишечника - лечат хирурги. В данном случае маловероятна непосредственная связь образования с яичником из- за взаимной смещаемости, хотя кистозные тератомы м.б. на ножке. Из придатков матки в доступных мне источниках описаны два варианта образований 1) параовариальные кисты с тонкой стенкой без тканевого компонента - не похоже; 2) гидатида трубы - обычно поменьше.
Есть ещё вариант кисты брызжейки кишечника, рядом с образованием действительно петли тонкой кишки, но опять же не характерен тканевой компонент. Муцинозная\серозная цистаденома как правило более интимно связана с яичником.
А вообще, сейчас посмотрел атлас по доброкачественным образованиям яичников - вполне сходные картинки имеют совершенно разные подписи и наоборот, совершенно разная ультразвуковая картина - одинаковая морфология. Кто - нибудь встречал в доступной форме алгоритм диагностики образований таза у детей, и, главное, что с ними делать? Заранее благодарен за активность
Есть ещё вариант кисты брызжейки кишечника, рядом с образованием действительно петли тонкой кишки, но опять же не характерен тканевой компонент. Муцинозная\серозная цистаденома как правило более интимно связана с яичником.
А вообще, сейчас посмотрел атлас по доброкачественным образованиям яичников - вполне сходные картинки имеют совершенно разные подписи и наоборот, совершенно разная ультразвуковая картина - одинаковая морфология. Кто - нибудь встречал в доступной форме алгоритм диагностики образований таза у детей, и, главное, что с ними делать? Заранее благодарен за активность
- valeriy.andilevko
- Сообщения: 194
- Зарегистрирован: 01 мар 2011, 19:34
- Откуда: Витебск
- Контактная информация:
Re: Образование полости таза у девочки 5 мес
В базе данных онкореестра данный случай проходит под кодом D27 - доброкачественное образование яичника.
Re: Образование полости таза у девочки 5 мес
http://endosono.ru
*****************************************
Странный этот мир, в котором двое смотрят на одно и тоже, а видят разное.
Агата Кристи.
*****************************************
Странный этот мир, в котором двое смотрят на одно и тоже, а видят разное.
Агата Кристи.
Кто сейчас на конференции
Сейчас этот форум просматривают: нет зарегистрированных пользователей и 0 гостей